Odbudowy kompozytowe jako alternatywa leczenia ortodontycznego – fotoreportaż kliniczny

Odbudowy kompozytowe jako alternatywa leczenia ortodontycznego – fotoreportaż kliniczny
Daniel Bieszczad

W  pracy opisano dwa przypadki zamknięcia przestrzeni międzyzębowych z użyciem kompozytu zamiast stosowanego standardowo leczenia ortodontycznego.
 
 Bieszczad
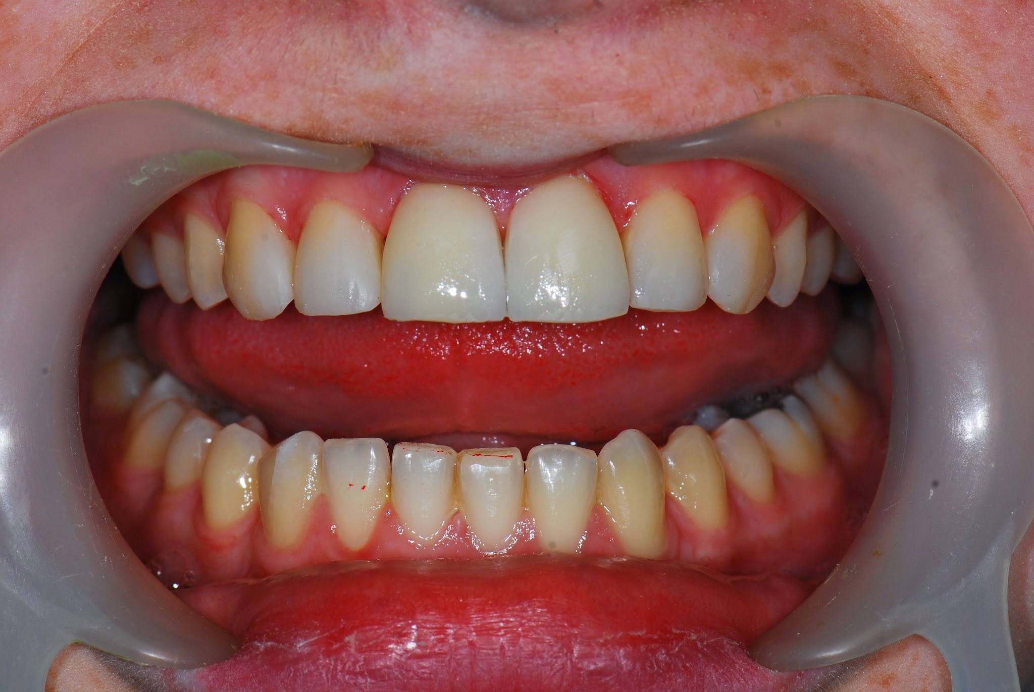
Widok po zakończonej odbudowie; pozostawiono ostre kąty, które bardzo przypadły do gustu pacjentce.


Composite restorations as an alternative to orthodontic treatment – clinical photo report
The study describes two cases of closure of interdental spaces using composite instead of standard orthodontic treatment.
 
 Artykuł ukazał się w nr. 3/2015 MS