Dostęp do tego artykułu jest płatny.
Zapraszamy do zakupu!
Cena: 12.50 PLN (z VAT)
Kup artykuł
Po dokonaniu zakupu artykuł w postaci pliku PDF prześlemy bezpośrednio pod twój adres e-mail.
MS 2020; 3: 26-29.
Kaja Wichrowska-Rymarek
Streszczenie
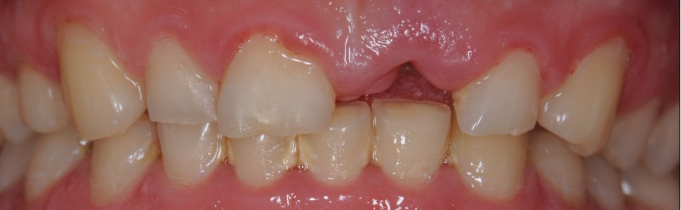
Leczenie stomatologicznie nie zawsze może sprostać oczekiwaniom pacjenta w zakresie wykorzystanych metod terapeutycznych oraz czasu ich realizacji. Niekiedy wybór kompromisowego rozwiązania jest jedynym sposobem na to, by pacjent nie pozostał bez opieki. W pracy przedstawiono przypadek tymczasowej odbudowy zębów siecznych szczęki w trudnej sytuacji klinicznej – u pacjenta, który na krótko przed swoim ślubem zgłosił się z powodu utraty zęba 21.
Abstract
A dental treatment doesn’t always meet the patients’ requirements both in respect to the chosen method as well as duration time. Sometimes a compromise solution is the only way to assure that the patient will not be left without proper care. This paper presents a case of temporary maxillary incisor restoration, in a difficult clinical situation, with a patient who lost the 21 tooth short before a wedding.
Hasła indeksowe: most adhezyjny, licówki bezpośrednie, materiał kompozytowy
Key words: adhesive bridge, direct veneers, composite material
PIŚMIENNICTWO
1. Wichrowska-Rymarek K.: Kompozytowy most adhezyjny jako rozwiązanie z wyboru w sytuacji utraty zęba siecznego bocznego szczęki. Mag. Stomatol., 2018, 3, 12-16.
2. Göhring T.N., Schmidlin P.R., Lutz F.: Two-year clinical and SEM evaluation of glass-fiber-reinforced inlay fixed partial dentures. Am. J. Dent., 2002, 15, 1, 35-40.
3. Freilich M.A. i wsp.: Development and clinical applications of a light-polymerized fiber-reinforced composite. J. Prosthet. Dent., 1998, 80, 3, 311-318.
4. Freilich M.A. i wsp.: Clinical evaluation of fiber-reinforced fixed bridges. J. Am. Dent. Assoc., 2002, 133, 11, 1524-1534.
5. Vallittu P.K., Sevelius C.: Resin-bonded, glass fiber-reinforced composite fixed partial dentures: a clinical study. J. Prosthet. Dent., 2000, 84, 4, 413-418.
6. Lang N.P. i wsp.: A systematic review of the survival and complication rates of fixed partial dentures (FPDs) after an observation period of at least 5 years. Combined tooth-implant-supported FPDs. Clin. Oral Implants Res., 2004, 15, 6, 643-653.
7. Pjetursson B.E. i wsp.: A systematic review of the survival and complication rates of resin-bonded bridges after an observation period of at least 5 years. Clin. Oral Implants Res., 2008, 19, 2, 131-141.
8. Daftary F. i wsp.: Lifelong craniofacial growth and the implications for osseointegrated implants. Int. J. Oral Maxillofac. Implants, 2013, 28, 1, 163-169.
9. van Heumen C.C. i wsp.: Five‐year survival of 3‐unit fiber‐reinforced composite fixed partial dentures in the anterior area. Dent. Mater., 2009, 25, 6, 820‐827.
10. Kumbuloglu O., Özcan M.: Clinical survival of indirect, anterior 3‐unit surface‐retained fibre‐reinforced composite fixed dental prosthesis: Up to 7.5‐years follow‐up. J. Dent., 2015, 43, 6: 656‐663.
11. Alraheam I.A. i wsp.: Five-year success rate of resin-bonded fixed partial dentures: A systematic review. J. Esthet. Restor. Dent., 2019, 31, 1, 40-50.
12. Korkut B.: Smile makeover with direct composite veneers: A two-year follow-up report. J. Dent. Res. Dent. Clin. Dent. Prospects., 2018, 12, 2, 146-151.
13. Gibson C.J.: A modified technique for minimal-preparation, resin-retained bridges: four case reports. Dent. Update., 2001, 28, 9, 442-448.
Streszczenie
Leczenie stomatologicznie nie zawsze może sprostać oczekiwaniom pacjenta w zakresie wykorzystanych metod terapeutycznych oraz czasu ich realizacji. Niekiedy wybór kompromisowego rozwiązania jest jedynym sposobem na to, by pacjent nie pozostał bez opieki. W pracy przedstawiono przypadek tymczasowej odbudowy zębów siecznych szczęki w trudnej sytuacji klinicznej – u pacjenta, który na krótko przed swoim ślubem zgłosił się z powodu utraty zęba 21.
Abstract
A dental treatment doesn’t always meet the patients’ requirements both in respect to the chosen method as well as duration time. Sometimes a compromise solution is the only way to assure that the patient will not be left without proper care. This paper presents a case of temporary maxillary incisor restoration, in a difficult clinical situation, with a patient who lost the 21 tooth short before a wedding.
Hasła indeksowe: most adhezyjny, licówki bezpośrednie, materiał kompozytowy
Key words: adhesive bridge, direct veneers, composite material
PIŚMIENNICTWO
1. Wichrowska-Rymarek K.: Kompozytowy most adhezyjny jako rozwiązanie z wyboru w sytuacji utraty zęba siecznego bocznego szczęki. Mag. Stomatol., 2018, 3, 12-16.
2. Göhring T.N., Schmidlin P.R., Lutz F.: Two-year clinical and SEM evaluation of glass-fiber-reinforced inlay fixed partial dentures. Am. J. Dent., 2002, 15, 1, 35-40.
3. Freilich M.A. i wsp.: Development and clinical applications of a light-polymerized fiber-reinforced composite. J. Prosthet. Dent., 1998, 80, 3, 311-318.
4. Freilich M.A. i wsp.: Clinical evaluation of fiber-reinforced fixed bridges. J. Am. Dent. Assoc., 2002, 133, 11, 1524-1534.
5. Vallittu P.K., Sevelius C.: Resin-bonded, glass fiber-reinforced composite fixed partial dentures: a clinical study. J. Prosthet. Dent., 2000, 84, 4, 413-418.
6. Lang N.P. i wsp.: A systematic review of the survival and complication rates of fixed partial dentures (FPDs) after an observation period of at least 5 years. Combined tooth-implant-supported FPDs. Clin. Oral Implants Res., 2004, 15, 6, 643-653.
7. Pjetursson B.E. i wsp.: A systematic review of the survival and complication rates of resin-bonded bridges after an observation period of at least 5 years. Clin. Oral Implants Res., 2008, 19, 2, 131-141.
8. Daftary F. i wsp.: Lifelong craniofacial growth and the implications for osseointegrated implants. Int. J. Oral Maxillofac. Implants, 2013, 28, 1, 163-169.
9. van Heumen C.C. i wsp.: Five‐year survival of 3‐unit fiber‐reinforced composite fixed partial dentures in the anterior area. Dent. Mater., 2009, 25, 6, 820‐827.
10. Kumbuloglu O., Özcan M.: Clinical survival of indirect, anterior 3‐unit surface‐retained fibre‐reinforced composite fixed dental prosthesis: Up to 7.5‐years follow‐up. J. Dent., 2015, 43, 6: 656‐663.
11. Alraheam I.A. i wsp.: Five-year success rate of resin-bonded fixed partial dentures: A systematic review. J. Esthet. Restor. Dent., 2019, 31, 1, 40-50.
12. Korkut B.: Smile makeover with direct composite veneers: A two-year follow-up report. J. Dent. Res. Dent. Clin. Dent. Prospects., 2018, 12, 2, 146-151.
13. Gibson C.J.: A modified technique for minimal-preparation, resin-retained bridges: four case reports. Dent. Update., 2001, 28, 9, 442-448.