Dostęp do tego artykułu jest płatny.
Zapraszamy do zakupu!
Cena: 12.50 PLN (z VAT)
Kup artykuł
Po dokonaniu zakupu artykuł w postaci pliku PDF prześlemy bezpośrednio pod twój adres e-mail.
Streszczenie
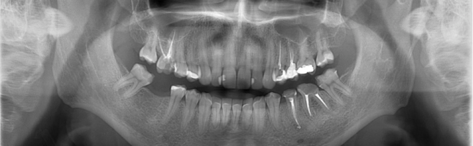
Celem pracy było opisanie ponownego leczenia endodontycznego zębów przedtrzonowych, które początkowo można błędnie ocenić jako zęby o nieskomplikowanej anatomii, teoretycznie łatwe do leczenia. Endodoncja to bardzo dynamicznie rozwijająca się dziedzina stomatologii, która umożliwia skuteczne wyleczenie zębów dawniej skazanych na ekstrakcję. W artykule przedstawiono różnorodność anatomiczną zębów przedtrzonowych na podstawie dwóch przypadków z własnej praktyki oraz wdrożone postępowanie diagnostyczno‑terapeutyczne. Długofalowe powodzenie leczenia kanałowego zależy nie tylko od wyjściowej diagnozy, stanu tkanek okołowierzchołkowych, ale także od prawidłowo przeprowadzonych procedur podczas leczenia. Dodatkowo warto zaznaczyć, że wyleczenie systemu kanałowego to dopiero początek drogi, a szczelna i trwała odbudowa zęba to również warunek konieczny do osiągnięcia sukcesu terapeutycznego oraz satysfakcji pacjenta.
Abstract
The aim of this cases report was to present the endodontic treatment of premolars, which seemed to be easy and uncomplicated at the first sight. Endodontics is a very dynamically developing field of dentistry that enables effective treatment of teeth formerly qualified for extraction. The article presents the anatomical varieties of premolars based on two cases from own experience, introduced diagnostic and therapeutic procedures. The long‑term success of root canal treatment depends not only on the initial diagnosis, the state of periapical tissues, but also on correctly performed procedures during treatment. In addition, it is worth noting that CTR is just the initial step, and the proper restoration of the tooth is essential for a successful treatment and satisfied patient.
Hasła indeksowe: leczenie endodontyczne, irygacja kanałów korzeniowych, kanały dodatkowe, kanały boczne
Key words: canal root treatment, root canal irrigation, accessory canals, lateral canals
PIŚMIENNICTWO
1. Vertucci F.J.: Root canal anatomy of human permanent teeth. Oral Surg. Oral Med. Oral Pathol., 1984, 58, 5, 589-599.
2. Różyło T.K. i wsp.: Morphology of root canals in adult premolar teeth. Folia Morphol. (Warsz.), 2008, 67, 4, 280-285.
3. Barańska-Gachowska M.: Endodoncja wieku rozwojowego i dojrzałego. Wydawnictwo Czelej, Lublin 2004, 147-152.
4. Zarzecka J. i wsp.: Tomografia stożkowa w praktyce endodontycznej. Elamed Media Group, Katowice 2015, 53-72.
5. Romaniuk-Demonchaux A.: Procedury kliniczne w leczeniu endodontycznym zębów – ogniwa scalające proces terapeutyczny. Endodoncja w Praktyce, 2017, 1, 6-21.
6. Kozyra M., Powojska E.: Preparaty do irygacji kanałów korzeniowych w codziennej praktyce stomatologicznej – przegląd piśmiennictwa. Endodoncja w Praktyce, 2018, 2, 56-59.
7. Wilkoński W., Jamróz-Wilkońska L.: Protokół płukania kanałów korzeniowych według zaleceń Działu Badawczego Polskiego Towarzystwa Endodontycznego. Mag. Stomatol., 2013, 1, 92-94.
8. Żarow M. i wsp.: Endoprotetyka. Przewodnik dla praktyki. (Kiedy decydujemy się na retreatment i jak go wykonać?). Wydawnictwo Kwintesencja, Warszawa 2013, 71-77.
9. Żarow M. i wsp.: Endoprotetyka. Przewodnik dla praktyki. (Jak przygotować zęby pod wypełnienia pośrednie inlay/onlay?). Wydawnictwo Kwintesencja, Warszawa 2013, 101-106, 119-121.
10. European Society of Endodontology: Quality guidelines for endodontic treatment: consensus report of European Society of Endodontology. Int. Endod. J., 2006, 39, 12, 921-930.
Key words: canal root treatment, root canal irrigation, accessory canals, lateral canals
PIŚMIENNICTWO
1. Vertucci F.J.: Root canal anatomy of human permanent teeth. Oral Surg. Oral Med. Oral Pathol., 1984, 58, 5, 589-599.
2. Różyło T.K. i wsp.: Morphology of root canals in adult premolar teeth. Folia Morphol. (Warsz.), 2008, 67, 4, 280-285.
3. Barańska-Gachowska M.: Endodoncja wieku rozwojowego i dojrzałego. Wydawnictwo Czelej, Lublin 2004, 147-152.
4. Zarzecka J. i wsp.: Tomografia stożkowa w praktyce endodontycznej. Elamed Media Group, Katowice 2015, 53-72.
5. Romaniuk-Demonchaux A.: Procedury kliniczne w leczeniu endodontycznym zębów – ogniwa scalające proces terapeutyczny. Endodoncja w Praktyce, 2017, 1, 6-21.
6. Kozyra M., Powojska E.: Preparaty do irygacji kanałów korzeniowych w codziennej praktyce stomatologicznej – przegląd piśmiennictwa. Endodoncja w Praktyce, 2018, 2, 56-59.
7. Wilkoński W., Jamróz-Wilkońska L.: Protokół płukania kanałów korzeniowych według zaleceń Działu Badawczego Polskiego Towarzystwa Endodontycznego. Mag. Stomatol., 2013, 1, 92-94.
8. Żarow M. i wsp.: Endoprotetyka. Przewodnik dla praktyki. (Kiedy decydujemy się na retreatment i jak go wykonać?). Wydawnictwo Kwintesencja, Warszawa 2013, 71-77.
9. Żarow M. i wsp.: Endoprotetyka. Przewodnik dla praktyki. (Jak przygotować zęby pod wypełnienia pośrednie inlay/onlay?). Wydawnictwo Kwintesencja, Warszawa 2013, 101-106, 119-121.
10. European Society of Endodontology: Quality guidelines for endodontic treatment: consensus report of European Society of Endodontology. Int. Endod. J., 2006, 39, 12, 921-930.