Agnieszka Pacyk
Zakład Stomatologii Ogólnej, Katedra Stomatologii Odtwórczej, Uniwersytet Medyczny w Łodzi
Kierownik Zakładu: prof. dr hab. n. med. Jerzy Sokołowski
Do mojego gabinetu zgłasza się coraz więcej pacjentów z problemem nadwrażliwości. Największy odsetek spośród nich stanowią osoby po zabiegu wybielania zębów. Słyszałam, że są nowe preparaty do znoszenia nadwrażliwości. Czy któreś z nich są warte polecenia?
Pacjenci rzeczywiście coraz częściej skarżą się na dolegliwości związane z różnego stopnia nadwrażliwością zębów. Według dostępnych źródeł zjawisko to obserwuje się w grupie od 3% do nawet 98% danej populacji. Do niedawna ten problem dotyczył przeważnie osób w wieku 30‑40 lat, ale aktualnie zauważalny jest również u młodszych pacjentów. Niestety etiologia tak zwanego zespołu nadwrażliwości zębiny (Dentin Hypersensitivity Syndrome – DHS) pozostaje w obszarze wymagającym dość szerokiej diagnostyki. Do najczęściej występujących przyczyn DHS zalicza się proces niefizjologicznego starcia szkliwa na skutek zjawiska abrazji, erozji oraz abfrakcji. W poszerzonej diagnostyce należy wziąć pod uwagę zaburzenia zwarcia, parafunkcje, zespół pękniętego zęba, zapalenie miazgi, nadwrażliwość pozabiegową, mikroprzeciek brzeżny, uraz, zabieg wybielania zębów, zapalenie tkanek przyzębia, zabiegi higienizacyjne i tak dalej.
Obecnie za mechanizm wyjaśniający dolegliwości bólowe, uważa się przede wszystkim teorię hydrodynamiczną Brännströma. Jednakże nie można wykluczyć innych, alternatywnych mechanizmów transmisji bodźców, ponieważ niektórych sytuacji klinicznych nie udaje się wyjaśnić wyłącznie za pomocą tej teorii. Do tej pory zaproponowano wiele metod leczenia zespołu nadwrażliwości zębiny z wykorzystaniem preparatów na bazie szczawianów, azotanu potasu, aldehydu glutarowego, żywic kompozytowych czy laseroterapii, powszechnie przyjętych w wytycznych terapeutycznych. Równocześnie na rynku dostępna jest ogromna gama produktów do łagodzenia dokuczliwych objawów nadwrażliwości zębiny, które obejmują zarówno te stosowane w gabinecie, jak i dostępne bez recepty (pasty, płukanki). Proponowany sposób działania dla większości tych produktów został ustalony na podstawie badań in vitro, na zwierzętach, in situ i in vivo.
Z całą pewnością zabiegiem stomatologicznym, który potęguje wzmożoną wrażliwość zębów jest wybielanie. Występująca podczas wybielania nadwrażliwość jest wynikiem odwracalnego zapalenia miazgi, które jest spowodowane przepływem płynu zębinowego w wyniku zmian osmolarności miazgi. Zmiany te zachodzą, gdy preparat wybielający szybko przenika przez szkliwo i zębinę do miazgi. Nadtlenek wodoru i mocznik przenikają przez te struktury w ciągu 5 – 10 minut. Oczywiście na przebieg tego zjawiska ma wpływ stężenie środka wybielającego oraz potencjalny wzrost temperatury (wybielanie gabinetowe z lampą). Najkorzystniejszym sposobem wybielania, jeśli chodzi o redukcję objawów bólowych jest tak zwane nocne, nakładkowe wybielanie. Dodatek niskiego stężenia azotanu potasu do preparatów typu nakładkowego dodatkowo zmniejszył, ale nie wyeliminował całkowicie ryzyka nadwrażliwości. Stąd moje osobiste poszukiwania innych rozwiązań terapeutycznych.
Najczęściej nadwrażliwość jest uogólniona, ale mogą występować też epizody ostrego, przeszywającego bólu. Częstość występowania nadwrażliwości zębów spowodowanej wybielaniem szacowana jest na około 60%, a stopień dyskomfortu może być niewielki do bardzo silnego. Wrażliwość zwykle ustaje po zakończeniu zabiegu wybielania, a czasami w trakcie leczenia. Niestety pacjenci, u których podczas zabiegu występuje ból nie do wytrzymania, przerywają proces, czego konsekwencją jest niesatysfakcjonujący rezultat estetyczny. Składnikami żeli wybielających są zwykle nadtlenek karbamidu lub nadtlenek wodoru. Nośnikiem jest gliceryna lub glikol propylenowy, a jako środek zagęszczający stosuje się karbomer. Nadtlenek karbamidu ulega rozkładowi na nadtlenek wodoru i mocznik. Nadtlenek wodoru wnika do zęba, prowadzi do utleniania nienasyconych wiązań w cząsteczkach barwników obecnych w szkliwie i zębinie, powodując efekt wybielenia. Dlatego wyższe stężenia nadtlenku skutkują wyższym stopniem wrażliwości. Z całą pewnością należy też unikać stosowania metod opartych na współudziale wzrostu temperatury. W takich sytuacjach najlepsze rezultaty uzyskuję stosując nakładkowe, nocne wybielanie, z wizytami kontrolnymi co 3‑4 dni, jeśli pacjent tego wymaga ze względu na narastający dyskomfort bólowy.
Natomiast odpowiadając na Pani pytanie o preparaty do znoszenia nadwrażliwości, moim sprawdzonym i jednym z najnowszych sposobów jest wykorzystanie środków do pokrycia odsłoniętych obszarów szyjek zębowych, które promują wytwarzanie naturalnego hydroksyapatytu. Hydroksyapatyt (Ha) Ca10(PO4)6(OH)2 stanowi podstawę mineralnej fazy szkliwa i zębiny. Szkliwo zawiera około 98% wagowych apatytu, a zębina około 60% wagowych. Hydroksyapatyt był od wielu lat stosowany jako dodatek remineralizujący w recepturach past do zębów, szczególnie w Azji, ale dopiero od niedawna jest stosowany w leczeniu zespołu nadwrażliwości zębiny. Osobiście najczęściej do pokrycia odsłoniętych obszarów szyjek zębowych używam Teethmate™ Desensitizer (Kurary Noritake). 
Ryc. 1. Zestaw do znoszenia nadwrażliwości zębiny Teethmate™ Desensitizer (Kurary Noritake).
Preparat ten składa się z dwóch różnych fosforanów wapnia, które reagują w obecności wody tworząc naturalny hydroksyapatyt. Zapewnia on właściwy stosunek jonów wapniowo‑fosforanowych przy odpowiednim poziomie pH. Nowo powstały hydroksyapatyt krystalizując może dokładnie uszczelnić kanaliki zębinowe i ewentualne pęknięcia szkliwa, co jest niezmiernie ważne przed nałożeniem preparatu wybielającego. Dostępne wyniki badań potwierdzają aż 50% redukcję przepuszczalności zębiny już po jednokrotnej aplikacji tego preparatu.
W jaki sposób należy używać tego preparatu?
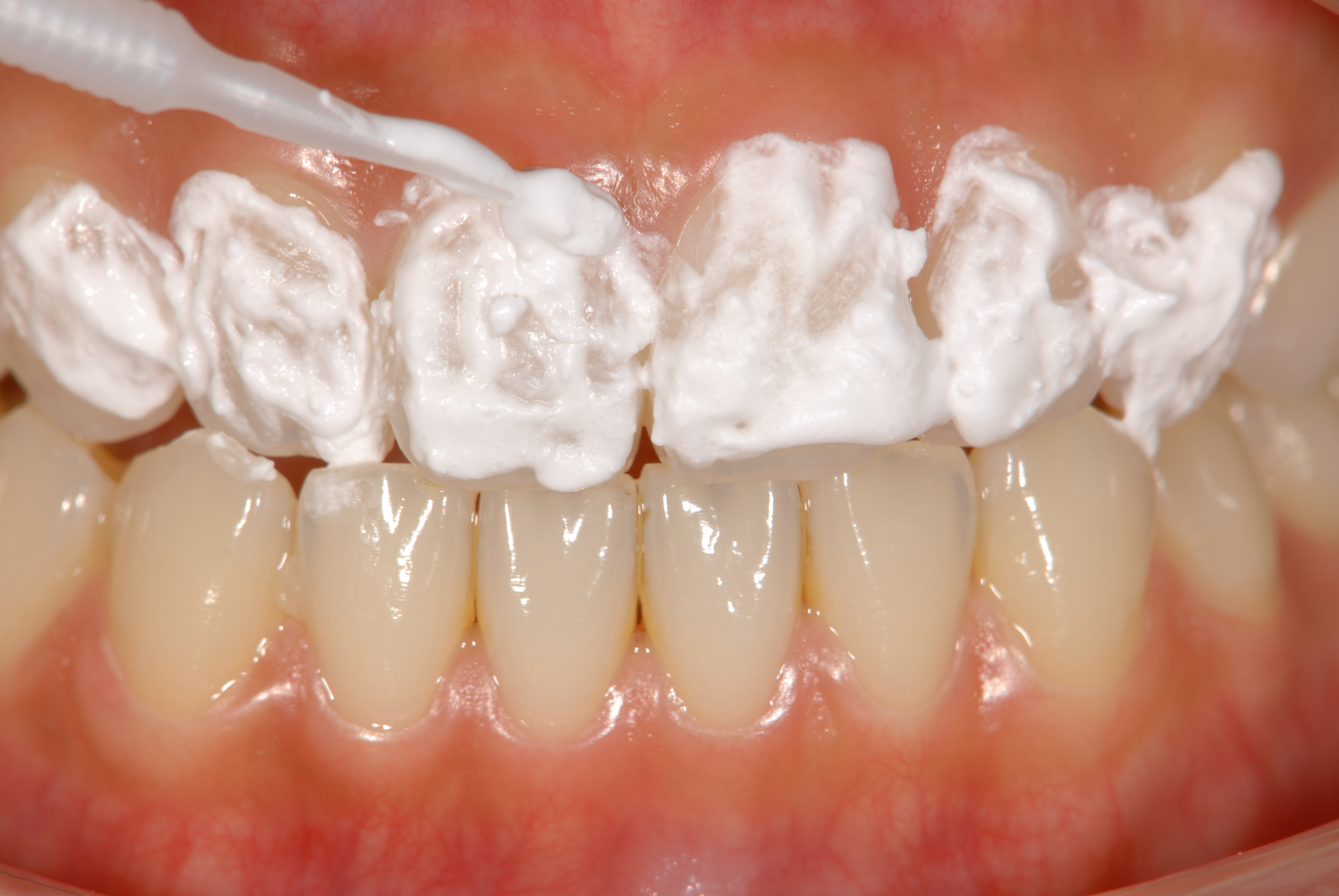
Z własnych doświadczeń muszę przyznać, że przygotowanie go i aplikacja są szybkie i łatwe, co jest niewątpliwą zaletą w pracy stomatologa. Wystarczy energicznie wymieszać proszek z płynem w zalecanych proporcjach i otrzymuje się gotowy do użycia przez około 10 minut preparat. Ma on postać pasty. Do nanoszenia jej używam pędzelka typu „microbrush”. Aby dokładnie rozprowadzić pastę, ruchem rozcierania wcieram ją we wrażliwy obszar przez około 30 sekund. Na koniec zaleca się delikatne spłukanie wodą. Moi pacjenci zwracali też uwagę na brak jakiegokolwiek smaku podczas spłukiwania. Nie jest wymagane przedmuchiwanie powietrzem czy utwardzanie światłem. Fosforany wapnia zawarte w substancji twardnieją, zapewniając pacjentom albo szybką ulgę od nadwrażliwości związanej z bólem, albo działają protekcyjnie podczas wybielania.
Ryc. 2a. Miska do mieszania i pędzelek do aplikowania preparatu do znoszenia nadwrażliwości zębiny.
Ryc. 2b. Płyn z odczulaczem do znoszenia nadwrażliwości zębiny.

Ryc. 3a, b. Aplikacja preparatu do znoszenia nadwrażliwości zębiny Teethmate™ Desensitizer (Kuraray Noritake).
Ta metoda znoszenia nadwrażliwości zębów, oparta na tworzeniu naturalnego hydroksyapatytu, przynosi w moim gabinecie najlepsze rezultaty. Nie dziwi zatem fakt, że Teethmate™ Desensitizer (Kuraray Noritake) jest doceniany przez badaczy i klinicystów na całym świecie, od siedmiu lat uzyskując prestizowy tutuł Top Award Preventative Product Dental Advisor.
Dlaczego lubię pracować tym preparatem?
Jest biokompatybilny, więc nie podrażnia tkanek przyzębia. Po nałożeniu natychmiast zamyka otwarte kanaliki zębinowe, nie pozostawiając przy tym żadnego filmu na zębie. A to jest szczególnie ważne, gdyż zabiegi estetyczne, do których należy wybielanie, wykluczają używanie większości preparatów na bazie żywic, z uwagi na ryzyko pozostawiania żółtawego koloru. Dotyczy to również koncepcji stosowania w tym celu niektórych samotrawiących systemów wiążących. Po drugie ma szeroki zakres wskazań klinicznych. W pytaniu podkreślono, że mimo iż osoby po wybielaniu stanowią większość pacjentów z nadwrażliwością, to przypadłość nie dotyczy wyłącznie ich. Produkt ten może być stosowany od nadwrażliwości zębiny związanej z wybielaniem, po leczenie zębiny narażonej na zapalenie przyzębia, startej przez nieprawidłowe szczotkowanie zębów lub kondycjonowanej w procedurach adhezyjnych (do wypełnień i/lub uzupełnień).
Co dla mnie jest ważne przy doborze preparatów do znoszenia nadwrażliwości?
Z bardzo pragmatycznego punktu widzenia ważna jest możliwość stosowania preparatu we wszystkich technikach adhezyjnych, a takie możliwości daje mi Teethmate™ Desensitizer. Są dostępne badania, w których udowodniono, że nie zmniejsza siły wiązania systemów wiążących, gdy jest stosowany bezpośrednio przed ich nałożeniem lub w ramach procedury adhezyjnego cementowania. To znaczna zaleta dla dentystów stosujących na przykład bondy typu Etch&Rinse (oparte na technice całkowitego trawienia), ponieważ mogą oni nakładać wspomniany preparat bez obaw o potencjalnie szkodliwy wpływ na wypełnienia.
Większość pacjentów nie zdaje sobie sprawy z aktualnego uszkodzenia lub fizjologicznych zmian dotyczących ich uzębienia. Co więcej, pacjenci, u których występuje DHS, czekają z wyjaśnieniem tego problemu do następnej wizyty. Większość z nich nie szuka konkretnej terapii, najprawdopodobniej dlatego, że nie postrzegają nadwrażliwości zębiny, jako istotnego problemu związanego ze zdrowiem jamy ustnej. Jednak wyraźnie wykazano, że DHS może mieć bezpośredni związek z istotnym pogorszeniem jakości życia związanej ze zdrowiem jamy ustnej. Duży udział w minimalizacji dolegliwości bólowych ma zmiana nieprawidłowych nawyków higienicznych oraz dietetycznych, co również nie jest oczywiste dla sporego grona naszych pacjentów. Moim zdaniem podczas zabiegów higienizacji dobrze jest poszerzyć wywiad o aspekt nadmiernej wrażliwości zębów. Wtedy, bowiem można natychmiast włączyć skutecznie działające preparaty i zalecić pacjentowi produkty do użytku domowego. Mając na uwadze znaczący wzrost zainteresowania pacjentów możliwością zmiany koloru zębów, warto w swojej praktyce zastosować sprawdzony klinicznie algorytm postępowania, by zminimalizować potencjalne powikłania bólowe po wybielaniu.