Zakład Stomatologii Ogólnej Uniwersytetu Medycznego w Łodzi
ARTYKUŁ UKAZAŁ SIĘ W MS 4/2019
Kolor, kształt, zaburzenia strukturalne oraz zmiany pozycji zębów przednich – to odwieczne problemy estetyczne pacjentów. Aby zaradzić tego typu problemom, wykonywano dawniej uzupełnienia protetyczne w postaci koron, ale nadmierna preparacja zębów i ryzyko uszkodzenia tkanek otaczających stanowiły istotne wady tych uzupełnień (1). Na szczęście stomatologia nieustannie się zmienia, a postęp przynosi nowe rozwiązania, które pomagają pokonać dotychczasowe trudności. W ostatnich latach popularne stały się licówki jako zachowawcza i estetyczna opcja leczenia zębów przednich (2). Wyróżnia się dwa typy licówek: wykonane pośrednio i bezpośrednio. Te pierwsze powstają z materiałów ceramicznych lub kompozytowych w pracowni technicznej, a mocuje się je za pomocą cementów adhezyjnych. Te drugie mają formę materiału kompozytowego nakładanego bezpośrednio na odpowiednio przygotowany ząb, często bez konieczności preparacji. Tego typu leczenie odbywa się podczas jednej wizyty i jest związane ze znacznie niższymi kosztami dla pacjenta (1).
Kiedy pacjent zgłasza się do gabinetu w celu poprawy estetyki, trzeba pamiętać o kilku podstawowych zasadach, do których należą: indywidualne podejście, zrozumienie oczekiwań, dokładna analiza estetyczna i funkcjonalna. Nie zawsze docelowa odbudowa musi się wiązać z wykonaniem pełnych licówek, czasem poprawa estetyki może wymagać jedynie niewielkich korekt.
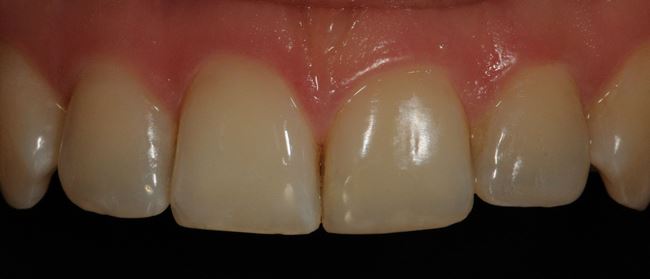
Przyjrzyjmy się temu zagadnieniu na przykładzie pacjentki, która zgłosiła się w celu zmiany kształtu brzegów siecznych zębów 12 i 22 (wraz z powierzchnią przedsionkową) oraz wyeliminowania odwapnienia na zębie 21 (ryc. 1). Pacjentce zależało na postępowaniu jak najmniej inwazyjnym dla tkanek zębów. Kilka lat wcześniej zakończyła leczenie ortodontyczne, odwapnienie na zębie 21 było leczone metodą infiltracji, ale bez powodzenia. Pacjentce proponowano także wykonanie licówek porcelanowych, jednak ze względu na konieczność nadmiernej preparacji nie zdecydowała się na to rozwiązanie.
Ryc. 1. Stan przed leczeniem.
W trakcie wizyty konsultacyjnej wykonano symulację, dokładając materiał kompozytowy do brzegów siecznych w celu przedstawienia możliwości zmiany kształtu zębów. Jednocześnie skupiono się na doborze odpowiedniego koloru. W tym przypadku plan zakładał doklejenie materiału kompozytowego w wybrane miejsca, bez pokrywania całej powierzchni przedsionkowej wszystkich zębów przednich, dlatego dobór koloru miał tu ogromne znaczenie. Ostateczny efekt w przypadku leczenia zębów przednich zależy bowiem w dużej mierze właśnie od tego etapu pracy. I tu często pojawia się problem: jak dobrać kolor, aby nie popełnić błędu?
Szereg czynników, takich jak temperatura i kąt padania światła, tło, czas obserwacji oraz uwarunkowania związane ze wzrokiem lekarza stomatologa wykonującego zabieg mają wpływ na odpowiedni dobór koloru. Nie bez znaczenia jest także uwodnienie tkanek, przygotowanie powierzchni zęba, dokładne oczyszczenie z osadów. Do oceny koloru leczonego zęba lekarze używają przeważnie klucza kolorów. Metoda dobierania koloru często oznacza „próby i błędy”, lekarz przykłada w jamie ustnej wybrane zęby z klucza kolorów, aby ustalić odpowiednie dopasowanie, nie zwracając uwagi na charakterystykę koloru i zjawiska naturalne, które ten kolor zmieniają. Najbardziej znany kolornik Vita Lumin Vacuum (Vident) jest stosowany od 1956 roku, a jego zasada pozostaje wciąż aktualna. W 1998 roku wprowadzony został kolornik Vita 3D Master (3), który wraz z podziałem kolorów na cztery grupy: A, B, C i D stał się złotym standardem w doborze koloru (4). Wzrok jednak szybko się męczy, co więcej dobór koloru nigdy nie będzie obiektywny. Dla ułatwienia można posłużyć się kamerą cyfrową, kolorymetrem lub spektrofotometrem, jednak zakup takiego urządzenia to dodatkowy wydatek dla praktyki stomatologicznej.
Warto zaznaczyć, że tradycyjny kolornik VITA nie jest polecany w przypadku materiałów kompozytowych. Znacznie lepiej jest wykonać kolornik indywidualnie z kompozytu, którym się pracuje, ponieważ każdy materiał ma inne właściwości fizyczne i optyczne. Nawet ten sam kolor różnych marek może się znacznie różnić (3). Dobrym rozwiązaniem jest również nałożenie porcji materiału na ząb i ocena dopasowania koloru po jego spolimeryzowaniu. Jednak gdy pracuje się techniką warstwową, dodatkową uciążliwością staje się konieczność dokładnego zaplanowania grubości kolejnych warstw różnych odcieni materiału kompozytowego. Niekiedy nawet w przypadku niewielkich ubytków dla dobrego efektu estetycznego konieczne jest zastosowanie techniki kilku warstw kolorystycznych.
Ze względu na trudności związane z doborem odpowiedniego koloru wielu lekarzy unika odbudowy estetycznej pojedynczego zęba w odcinku przednim, oraz stosowania takiego rozwiązania jak w opisywanym przypadku. Oczywiste jest to, że wykonując odbudowy wszystkich zębów przednich w tym samym kolorze, pokrywając w całości powierzchnie przedsionkowe, można uniknąć rozbieżności kolorystycznych. Ponadto żmudne dobieranie koloru, dokładnie zaplanowana i wykonana praca o minimalnej inwazyjności może okazać się sukcesem estetycznym na krótki czas, jeśli pacjent nie stosuje się do zaleceń dotyczących pielęgnacji odbudów kompozytowych lub np. podda się wybielaniu zębów.
Bezpośrednie odbudowy kompozytowe w odcinku przednim pozwalają jednak na minimalnie inwazyjną pracę i maksymalne zachowanie zdrowych struktur zęba. Odbudowy te, w razie uszkodzenia, mogą być łatwo naprawione. Są zalecane zwłaszcza u pacjentów młodych, wymagających odbudowy w odcinku przednim (5).
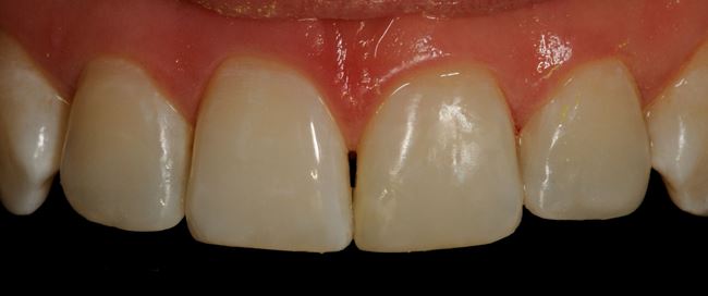
Powróćmy jednak do opisywanego przypadku. U pacjentki przeprowadzono standardową procedurę adhezyjną. Po usunięciu przebarwień i opracowaniu ubytków zęby odizolowano od środowiska jamy ustnej za pomocą koferdamu. Powierzchnię zębów, w znacznej części szkliwo, wypiaskowano mikropiaskarką abrazyjną (MicroEtcher IIa, Danville), używając tlenku glinu o wielkości ziaren 50 μm, a następnie wytrawiono kwasem ortofosforowym (ryc. 2) i zaaplikowano system wiążący Syntac (Ivoclar Vivadent). Odbudowy wykonano, używając materiału Estelite Asteria (Tokuyama Dental) w kolorze NE dla zębów 12 i 21 oraz A2 i NE dla zęba 21 (ryc. 3).
Ryc. 2. Powierzchnie zębów przygotowane do procedury adhezyjnej.
Ryc. 3. Stan po leczeniu.
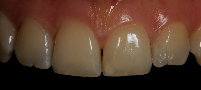
Pacjentka regularnie, co pół roku, zgłaszała się na wizyty kontrolne. Po półtora roku (ryc. 4) zapytała o możliwość wybielenia zębów i tu pojawił się opisany wyżej problem. Dobór koloru w tym przypadku nie był jednoznaczny, dlatego, po uzgodnieniu z pacjentką, materiał kompozytowy wyprowadzono wraz z całą procedurą adhezyjną nieco na powierzchnię przedsionkową leczonych zębów, co przy zastosowaniu wybielania na pewno szybko odznaczy się w postaci ciemniejszych uzupełnień. Jeśli pacjentka zdecyduje się na wybielanie, konieczna będzie kolejna odbudowa.
Ryc. 4. Kontrola po półtora roku.
I tu powstaje pytanie: czy gdybym na początku przewidziała przyszłe życzenia pacjentki, wybrałabym to samo rozwiązanie? Trzy lata temu miałam do wyboru technologie, które w ten czy inny sposób były ograniczone do konkretnych rozwiązań, ale stwarzały problemy w konfrontacji z nową sytuacją (taką jak oczekiwanie pacjentki dotyczące wybielenia zębów z wykonanym uzupełnieniem). Stomatologia jednak nieustannie się rozwija, w zasadzie każdego roku przynosi nowe możliwości. Wybierając dziś, miałabym do dyspozycji nowy materiał kompozytowy Omnichroma (Tokuyama Dental), który nie zawiera pigmentu, w zamian wykorzystuje naturalne zjawiska koloru strukturalnego. Kolor taki powstaje, gdy światło pada na materiał o określonej strukturze. Struktura wypełnienia przejmuje cechy od otaczających je tkanek. Dzięki temu nie ma potrzeby dobierania koloru. Co więcej, producent zapewnia, że w przypadku wybielenia zębów materiał dopasuje się kolorystycznie.
Kompozyt Omnichroma jest strukturalnie bardziej uporządkowany, co daje równiejsze, gładsze powierzchnie, a tym samym ułatwia polerowanie. Ponadto – logicznie rzecz biorąc – materiał homogeniczny i tworzący kolor swoją strukturą w masie, a nie pigmentem nakładanym warstwami, powinien w sposób trwały zachowywać kolor. Gdyby taki materiał był dostępny w opisywanym przypadku, mógłby okazać się optymalnym rozwiązaniem. Mając do dyspozycji takie narzędzie, można być znacznie spokojniejszym o dobór koloru. A ponieważ technologia w stomatologii wciąż ewoluuje, ważne jest, by z uwagą śledzić nowe rozwiązania.
PIŚMIENNICTWO1. Korkut B., Yanıkoğlu F., Günday M.: Direct composite laminate veneers: three case reports. J. Dent. Res. Dent. Clin. Dent. Prospects, 2013, 7, 2, 105-111. doi: 10.5681/joddd.2013.019. Epub 2013 May 30.
2. Aristidis G.A., Dimitra B.: Five-year clinical performance of porcelain laminate veneers. Quintessence Int., 2002, 33, 3, 185-189.
3. Manauta J. i wsp.: Layers. Atlas kompozytowych uzupełnień warstwowych. Red. wyd. pol.: Żarow M. Wydawnictwo Kwintesencja, Warszawa 2012, 25-77.
4. Zubrzycka-Wróbel J., Piątek D., Chałas R.: Dobór koloru wypełnienia w praktyce stomatologicznej, Mag. Stomatol., 2018, 28, 4, 90-94.
5. Sowmya K. i wsp.: Esthetic rehabilitation with direct composite veneering: a report of 2 cases. Case Rep. Dent., 2017, 2017, 7638153. Published online 2017 Apr 18. doi: 10.1155/2017/7638153