Giancarlo Cortese, MD, DDS: Perchè fare impianti sottoperiostei nel 2016
Copyright © by Giancarlo CorteseCopyright © for the Polish edition by “Magazyn Stomatologiczny”
Wszystkie prawa zastrzeżone
Hasła indeksowe: zespół poamputacyjny, zaawansowany zanik kości, przeszczepy kości, siatki podokostnowe, komputerowa tomografia osiowa, modele stereolitograficzne, drukarki 3D, urządzenia do zgrzewania laserowego, natychmiastowe obciążenie funkcjonalne
Key words: amputee syndrome, severe bone atrophy, bone grafts, subperiosteal mesh, CAT scans, stereolithographic models, 3D printers, laser melting machines, immediate functional load
Adres do korespondencji:
Giancarlo Cortese, MD, DDS
Corso Sommelier 23
10128 Torino, Italia
e mail: cortese.gian@libero.it
www.giancarlocortese.it
Obecnie najczęstszą metodą leczenia zaawansowanych zaników tkanek twardych w szczęce lub w żuchwie są zabiegi regeneracji kości oraz przeszczepy kości. Jednak w niektórych przypadkach klinicznych, takich np. jak cukrzyca (1), zaburzenia metaboliczne, nowotwór, metody te nie mogą być wykorzystane. Często również sami pacjenci nie zgadzają się na wykonanie inwazyjnych zaawansowanych zabiegów odtwórczych z przyczyn osobistych, do których należą znaczne ograniczenia finansowe (2) lub trudny do opanowania strach.
Takich pacjentów nie można pozostawić z bardzo niestabilnymi ruchomymi uzupełnieniami protetycznymi. Lekarz jest zobowiązany do znalezienia nowocześniejszej metody zaopatrzenia braków zębowych. Uznaje się za oczywiste, że każdy pacjent po amputacji kończyny może się poruszać, gdy brakującą nogę zastąpi się starą drewnianą ortezą. Gdy zastosuje się natomiast jedną z najnowocześniejszych sztucznych biomechanicznych ortez kończyn dolnych, wówczas będzie mógł biegać, skakać, tańczyć lub nawet jeździć na nartach. Użytkowanie takiej protezy pozwoli mu na powrót do normalnego życia, uwalniając od jakiejkolwiek niepełnosprawności fizycznej i/lub psychicznej.
Jakość życia osób z zaawansowanym zanikiem tkanek twardych, korzystających z całkowicie niestabilnych protez zębowych można porównać do sytuacji, w jakiej znajdują się pacjenci po amputacji. Powodem tego stwierdzenia jest utrata funkcji jednego z podstawowych organów – jamy ustnej. Ten typ niepełnosprawności fizycznej staje się przyczyną narastających zaburzeń wymowy i żucia, prowadzących do niedożywienia i utraty masy ciała. Taki stan pacjenta niejednokrotnie jest powodem depresji i/lub odczuwania ciągłego niepokoju, a w konsekwencji może często wymagać specjalistycznej pomocy medycznej.
Konsekwencje bezzębia często uważa się za nieistotne lub nie są one diagnozowane, jeśli dotyczą osób w podeszłym wieku. Zjawisko to jako poważny problem jest postrzegane i traktowane jedynie przez grupę ludzi młodych i w wieku średnim, mających bogate życie towarzyskie i rodzinne, a w pracy częste kontakty z ludźmi.
Do niniejszego artykułu wybrałem grupę swoich pacjentek ze znacznym zanikiem podłoża kostnego, czujących się jak dotknięte trwałym kalectwem po utracie jednego z narządów. Żaden z przedstawionych przypadków nie mógł być zaopatrzony za pomocą przeszczepów kostnych.
W przedstawionych przypadkach zastosowano rehabilitację implantoprotetyczną, opartą na wszczepach obciążonych natychmiastowo uzupełnieniem stałym typu full arch, które od samego początku okazały się perfekcyjnie stabilne. U wszystkich pacjentek poddanych z sukcesem rehabilitacji omówioną metodą stwierdzono bardzo wyraźną poprawę samopoczucia, nie wspominając o radości towarzyszącej odzyskanej funkcji żucia.
Ten krótki artykuł rzuca ogólne światło na korzyści powstałe z wykonania stałej rekonstrukcji pełnego łuku zębowego z zastosowaniem wszczepów podokostnowych u pacjentek, dla których metoda ta była ostatnią deską ratunku. Odzyskanie pełnej satysfakcji z funkcjonowania, estetyki i komfortu nowego uzębienia zmieniło ich życie o 180 stopni.
Udowodnię w nim wyższość minimalnie inwazyjnych metod rehabilitacji z użyciem wszczepów podokostnowych nad typowymi metodami sterowanej regeneracji kości, poprzedzającej wszczepienie klasycznych implantów śródkostnych. Wysoka przewidywalność metody małoinwazyjnej, w połączeniu z natychmiastową odbudową pełnego łuku zębowego, zaspokaja w pełni oczekiwania funkcjonalne i estetyczne nawet najbardziej wymagających pacjentów.
OPIS PRZYPADKÓW
Przypadek 1
Zacznę od pacjentki w wieku 52 lat, ze starczym wyrazem twarzy (ryc. 1), od wielu lat silnie uzależnionej od nikotyny, użytkującej bardzo niestabilną protezę górną całkowitą. W ciągu ostatnich kilku lat utraciła wiele wszczepów, a niedawno poddała się zabiegowi obustronnego podniesienia dna zatoki szczękowej metodą otwartą, wraz z jednoczesnym wprowadzeniem wszczepów zębowych. Zabieg zakończył się jednak niepowodzeniem, gdy tylko osadzone mosty obciążono w zgryzie. Bezpośrednio po usunięciu mostów oraz wszczepów pacjentka została poddana rozległemu zabiegowi przeszczepu bloków kostnych, które nie wgoiły się i zostały usunięte.
Pacjentka sprawia wrażenie przygnębionej i podkreśla, że obecnie prowadzi zakonny tryb życia, stroniąc od jakichkolwiek kontaktów międzyludzkich z powodu nadmiernie luźnej i bardzo niestabilnej protezy górnej. Jedynym sposobem na wyraźną wymowę jest u niej wyjęcie protezy przed rozmową. Zdecydowanie sprzeciwia się poddaniu kolejnym zabiegom regeneracyjnym i wykonaniu przeszczepów kości. Wyniki badania TK oraz analiza modeli stereolitograficznych pacjentki ukazują katastrofalny zanik wyrostków zębodołowych szczęki (ryc. 2). Czerwona linia na sklepieniu podniebienia jest całkowicie płaska i wskazuje lokalizację prawidłowej okluzji centralnej, gdyby jeszcze istniał wyrostek zębodołowy, do którego byłoby możliwe wszczepienie implantów śrubowych.
Pacjentka wyraża zgodę na zabieg chirurgiczny, polegający na wprowadzeniu wszczepów podokostnowych, zdając sobie sprawę, że jest to ostatnia deska ratunku, umożliwiająca stabilne zakotwiczenie protezy wspartej na wszczepach. Po zabiegu implantacji dwie oddzielne siatki podokostnowe (ryc. 3) zostaną ze sobą połączone (ryc. 4). Podniesiony płat śluzówkowo okostnowy (ryc. 5) ukazuje zgodność anatomii tkanki kostnej z modelem stereolitograficznym. Pozabiegowe zdjęcie pantomograficzne (ryc. 6) obrazuje idealne połączenie między dwiema siatkami, umieszczonymi precyzyjnie na swoim miejscu. Mezostruktura (ryc. 7) jest odpowiednim podparciem dla docelowej protezy typu „U” (ryc. 8).
Przypadek 2
Kobieta, lat 58. Bardzo szybko wyznała swój niepokój, brak pewności siebie i zazdrość o młodszego od niej, bardzo przystojnego męża, który jest dyrektorem banku i każdego dnia otaczają go młode, atrakcyjne sekretarki.
Głównym powodem dyskomfortu pacjentki była użytkowana przez nią całkowicie niestabilna proteza górna. Z powodu zaniku tkanek twardych w obrębie szczęki trzech różnych chirurgów szczękowo twarzowych proponowało jej zwiększenie ich objętości przez przeszczep bloków kostnych, a w kolejnym etapie wszczepienie w odbudowaną tkankę kostną odpowiedniej liczby implantów śrubowych, które staną się wsparciem dla mostu stałego odbudowującego pełny łuk zębowy. Pacjentka szczerze przyznała, że trzykrotnie odrzuciła taki plan leczenia nie ze względów finansowych (pieniądze nie były problemem), lecz z powodu silnego strachu przed opisanymi zabiegami chirurgicznymi. Równocześnie kobieta kategorycznie stwierdziła, że jeżeli nie otrzyma uzupełnienia protetycznego stałego, umożliwiającego satysfakcjonujące życie małżeńskie, wówczas na pewno popełni samobójstwo.
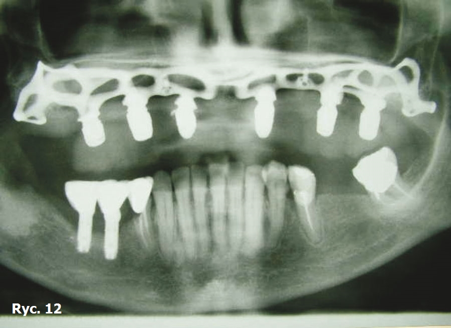
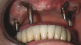
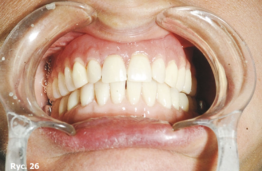
Wyniki badania TK oraz model stereolitograficzny pozwoliły na wykonanie dwóch oddzielnych siatek wszczepu podokostnowego w obrębie łuku górnego (ryc. 9), które zostały później wszczepione (ryc. 10) oraz połączone ze sobą, aby wspólnie przenosić siły żucia (ryc. 11), stanowiąc podparcie dla estetycznego uzupełnienia protetycznego stałego (ryc. 12, 13). Zabieg chirurgiczny przebiegł bez powikłań. Przysłana z Karaibów kartka pocztowa z trzema słowami „drugi miesiąc miodowy” potwierdziła, że cała wykonana przez lekarza praca zakończyła się sukcesem.
Przypadek 3
Pacjentka, w wieku 67 lat, całkowicie niezadowolona z użytkowania bardzo niestabilnej górnej protezy całkowitej. Uzyskano informację, że w przeszłości próbowano ją namówić na przeszczep kości, który miał umożliwić wszczepienie implantów, niezbędnych do osadzenia protezy stałej typu full arch. Plan przeszczepienia kości spotkał się z jej zdecydowaną odmową. W jednym z gabinetów szczegółowo wyjaśniono pacjentce również, na czym polega zabieg wszczepienia siatek podokostnowych oraz osadzenia stałego uzupełnienia protetycznego typu full arch. Pacjentka natychmiast poprosiła o zaopatrzenie bezzębia za pomocą podokostnowych wszczepów siatkowych.
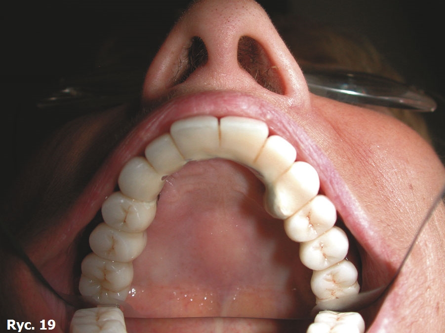
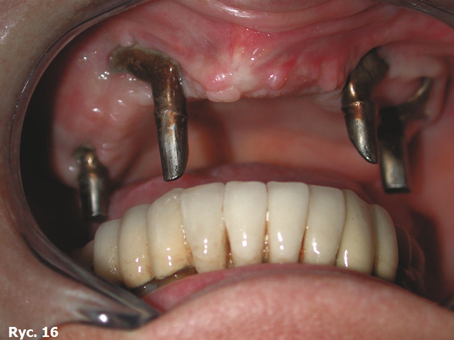
Obrazy TK oraz modele stereolitograficzne ukazują wysoki stopień zaniku tkanek twardych szczęki. Z tego powodu wykonano projekt wszczepu podokostnowego full arch (ryc. 14), który odlano z 5. gatunku tytanu (ryc. 15) i wszczepiono. Zabieg odbył się bez powikłań (ryc. 16). Leczenie zakończyło się wykonaniem i oddaniem protezy stałej full arch typu all on four, która w pełni zaspokaja estetyczne oraz funcjonalne oczekiwania pacjentki (ryc. 17, 18, 19, 20, 21).
Przypadek 4
Pacjentka, w wieku 40 lat, cierpiąca od piątego roku życia na cukrzycę insulinozależną, utraciła wszystkie zęby. Z powodu zaawansowanego zaniku tkanki kostnej, ostatnie protezy, zwłaszcza dolna, były bardzo niestabilne.
Ze względu na wielkość zaniku tkanek twardych oraz typ i stopień zaawansowania cukrzycy, zarówno specjaliści z Oddziału Chirurgii Szczękowo Twarzowej Szpitala Fatebenefratelli w Rzymie, jak i inni lekarze chirurdzy odradzili jej poddanie się jakimkolwiek zabiegom przeszczepiania tkanek kostnych.
Pacjentkę poinformowano, że jedyną metodą leczenia, która jej pozostała, jest zastosowanie wszczepu podokostnowego. Skierowano ją do Turynu, do dr. G. Cortese. Po analizie badania TK oraz modelu stereolitograficznego doktor G. Cortese zdecydował, że najbardziej odpowiednim wszczepem, który rozwiąże problemy pacjentki, będzie trzyczęściowy implant podokostnowy Linkowa. Zarówno zabieg chirurgiczny, jak i wykonanie ostatecznego uzupełnienia protetycznego przebiegły bez większych problemów (ryc. 23, 24).
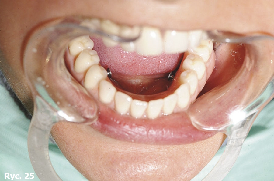
Po oddaniu protezy objawy depresji ustąpiły, pacjentka szybko straciła zbędne kilogramy. Nowe uzupełnienie protetyczne zostało zakotwiczone i wsparte na trzyczęściowym wszczepie podokostnowym. Dzięki temu było bardzo stabilne i jednocześnie łatwe do zdejmowania, koniecznego do codziennych zabiegów higienizacyjnych (ryc. 25, 26, 27)
Podsumowanie
Dzięki zastosowaniu tomografii komputerowej, trójwymiarowych modeli stereolitograficznych, drukarek 3D, urządzeń do zgrzewania laserowego jest możliwe przeprowadzenie pełnej symulacji etapu chirurgicznego leczenia (3), a w szczególności oceny stabilności wszczepów podokostnowych, jak też pasywności natychmiastowego uzupełnienia protetycznego, tak aby efekt ostateczny był absolutnie bezpieczny i przewidywalny. Pacjent (użytkujący całkowicie niestabilną protezę) zostaje przyjęty w godzinach porannych, a może wyjść w porze obiadowej zaopatrzony w stosunkowo stabilną protezę tymczasową. Oddanie ostatecznego uzupełnienia protetycznego następuje w ciągu od 15 do 20 dni od zabiegu, gdy tkanki miękkie się wygoją.
W niektórych przypadkach osadzenie ostatecznego uzupełnienia protetycznego jest możliwe tuż po zakończeniu implantacji, czasami jednak może zaistnieć potrzeba dodatkowego uszczelnienia protezy.
Wszystkie przytoczone argumenty dowodzą, iż technikę nieomal „szytych na miarę” wszczepów podokostnowych powinno się brać pod uwagę jako metodę z wyboru we wszystkich przypadkach rehabilitacji znacznych zaników kości zarówno w szczęce, jak i w żuchwie.
Przewidywalność zabiegu, mniejsze koszty dla pacjenta i lekarza, szybko osiągnięty efekt leczenia, obciążenie natychmiastowe, komfort pacjenta po zabiegu chirurgicznym, chirurgia jednego dnia, brak konieczności hospitalizacji są samymi plusami dla wszystkich pacjentów, niezależnie od wieku.
Na koniec dodam, iż starzejąca się populacja w krajach rozwiniętych, takich jak Stany Zjednoczone i państwa Europy, a nawet krajach Dalekiego Wschodu, jak Japonia czy Chiny, obejmuje miliony ludzi w podeszłym wieku, ze znacznym zanikiem kości szczęki bądź żuchwy. Wskaźnik ten jest kluczowym argumentem przemawiającym za finansowaniem i prowadzeniem badań nad materiałami niezbędnymi do implantacji podokostnowej.
PIŚMIENNICTWO
1. Cortese G., Moglioni E., Diotallevi P.: A tripodal mandibular subperiosteal implant. Spectrum Implants, 2015 6, 2, 46 51, Palmeri Publishing Co.
2. Loperfido C., Mesquida J., Lozada J.: Severe mandibular atrophy treated with a subperiosteal implant and simultaneous graft with 2hBMP 2 and mineralized allograft: a case report. J. Oral Implantol., 2014, 40, 6, 707 713.
3. Peckitt N.S.: Stereoscopic lithography and the manifacture of customized titanium implants in orofacial reconstruction. Br. J. Oral Maxillofac. Surg., 1999, 37, 5, 353 369.
Przekład z języka włoskiego – lek. dent. Joanna Wichrowska Gil
Adres do korespondencji:
Giancarlo Cortese, MD, DDS
Corso Sommelier 23
10128 Torino, Italia
e mail: cortese.gian@libero.it
www.giancarlocortese.it
Obecnie najczęstszą metodą leczenia zaawansowanych zaników tkanek twardych w szczęce lub w żuchwie są zabiegi regeneracji kości oraz przeszczepy kości. Jednak w niektórych przypadkach klinicznych, takich np. jak cukrzyca (1), zaburzenia metaboliczne, nowotwór, metody te nie mogą być wykorzystane. Często również sami pacjenci nie zgadzają się na wykonanie inwazyjnych zaawansowanych zabiegów odtwórczych z przyczyn osobistych, do których należą znaczne ograniczenia finansowe (2) lub trudny do opanowania strach.
Takich pacjentów nie można pozostawić z bardzo niestabilnymi ruchomymi uzupełnieniami protetycznymi. Lekarz jest zobowiązany do znalezienia nowocześniejszej metody zaopatrzenia braków zębowych. Uznaje się za oczywiste, że każdy pacjent po amputacji kończyny może się poruszać, gdy brakującą nogę zastąpi się starą drewnianą ortezą. Gdy zastosuje się natomiast jedną z najnowocześniejszych sztucznych biomechanicznych ortez kończyn dolnych, wówczas będzie mógł biegać, skakać, tańczyć lub nawet jeździć na nartach. Użytkowanie takiej protezy pozwoli mu na powrót do normalnego życia, uwalniając od jakiejkolwiek niepełnosprawności fizycznej i/lub psychicznej.
Jakość życia osób z zaawansowanym zanikiem tkanek twardych, korzystających z całkowicie niestabilnych protez zębowych można porównać do sytuacji, w jakiej znajdują się pacjenci po amputacji. Powodem tego stwierdzenia jest utrata funkcji jednego z podstawowych organów – jamy ustnej. Ten typ niepełnosprawności fizycznej staje się przyczyną narastających zaburzeń wymowy i żucia, prowadzących do niedożywienia i utraty masy ciała. Taki stan pacjenta niejednokrotnie jest powodem depresji i/lub odczuwania ciągłego niepokoju, a w konsekwencji może często wymagać specjalistycznej pomocy medycznej.
Konsekwencje bezzębia często uważa się za nieistotne lub nie są one diagnozowane, jeśli dotyczą osób w podeszłym wieku. Zjawisko to jako poważny problem jest postrzegane i traktowane jedynie przez grupę ludzi młodych i w wieku średnim, mających bogate życie towarzyskie i rodzinne, a w pracy częste kontakty z ludźmi.
Do niniejszego artykułu wybrałem grupę swoich pacjentek ze znacznym zanikiem podłoża kostnego, czujących się jak dotknięte trwałym kalectwem po utracie jednego z narządów. Żaden z przedstawionych przypadków nie mógł być zaopatrzony za pomocą przeszczepów kostnych.
W przedstawionych przypadkach zastosowano rehabilitację implantoprotetyczną, opartą na wszczepach obciążonych natychmiastowo uzupełnieniem stałym typu full arch, które od samego początku okazały się perfekcyjnie stabilne. U wszystkich pacjentek poddanych z sukcesem rehabilitacji omówioną metodą stwierdzono bardzo wyraźną poprawę samopoczucia, nie wspominając o radości towarzyszącej odzyskanej funkcji żucia.
Ten krótki artykuł rzuca ogólne światło na korzyści powstałe z wykonania stałej rekonstrukcji pełnego łuku zębowego z zastosowaniem wszczepów podokostnowych u pacjentek, dla których metoda ta była ostatnią deską ratunku. Odzyskanie pełnej satysfakcji z funkcjonowania, estetyki i komfortu nowego uzębienia zmieniło ich życie o 180 stopni.
Udowodnię w nim wyższość minimalnie inwazyjnych metod rehabilitacji z użyciem wszczepów podokostnowych nad typowymi metodami sterowanej regeneracji kości, poprzedzającej wszczepienie klasycznych implantów śródkostnych. Wysoka przewidywalność metody małoinwazyjnej, w połączeniu z natychmiastową odbudową pełnego łuku zębowego, zaspokaja w pełni oczekiwania funkcjonalne i estetyczne nawet najbardziej wymagających pacjentów.
OPIS PRZYPADKÓW
Przypadek 1
Zacznę od pacjentki w wieku 52 lat, ze starczym wyrazem twarzy (ryc. 1), od wielu lat silnie uzależnionej od nikotyny, użytkującej bardzo niestabilną protezę górną całkowitą. W ciągu ostatnich kilku lat utraciła wiele wszczepów, a niedawno poddała się zabiegowi obustronnego podniesienia dna zatoki szczękowej metodą otwartą, wraz z jednoczesnym wprowadzeniem wszczepów zębowych. Zabieg zakończył się jednak niepowodzeniem, gdy tylko osadzone mosty obciążono w zgryzie. Bezpośrednio po usunięciu mostów oraz wszczepów pacjentka została poddana rozległemu zabiegowi przeszczepu bloków kostnych, które nie wgoiły się i zostały usunięte.
Pacjentka sprawia wrażenie przygnębionej i podkreśla, że obecnie prowadzi zakonny tryb życia, stroniąc od jakichkolwiek kontaktów międzyludzkich z powodu nadmiernie luźnej i bardzo niestabilnej protezy górnej. Jedynym sposobem na wyraźną wymowę jest u niej wyjęcie protezy przed rozmową. Zdecydowanie sprzeciwia się poddaniu kolejnym zabiegom regeneracyjnym i wykonaniu przeszczepów kości. Wyniki badania TK oraz analiza modeli stereolitograficznych pacjentki ukazują katastrofalny zanik wyrostków zębodołowych szczęki (ryc. 2). Czerwona linia na sklepieniu podniebienia jest całkowicie płaska i wskazuje lokalizację prawidłowej okluzji centralnej, gdyby jeszcze istniał wyrostek zębodołowy, do którego byłoby możliwe wszczepienie implantów śrubowych.
Pacjentka wyraża zgodę na zabieg chirurgiczny, polegający na wprowadzeniu wszczepów podokostnowych, zdając sobie sprawę, że jest to ostatnia deska ratunku, umożliwiająca stabilne zakotwiczenie protezy wspartej na wszczepach. Po zabiegu implantacji dwie oddzielne siatki podokostnowe (ryc. 3) zostaną ze sobą połączone (ryc. 4). Podniesiony płat śluzówkowo okostnowy (ryc. 5) ukazuje zgodność anatomii tkanki kostnej z modelem stereolitograficznym. Pozabiegowe zdjęcie pantomograficzne (ryc. 6) obrazuje idealne połączenie między dwiema siatkami, umieszczonymi precyzyjnie na swoim miejscu. Mezostruktura (ryc. 7) jest odpowiednim podparciem dla docelowej protezy typu „U” (ryc. 8).
Wszczepy podokostnowe - przypadek 1 (ryciny)
Przypadek 2
Kobieta, lat 58. Bardzo szybko wyznała swój niepokój, brak pewności siebie i zazdrość o młodszego od niej, bardzo przystojnego męża, który jest dyrektorem banku i każdego dnia otaczają go młode, atrakcyjne sekretarki.
Głównym powodem dyskomfortu pacjentki była użytkowana przez nią całkowicie niestabilna proteza górna. Z powodu zaniku tkanek twardych w obrębie szczęki trzech różnych chirurgów szczękowo twarzowych proponowało jej zwiększenie ich objętości przez przeszczep bloków kostnych, a w kolejnym etapie wszczepienie w odbudowaną tkankę kostną odpowiedniej liczby implantów śrubowych, które staną się wsparciem dla mostu stałego odbudowującego pełny łuk zębowy. Pacjentka szczerze przyznała, że trzykrotnie odrzuciła taki plan leczenia nie ze względów finansowych (pieniądze nie były problemem), lecz z powodu silnego strachu przed opisanymi zabiegami chirurgicznymi. Równocześnie kobieta kategorycznie stwierdziła, że jeżeli nie otrzyma uzupełnienia protetycznego stałego, umożliwiającego satysfakcjonujące życie małżeńskie, wówczas na pewno popełni samobójstwo.
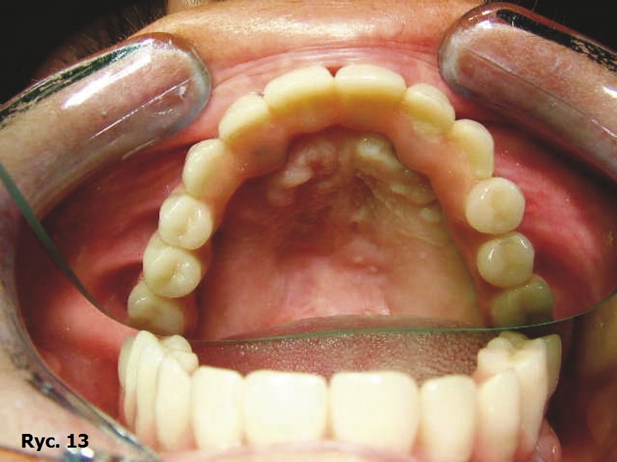
Wyniki badania TK oraz model stereolitograficzny pozwoliły na wykonanie dwóch oddzielnych siatek wszczepu podokostnowego w obrębie łuku górnego (ryc. 9), które zostały później wszczepione (ryc. 10) oraz połączone ze sobą, aby wspólnie przenosić siły żucia (ryc. 11), stanowiąc podparcie dla estetycznego uzupełnienia protetycznego stałego (ryc. 12, 13). Zabieg chirurgiczny przebiegł bez powikłań. Przysłana z Karaibów kartka pocztowa z trzema słowami „drugi miesiąc miodowy” potwierdziła, że cała wykonana przez lekarza praca zakończyła się sukcesem.
Wszczepy podokostnowe - przypadek 2 (ryciny)
Przypadek 3
Pacjentka, w wieku 67 lat, całkowicie niezadowolona z użytkowania bardzo niestabilnej górnej protezy całkowitej. Uzyskano informację, że w przeszłości próbowano ją namówić na przeszczep kości, który miał umożliwić wszczepienie implantów, niezbędnych do osadzenia protezy stałej typu full arch. Plan przeszczepienia kości spotkał się z jej zdecydowaną odmową. W jednym z gabinetów szczegółowo wyjaśniono pacjentce również, na czym polega zabieg wszczepienia siatek podokostnowych oraz osadzenia stałego uzupełnienia protetycznego typu full arch. Pacjentka natychmiast poprosiła o zaopatrzenie bezzębia za pomocą podokostnowych wszczepów siatkowych.
Obrazy TK oraz modele stereolitograficzne ukazują wysoki stopień zaniku tkanek twardych szczęki. Z tego powodu wykonano projekt wszczepu podokostnowego full arch (ryc. 14), który odlano z 5. gatunku tytanu (ryc. 15) i wszczepiono. Zabieg odbył się bez powikłań (ryc. 16). Leczenie zakończyło się wykonaniem i oddaniem protezy stałej full arch typu all on four, która w pełni zaspokaja estetyczne oraz funcjonalne oczekiwania pacjentki (ryc. 17, 18, 19, 20, 21).
Wszczepy podokostnowe - przypadek 3 (ryciny)
Przypadek 4
Pacjentka, w wieku 40 lat, cierpiąca od piątego roku życia na cukrzycę insulinozależną, utraciła wszystkie zęby. Z powodu zaawansowanego zaniku tkanki kostnej, ostatnie protezy, zwłaszcza dolna, były bardzo niestabilne.
Ze względu na wielkość zaniku tkanek twardych oraz typ i stopień zaawansowania cukrzycy, zarówno specjaliści z Oddziału Chirurgii Szczękowo Twarzowej Szpitala Fatebenefratelli w Rzymie, jak i inni lekarze chirurdzy odradzili jej poddanie się jakimkolwiek zabiegom przeszczepiania tkanek kostnych.
Pacjentkę poinformowano, że jedyną metodą leczenia, która jej pozostała, jest zastosowanie wszczepu podokostnowego. Skierowano ją do Turynu, do dr. G. Cortese. Po analizie badania TK oraz modelu stereolitograficznego doktor G. Cortese zdecydował, że najbardziej odpowiednim wszczepem, który rozwiąże problemy pacjentki, będzie trzyczęściowy implant podokostnowy Linkowa. Zarówno zabieg chirurgiczny, jak i wykonanie ostatecznego uzupełnienia protetycznego przebiegły bez większych problemów (ryc. 23, 24).
Po oddaniu protezy objawy depresji ustąpiły, pacjentka szybko straciła zbędne kilogramy. Nowe uzupełnienie protetyczne zostało zakotwiczone i wsparte na trzyczęściowym wszczepie podokostnowym. Dzięki temu było bardzo stabilne i jednocześnie łatwe do zdejmowania, koniecznego do codziennych zabiegów higienizacyjnych (ryc. 25, 26, 27)
Wszczepy podokostnowe - przypadek 4 (ryciny)
Podsumowanie
Dzięki zastosowaniu tomografii komputerowej, trójwymiarowych modeli stereolitograficznych, drukarek 3D, urządzeń do zgrzewania laserowego jest możliwe przeprowadzenie pełnej symulacji etapu chirurgicznego leczenia (3), a w szczególności oceny stabilności wszczepów podokostnowych, jak też pasywności natychmiastowego uzupełnienia protetycznego, tak aby efekt ostateczny był absolutnie bezpieczny i przewidywalny. Pacjent (użytkujący całkowicie niestabilną protezę) zostaje przyjęty w godzinach porannych, a może wyjść w porze obiadowej zaopatrzony w stosunkowo stabilną protezę tymczasową. Oddanie ostatecznego uzupełnienia protetycznego następuje w ciągu od 15 do 20 dni od zabiegu, gdy tkanki miękkie się wygoją.
W niektórych przypadkach osadzenie ostatecznego uzupełnienia protetycznego jest możliwe tuż po zakończeniu implantacji, czasami jednak może zaistnieć potrzeba dodatkowego uszczelnienia protezy.
Wszystkie przytoczone argumenty dowodzą, iż technikę nieomal „szytych na miarę” wszczepów podokostnowych powinno się brać pod uwagę jako metodę z wyboru we wszystkich przypadkach rehabilitacji znacznych zaników kości zarówno w szczęce, jak i w żuchwie.
Przewidywalność zabiegu, mniejsze koszty dla pacjenta i lekarza, szybko osiągnięty efekt leczenia, obciążenie natychmiastowe, komfort pacjenta po zabiegu chirurgicznym, chirurgia jednego dnia, brak konieczności hospitalizacji są samymi plusami dla wszystkich pacjentów, niezależnie od wieku.
Na koniec dodam, iż starzejąca się populacja w krajach rozwiniętych, takich jak Stany Zjednoczone i państwa Europy, a nawet krajach Dalekiego Wschodu, jak Japonia czy Chiny, obejmuje miliony ludzi w podeszłym wieku, ze znacznym zanikiem kości szczęki bądź żuchwy. Wskaźnik ten jest kluczowym argumentem przemawiającym za finansowaniem i prowadzeniem badań nad materiałami niezbędnymi do implantacji podokostnowej.
PIŚMIENNICTWO
1. Cortese G., Moglioni E., Diotallevi P.: A tripodal mandibular subperiosteal implant. Spectrum Implants, 2015 6, 2, 46 51, Palmeri Publishing Co.
2. Loperfido C., Mesquida J., Lozada J.: Severe mandibular atrophy treated with a subperiosteal implant and simultaneous graft with 2hBMP 2 and mineralized allograft: a case report. J. Oral Implantol., 2014, 40, 6, 707 713.
3. Peckitt N.S.: Stereoscopic lithography and the manifacture of customized titanium implants in orofacial reconstruction. Br. J. Oral Maxillofac. Surg., 1999, 37, 5, 353 369.
Przekład z języka włoskiego – lek. dent. Joanna Wichrowska Gil