Jak postąpić w przypadku recesji dziąsłowych?

Jak postąpić w przypadku recesji dziąsłowych?
dr hab. n. med. Agnieszka Droździk
 
Zakład Stomatologii Zintegrowanej Pomorskiego Uniwersytetu Medycznego w Szczecinie
Kierownik: dr hab. n. med. Katarzyna Grocholewicz, prof. nadzw.

Praca recenzowana
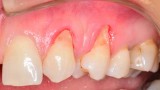
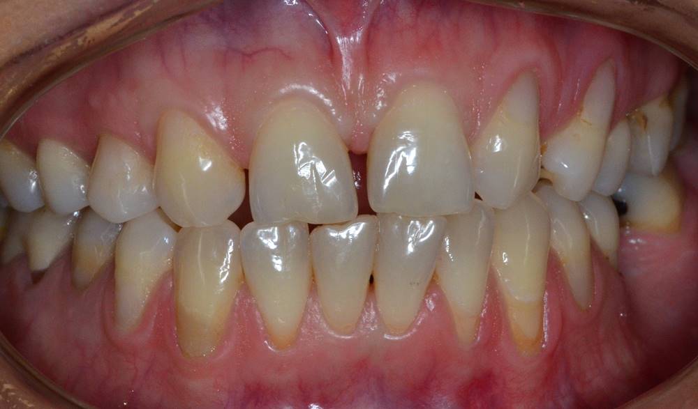
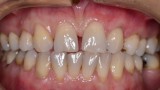
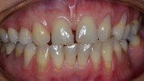
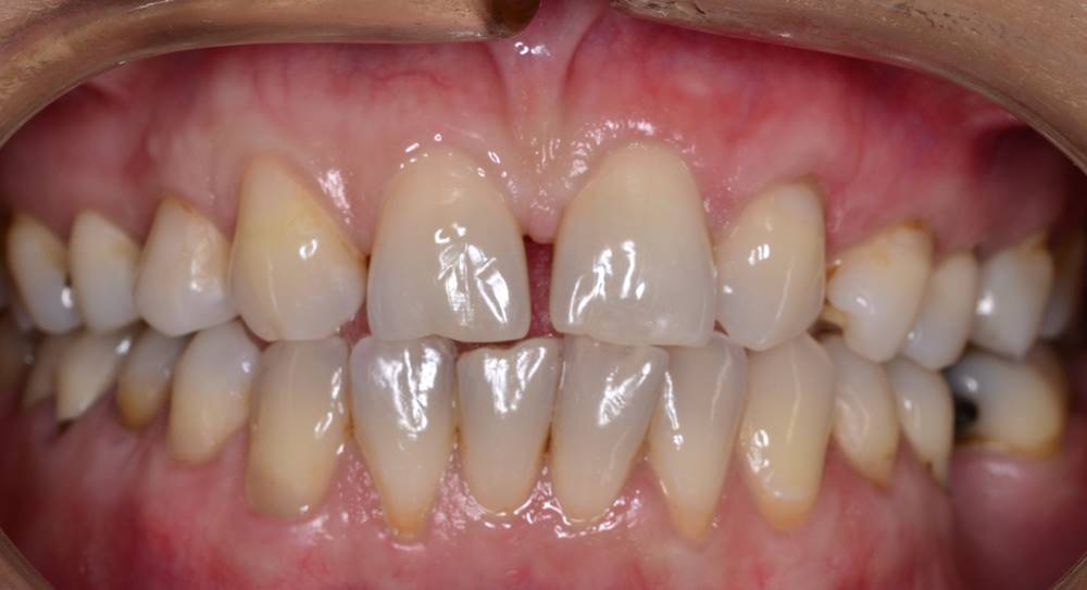
Zgłosiła się do mnie pacjentka z odsłoniętymi znacznie (ok. 4 mm) szyjkami kłów i zębów przedtrzonowych szczęki od strony przedsionkowej. Powierzchnia korzeni nie jest zmieniona, ale pacjentka skarży się na wrażliwość odsłoniętych powierzchni i ich nieestetyczny wygląd. Czy można je w jakiś sposób pokryć i jakie jest rokowanie w takich przypadkach?

Ryciny 1-4 (kliknij, żeby powiększyć)



Recesje dziąsłowe polegające na odsłonięciu szyjek zębowych i powierzchni korzeni to problem wielu pacjentów. Z badań wynika, że występują u co drugiej osoby w wieku od 18 do 64 lat. Jeszcze częstsze są w populacji osób starszych (nawet do 88%) (1). Istotą recesji dziąsłowej jest wtórne przemieszczenie wolnego brzegu dziąsłowego w kierunku wierzchołkowym względem granicy szkliwno-cementowej, poprzedzone destrukcją policzkowej blaszki kostnej w formie tzw. dehiscencji. Ponieważ pierwszym etapem prawidłowego klinicznego postępowania z recesjami jest ustalenie i próba wyeliminowania czynnika bądź czynników przyczynowych, istotna jest znajomość etiologii recesji. Do głównych przyczyn pojawienia się tego rodzaju defektów należą: zapalenie przyzębia, związane z nieprawidłową kontrolą płytki bakteryjnej i stanu zapalnego, oraz nieprawidłowa, urazowa technika szczotkowania, stosowanie zbyt twardej szczoteczki lub nieumiejętne posługiwanie się innymi przyborami do codziennej higieny jamy ustnej (2). W pierwszym przypadku recesje zlokalizowane są głównie w przestrzeniach międzyzębowych, w miarę upływu czasu wokół całego obwodu szyjki, w drugim przypadku występują głównie na powierzchniach policzkowych i często w towarzystwie ubytków abrazyjnych. Dehiscencja kostna i wtórnie odsłonięcie powierzchni korzenia mogą być także wynikiem budowy anatomicznej kości wyrostka zębodołowego, nieprawidłowego ustawienia zęba w łuku oraz niewłaściwego ortodontycznego przemieszczania zęba poza blaszkę zewnętrzną wyrostka zębodołowego (3). Doprzedsionkowe położenie zęba w łuku sprzyjające wierzchołkowemu przemieszczeniu tkanek miękkich i odsłonięciu powierzchni korzenia szczególnie często dotyczy kłów.

Jeżeli jest to możliwe, ustalone czynniki przyczynowe, zwłaszcza traumatyczna metoda szczotkowania, powinny zostać wyeliminowane. Weryfikacja i ewentualna korekta procedur higienicznych powinna być również pierwszym elementem postępowania z recesjami, o które mowa w pytaniu. Recesje zlokalizowane na powierzchni wargowej/policzkowej, którym nie towarzyszy stan zapalny, nie pociągają za sobą ryzyka utraty zęba. Warto poinformować o tym pacjenta, gdyż jest to najczęstsza obawa towarzysząca występowaniu recesji. Recesje dziąsłowe mogą natomiast predysponować do pojawienia się nadwrażliwości, próchnicy korzeni, a w odcinku przednim stanowią niewątpliwie defekt estetyczny.
Nie wszystkie recesje wymagają leczenia chirurgicznego. W niektórych przypadkach wskazane są jedynie obserwacja po wyeliminowaniu czynników przyczynowych i ewentualne postępowanie redukujące nadwrażliwość. Podstawą monitorowania jest okresowy pomiar wysokości i szerokości recesji pozwalający wychwycić ewentualną aktywność wyrażoną powiększaniem się defektu. Pokrywanie powierzchni korzenia materiałem kompozytowym oraz koroną protetyczną nie jest dobrym rozwiązaniem. Takie postępowanie nie powstrzyma recesji przed ewentualną progresją, a może wpłynąć na sukces ewentualnego leczenia chirurgicznego w przyszłości.

Decyzja o leczeniu chirurgicznym najczęściej uwarunkowana jest względami estetycznymi i podejmuje ją pacjent. Zabiegi pokrycia odsłoniętych powierzchni wykonuje się również w przypadku, gdy recesja wykazuje progresję, oraz przy braku możliwości przeprowadzenia właściwej kontroli płytki bakteryjnej, co skutkuje przewlekłym nawracającym stanem zapalnym (4). Szczególnej uwagi zarówno w odniesieniu do diagnostyki, jak i leczenia wymagają recesje dziąsłowe u pacjentów, u których planuje się leczenie ortodontyczne, recesje przy zębach przewidzianych jako filary protetyczne oraz przy zębach sąsiadujących z obszarami wymagającymi leczenia implantoprotetycznego. Celem chirurgicznego leczenia recesji dziąsłowych jest całkowite pokrycie korzenia, przynajmniej do granicy szkliwno-cementowej, z jednocześnie bardzo dobrym efektem estetycznym. Istotne jest również zachowanie zdrowego przyzębia bez stanu zapalnego, krwawienia przy zgłębnikowaniu, z przywróceniem fizjologicznej szczeliny dziąsłowej.
Realistyczne prognozowanie wyników leczenia to jedno z najważniejszych kryteriów pozwalających podjąć decyzję o ewentualnym leczeniu chirurgicznym. Składa się na nie analiza czynników związanych z pacjentem, czynników miejscowych związanych z recesją dziąsłową oraz czynników powiązanych z samą procedurą chirurgiczną. W pierwszej grupie poza chorobami wpływającymi na gojenie się tkanek, np. cukrzycą, bardzo ważnym czynnikiem prognostycznym jest palenie papierosów. Ponieważ palenie pogarsza prognozę pokrycia recesji, powinno być wyeliminowane, najlepiej kilka tygodni przed planowanym zabiegiem (5). Drugą grupę czynników istotnych w rokowaniu stanowią warunki miejscowe. Są to: optymalna higiena wyrażona wartościami wskaźników płytki bakteryjnej mniejszymi od 15% (API, FMBS) oraz brak objawów miejscowego stanu zapalnego. Tylko w takich warunkach możliwe jest przeprowadzenie przewidywalnej procedury chirurgicznej, precyzyjnego cięcia i szycia stabilizującego tkanki po zabiegu. Niezwykle istotne w prognozowaniu pokrycia recesji dziąsłowych są parametry dotyczące stanu tkanek przyzębia w przestrzeniach międzyzębowych sąsiadujących z recesją oraz wielkość samego defektu. Całkowitego pokrycia odsłoniętej powierzchni korzenia oczekiwać można w przypadku recesji klasy I i II wg Millera, a więc takich, którym nie towarzyszy utrata tkanek miękkich i kości wyrostka (6). Zdecydowanie gorzej rokują recesje klasy III i IV, których charakterystyczną cechą jest mniejszego lub większego stopnia utrata przyczepu łącznotkankowego i utrata kości w przestrzeniach międzyzębowych. Większe szanse na całkowite chirurgiczne pokrycie mają małe recesje dziąsłowe, których szerokość nie przekracza 3 mm, a wysokość 5 mm (7). Ostatnią grupą czynników istotnie wpływających na sukces terapeutyczny są aspekty samej procedury chirurgicznej – wśród nich grubość płata uwarunkowana biotypem dziąsłowym, grubość przeszczepu łącznotkankowego w zabiegach z wykorzystaniem autogennej tkanki łącznej, która nie powinna przekraczać 1,5 mm, a także przeprowadzenie zabiegu z nadmierną korektą. Płat powinien być pozabiegowo ustabilizowany 1-1,5 mm koronowo względem oczekiwanego ostatecznego poziomu brzegu dziąsłowego (8, 9). Najważniejsza jest jednak stabilność rany pooperacyjnej. Wpływają na nią m.in. optymalne, zapewniające dobre ukrwienie kształtowanie płata oraz technika szycia bez napięcia (10). Ogromną rolę odgrywa także współpraca pacjenta w zakresie skrupulatnego przestrzegania zaleceń pozabiegowych.

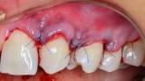
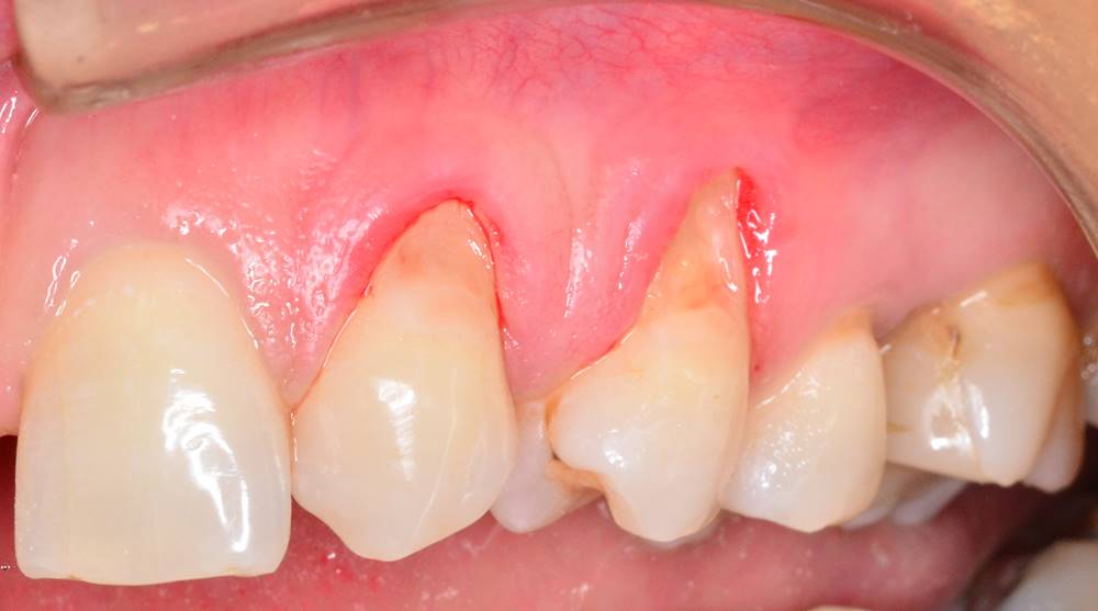
W chirurgicznym pokrywaniu recesji dziąsłowych możliwe jest zastosowanie różnych technik. Można wykorzystać wolne przeszczepy nabłonkowo-łącznotkankowe i łącznotkankowe, płaty uszypułowane, metody stanowiące kombinacje obu powyższych oraz sterowaną regenerację tkanek. Złotym standardem pozostaje zastosowanie przeszczepów autogennej tkanki łącznej przykrytej płatem uszypułowanym (11). Technika ta, określana jako bilaminarna, zaproponowana w latach osiemdziesiątych ubiegłego wieku, stale modyfikowana i udoskonalana, pozwala na zminimalizowanie ryzyka martwicy wolnego przeszczepu łącznotkankowego z jednoczesnym bardzo dobrym efektem estetycznym i dopasowaniem przeszczepianych tkanek do tkanek w miejscu biorczym pod względem struktury powierzchni i barwy (ryc. 1-4). Technika ta reprezentuje najwłaściwsze podejście chirurgiczne, zwłaszcza gdy recesji towarzyszy brak lub zredukowana ilość tkanek rogowaciejących. Tkankę łączną można pozyskać z podniebienia, okolicy guza szczęki, a także okolicy zatrzonowcowej (12). Miejsce dawcze warunkuje nie tylko wielkość, lecz także jakość przeszczepu łącznotkankowego pod względem zawartości kolagenu, tkanki tłuszczowej i gruczołowej, w konsekwencji wpływając na skłonność przeszczepu do martwicy. Możliwe jest pobranie dwóch rodzajów przeszczepów łącznotkankowych: wolnego przeszczepu podnabłonkowej tkanki łącznej oraz wolnego przeszczepu błony śluzowej zawierającego poza tkanką łączną również nabłonek. Przed wszyciem tego ostatniego rodzaju przeszczepu konieczne jest usunięcie nabłonka, które przeprowadza się poza jamą ustną (13, 14).

Leczenie chirurgiczne recesji dziąsłowych jest terapią w dużym stopniu przewidywalną, dającą zadowalające efekty pokrycia powierzchni korzeni. Ważne jest jednak, aby było przeprowadzane przez doświadczonych operatorów, technicznie prawidłowo i aby poprzedzała je wnikliwa diagnostyka i właściwa kwalifikacja defektów do zabiegu, oparta na realistycznym rokowaniu.
 
PIŚMIENNICTWO
  1. Kassab M.M., Cohen R.E.: The etiology and prevalence of gingival recession. Am. Dent. Assoc., 2003, 134, 220-225.
  2. Heasman P.A. i wsp.: Evidence for the occurrence of gingival recession and non-carious cervical lesions as a consequence of traumatic toothbrushing. J. Clin. Periodontol., 2015, 42 Suppl., 16, S237-S255.
  3. Jati A.S., Furquim L.Z., Consolaro A.: Gingival recession: its causes and types, and the importance of orthodontic treatment. Dental Press J. Orthod., 2016, 21, 18-29.
  4. Martorelli de Lima A.F. i wsp.: Coronally positioned flap with subepithelial connective tissue graft for root coverage: various indications and flap designs. J. Int. Acad. Periodontol., 2006, 8, 53-60.
  5. Chambrone L. i wsp.: The influence of tobacco smoking on the outcomes achieved by root-coverage procedures: a systematic review. J. Am. Dent. Assoc., 2009, 140, 294-306.
  6. Miller P.D.: A classification of marginal tissue recession. Int. J. Periodontics Restorative Dent., 1985, 5, 8-13.
  7. Wennström J.L., Zucchelli G.: Increased gingival dimensions. A significant factor for successful outcome of root coverage procedures? A 2-year prospective clinical study. J. Clin. Periodontol., 1996, 23, 770-777.
  8. Baldi C. i wsp.: Coronally advanced flap procedure for root coverage. Is flap thickness a relevant predictor to achieve root coverage? A 19-case series. J. Periodontol., 1999, 70, 1077-1084.
  9. Pini Prato G.P. i wsp.: Coronally advanced flap: the post-surgical position of the gingival margin is an important factor for achieving complete root coverage. J. Periodontol., 2005, 76, 713-722.
  10. Cortellini P., Pini Prato G.: Coronally advanced flap and combination therapy for root coverage. Clinical strategies based on scientific evidence and clinical experience. Periodontol. 2000, 2012, 59, 158-184.
  11. Chambrone L., Tatakis D.N.: Periodontal soft tissue root coverage procedures: a systematic review from the AAP Regeneration Workshop. J. Periodontol., 2015, 86, 8-51.
  12. Beatty R.L. i wsp.: Intraoral palatal mucosal graft harvest. Ophthal. Plast. Reconstr. Surg., 1993, 9, 120-124.
  13. Hürzeler M.B., Weng D.: A single-incision technique to harvest subepithelial connective tissue grafts from the palate. Int. J. Periodontics Restorative Dent., 1999, 19, 279-287.
  14. Zucchelli G. i wsp.: Patient morbidity and root coverage outcome after subepithelial connective tissue and de-epithelialized grafts: a comparative randomized-controlled clinical trial. J. Clin. Periodontol., 2010, 37, 728-738.

ARTYKUŁ UKAZAŁ SIĘ W NR 3/2018 MS