Dostęp do tego artykułu jest płatny.
Zapraszamy do zakupu!
Cena: 12.50 PLN (z VAT)
Kup artykuł
Po dokonaniu zakupu artykuł w postaci pliku PDF prześlemy bezpośrednio pod twój adres e-mail.
Streszczenie
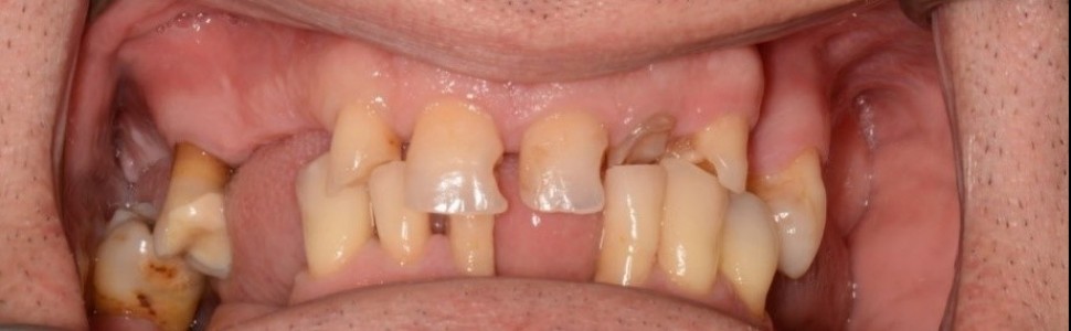
Na skutek postępujących z wiekiem zmian biomorfotycznych, starcia zębów lub ich utraty, w ciągu życia dochodzi do obniżenia wysokości zwarcia. Zmiany te mogą mieć charakter fizjologiczny, jak i patologiczny. W artykule przedstawiono proces leczenia zachowawczo-protetycznego 53-letniego pacjenta. Leczenie było poprzedzone badaniem warunków zwarciowych pacjenta, analizą modeli w artykulatorze oraz wykonaniem szczegółowego planu leczenia z zastosowaniem diagnostycznego nawoskowania. Wykonane na podstawie diagnostycznego nawoskowania indeksy silikonowe wykorzystano do modelowania uzupełnień kompozytowych bezpośrednio w ustach pacjenta. Po okresie adaptacji wykonano docelowe uzupełnienia stałe oraz protezy szkieletowe. Przedstawione postępowanie przywróciło prawidłową wysokość zwarcia, stabilne kontakty zwarciowe oraz spowodowało znaczną poprawę estetyki uzębienia pacjenta.
Na skutek postępujących z wiekiem zmian biomorfotycznych, starcia zębów lub ich utraty, w ciągu życia dochodzi do obniżenia wysokości zwarcia. Zmiany te mogą mieć charakter fizjologiczny, jak i patologiczny. W artykule przedstawiono proces leczenia zachowawczo-protetycznego 53-letniego pacjenta. Leczenie było poprzedzone badaniem warunków zwarciowych pacjenta, analizą modeli w artykulatorze oraz wykonaniem szczegółowego planu leczenia z zastosowaniem diagnostycznego nawoskowania. Wykonane na podstawie diagnostycznego nawoskowania indeksy silikonowe wykorzystano do modelowania uzupełnień kompozytowych bezpośrednio w ustach pacjenta. Po okresie adaptacji wykonano docelowe uzupełnienia stałe oraz protezy szkieletowe. Przedstawione postępowanie przywróciło prawidłową wysokość zwarcia, stabilne kontakty zwarciowe oraz spowodowało znaczną poprawę estetyki uzębienia pacjenta.
Abstract
Due to proceeding with time biomorphic changes, wear of teeth and their loss we can observe decrease of vertical dimension of occlusion. These changes may be physiological or pathological. This article presents the conservative-prosthetic treatment process in a 53-years-old patient. The treatment was preceded by examination and diagnosis of occlusal disorders, analysis of diagnostic models, construction of wax-up. Silicone indexes made on the basis of diagnostic wax-up were used to model composite restorations directly in the patient's mouth. After the adaptation period, target permanent restorations and the upper and lower framework dentures were produced. The presented procedure restored the correct vertical dimension, stable occlusal contacts and a significant improvement in the aesthetics of the patient's teeth was obtained.
Hasła indeksowe: zaburzenia zwarcia, rehabilitacja zachowawczo-protetyczna, diagnostyczne nawoskowanie
Key words: occlusion disorders, conservative-prosthetic reconstruction, wax-up
Due to proceeding with time biomorphic changes, wear of teeth and their loss we can observe decrease of vertical dimension of occlusion. These changes may be physiological or pathological. This article presents the conservative-prosthetic treatment process in a 53-years-old patient. The treatment was preceded by examination and diagnosis of occlusal disorders, analysis of diagnostic models, construction of wax-up. Silicone indexes made on the basis of diagnostic wax-up were used to model composite restorations directly in the patient's mouth. After the adaptation period, target permanent restorations and the upper and lower framework dentures were produced. The presented procedure restored the correct vertical dimension, stable occlusal contacts and a significant improvement in the aesthetics of the patient's teeth was obtained.
Hasła indeksowe: zaburzenia zwarcia, rehabilitacja zachowawczo-protetyczna, diagnostyczne nawoskowanie
Key words: occlusion disorders, conservative-prosthetic reconstruction, wax-up