Zębiak złożony żuchwy przyczyną zatrzymania pierwszego zęba trzonowego stałego u dziewięciolatka – opis przypadku

Zębiak złożony żuchwy przyczyną zatrzymania pierwszego zęba trzonowego stałego u dziewięciolatka – opis przypadku
Opublikowano dnia : 01.09.2019

Dostęp do tego artykułu jest płatny.
Zapraszamy do zakupu!

Cena: 12.50 PLN (z VAT)

Po dokonaniu zakupu artykuł w postaci pliku PDF prześlemy bezpośrednio pod twój adres e-mail.

Kup artykuł

Streszczenie
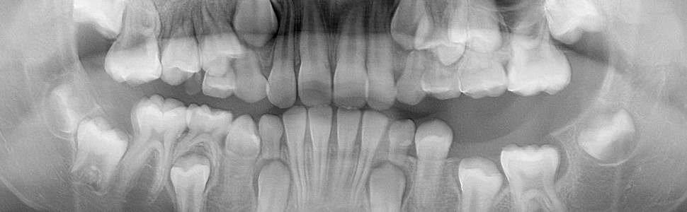
Artykuł przedstawia przykład malformacji rozwojowej, jaką jest zębiak. Ten problem kliniczny najczęściej dotyczy dzieci. Zębiak bywa przyczyną zatrzymania okolicznych zębów i dlatego często wykrywa się go dopiero w momencie, gdy ząb stały nie pojawia się w łuku zębowym po okresie fizjologicznej wymiany. Charakterystyczny obraz radiologiczny zębiaka nie nastręcza trudności w jego rozpoznaniu.

Abstract

The article presents an example of a developmental malformation such as the odontoma. In most cases, the clinical problem affects children. The odontoma can cause the retention of surrounding teeth. For this reason, it is often   detected when the permanent tooth does not develop in the dental arch after the period of physiological change. The diagnosis can be estabilished without any difficulty due to the characteristic radiological picture. 
 
Hasła indeksowe: zmiana nowotworopodobna, zębiak, zębiak złożony, ząb zatrzymany
 
Key words: tumor-like lesion, odontoma, odontoma complex type, impacted tooth

PIŚMIENNICTWO
1. Bartkowski S.: Chirurgia szczękowo-twarzowa. Collegium Medicum UJ, Kraków 1996, 300.
2. Bardowska-Szura A., Migacz-Ciepiela K., Bardowska M: Zębiak u matki i syna. Forum Ortodontyczne, Tom7, nr 4, 2011, 192-197.
3. Cezairli B. et al.: Surgical Treatment of a Large Complex Odontoma.  http://cms.galenos.com.tr/Uploads/Article_16140/148-152.pdf 
4. Kryst L.: Chirurgia szczękowo-twarzowa, PZWL, Warszawa 2007, 423-424.
5. White S. C., Pharoah M. J.: Radiologia Stomatologiczna, Czelej, Lublin 2002, 409-411.
6. Szpringer-Nodzak M., Wochna-Sobańska M.: Stomatologia wieku rozwojowego. PZWL, Warszawa 2007, 672-673.
7. Janas A., Grzesiak-Janas G.: Zębiaki złożone. Dent. Med. Probl. 2005, 42, 3, 425-429.
8. Kaczmarzyk T. i wsp.: Nowotwory zębopochodne i guzy nowotworopodobne kości szczękowych, Wydawnictwo Kwintesencja, Warszawa 2009, 107-115.
9. Lewandowski B., Cubera T.: Zębiaki. Obserwacje własne. Przegląd Medyczny Uniwersytetu Rzeszowskiego i Narodowego Instytutu Leków w Warszawie. Wydawnictwo UR, Rzeszów 2010, 3, 323-329.
10. Dudek D.: Zębiak złożony szczęki przyczyną dolegliwości bólowych – opis przypadku. Dental Tribune – Polish Edition, https://www.dental-tribune.com/epaper/dt-poland/dt-poland-1108-[12-13].pdf11. Gnatek A., Osica P., Janas-Naze A.: Postępowanie chirurgiczne u pacjentki z zębiakiem zestawnym szczęki-opis przypadku. Jurnal of Education, Health and Sport, 2017, 7(7), 82-91.
12. da Rocha Leodido G. et al.: Complex odontoma. A clinical case report. Scientific Journal of Dentistry, 2015, 2, 31-35,
https://pdfs.semanticscholar.org/0fe9/d88b4db4b29672aede8fc81444dba36236e2.pdf13. Karolak D., Lange J.: Leczenie interdyscyplinarne (chirurgiczno-ortodontyczne) zębiaka zestawnego związanego z zatrzymanym stałym siekaczem bocznym żuchwy-opis przypadku. Nowa Stomatologia 1/2018, 25-31.
14. Gnatek A. i wsp.: Leczenie chirurgiczne 14-letniej pacjentki z zatrzymanym zębem 22, po niepowodzeniu leczenia ortodontycznego. Jurnal of Education, Health and Sport, 2016; 6(12), 593-603.