Leczenie przebarwionego zęba 11 z żywą miazgą po wcześniejszym urazie
Nicolò Barbera
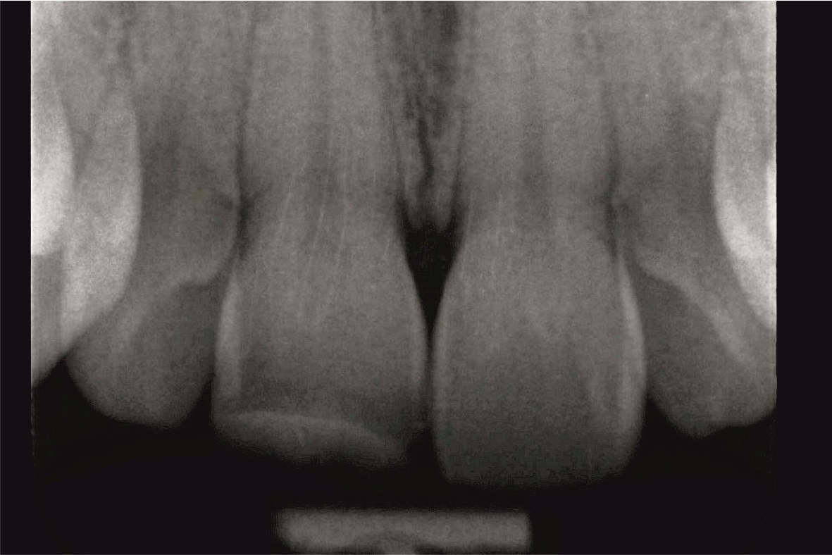
30-letni pacjent bez istotnego wywiadu medycznego zgłosił się w celu wymiany rekonstrukcji kompozytowej wykonanej przed 10 laty po doznanym wówczas urazie zęba 11. Ząb ten w badaniu klinicznym reagował na test żywotności i nie wykazywał zmian okołowierzchołkowych na zdjęciu rentgenowskim wykonanym w dniu badania (ryc. 1).

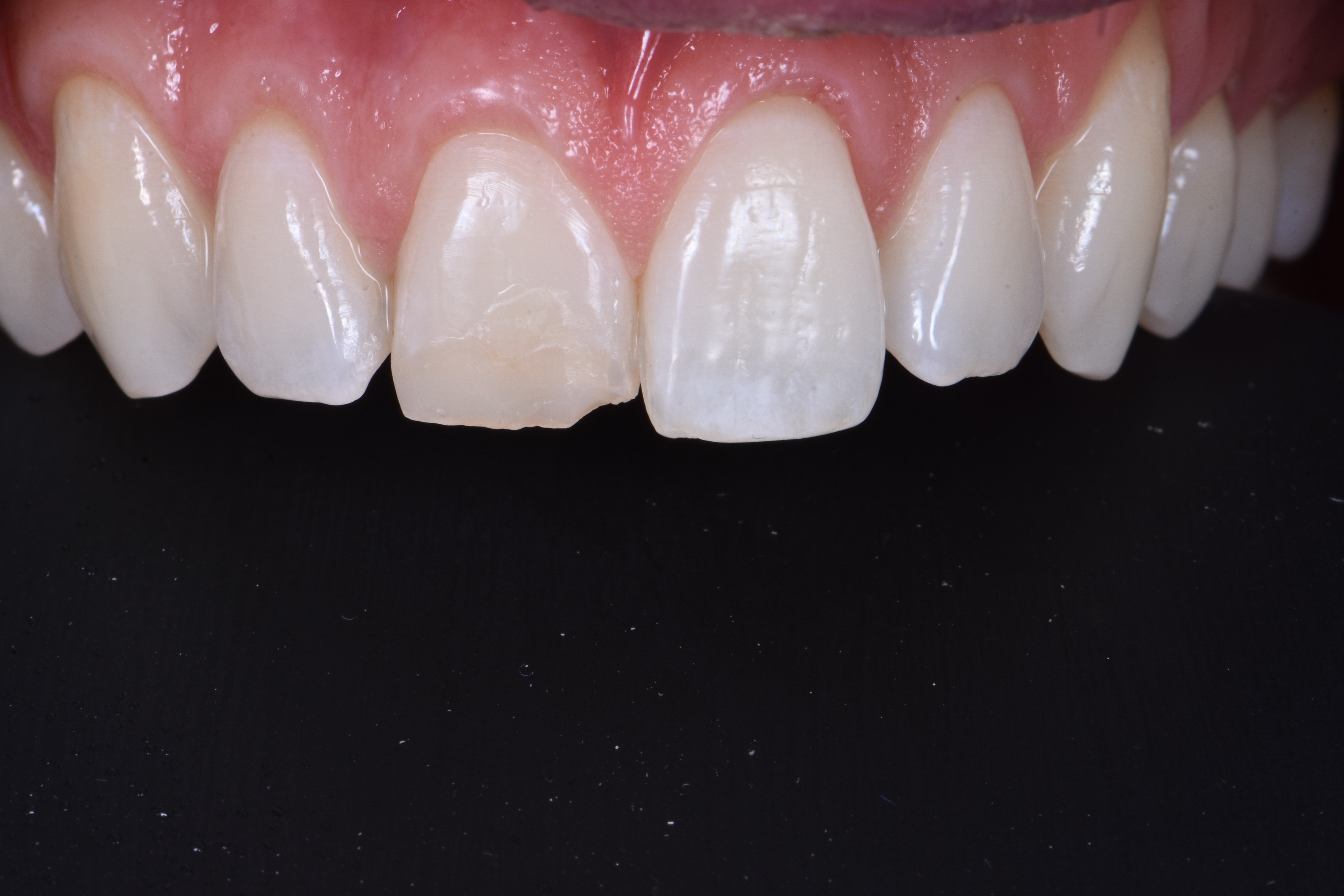
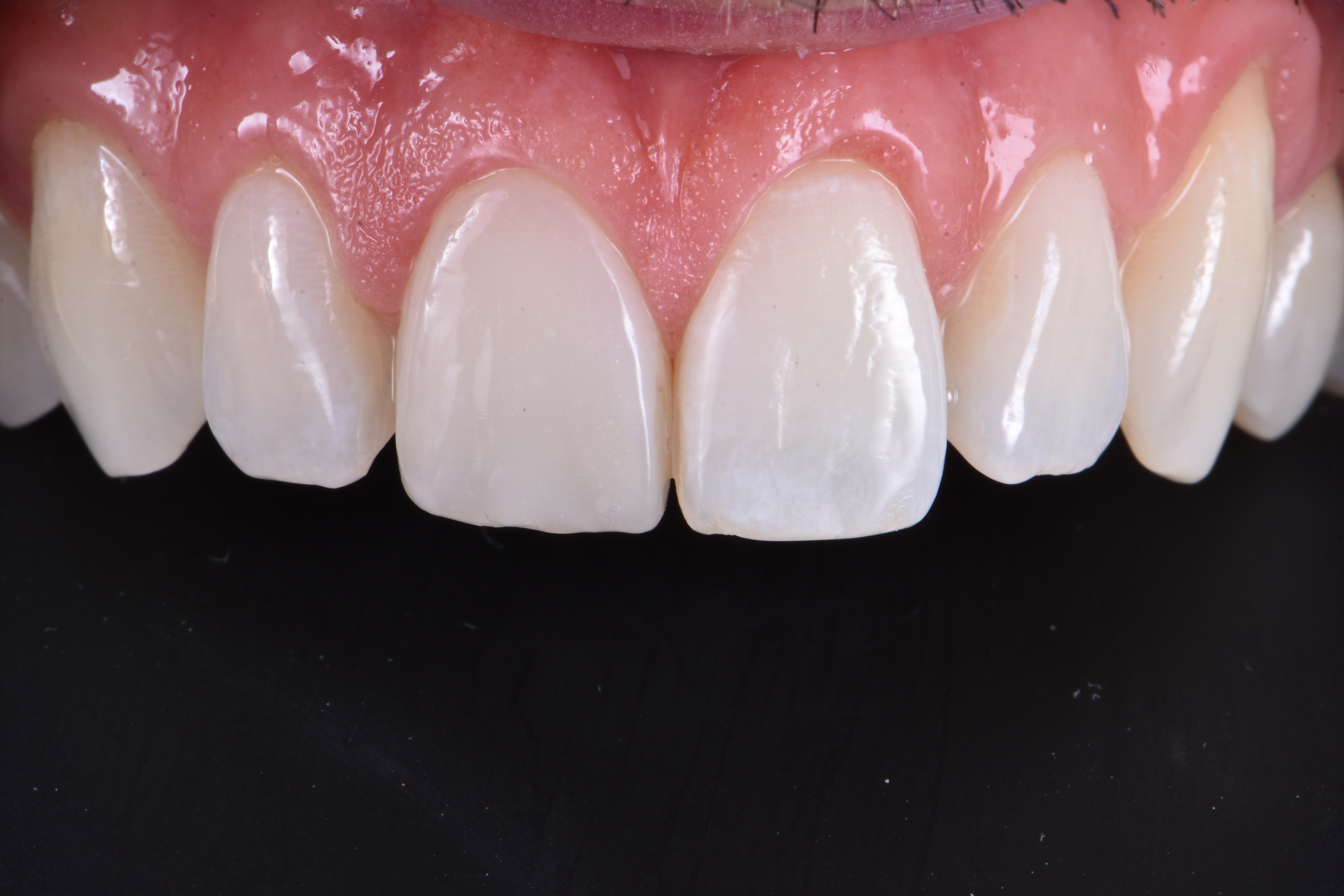
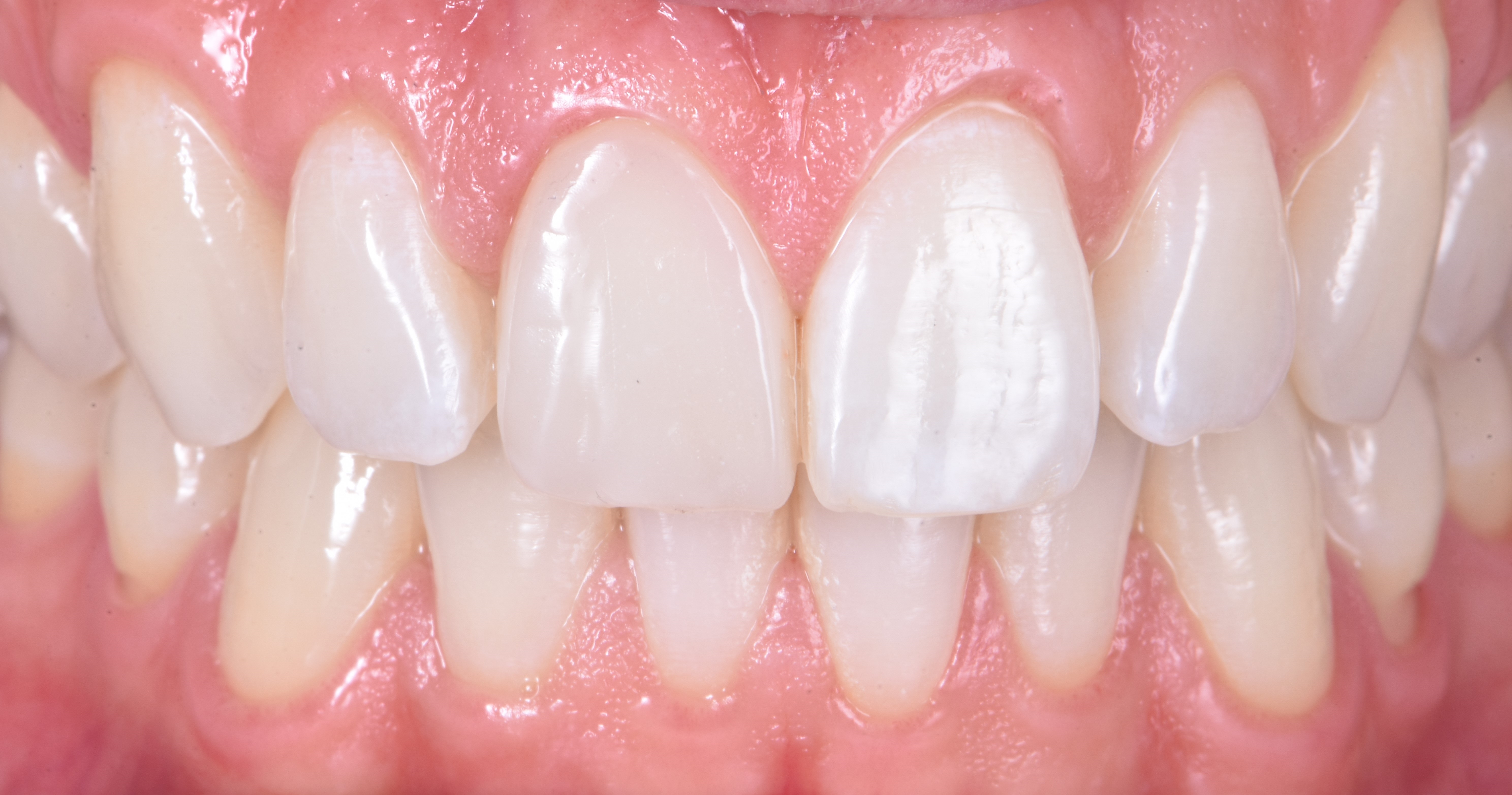
Korona zęba 11 była przebarwiona i ustawiona bardziej podniebiennie w porównaniu z koroną zęba sąsiedniego, tj. zęba 21 (ryc. 2).

Analiza estetyczna wykazała asymetrię położenia zenitów dziąsła między zębami 11 i 21. Po wykonaniu znieczulenia, z użyciem sondy periodontologicznej potwierdzono zaburzone bierne wyrzynanie typu 1A według klasyfikacji Cosleta i wsp. (1).

Aby leczenie odtwórcze było jak najbardziej zachowawcze, biorąc pod uwagę wiek pacjenta oraz fakt, że ząb posiadał żywa miazgę, zdecydowano się na wykonanie bezpośredniej odbudowy kompozytowej. W tym celu przygotowano plan leczenia wykonując diagnostyczny model z wosku (wax-up).
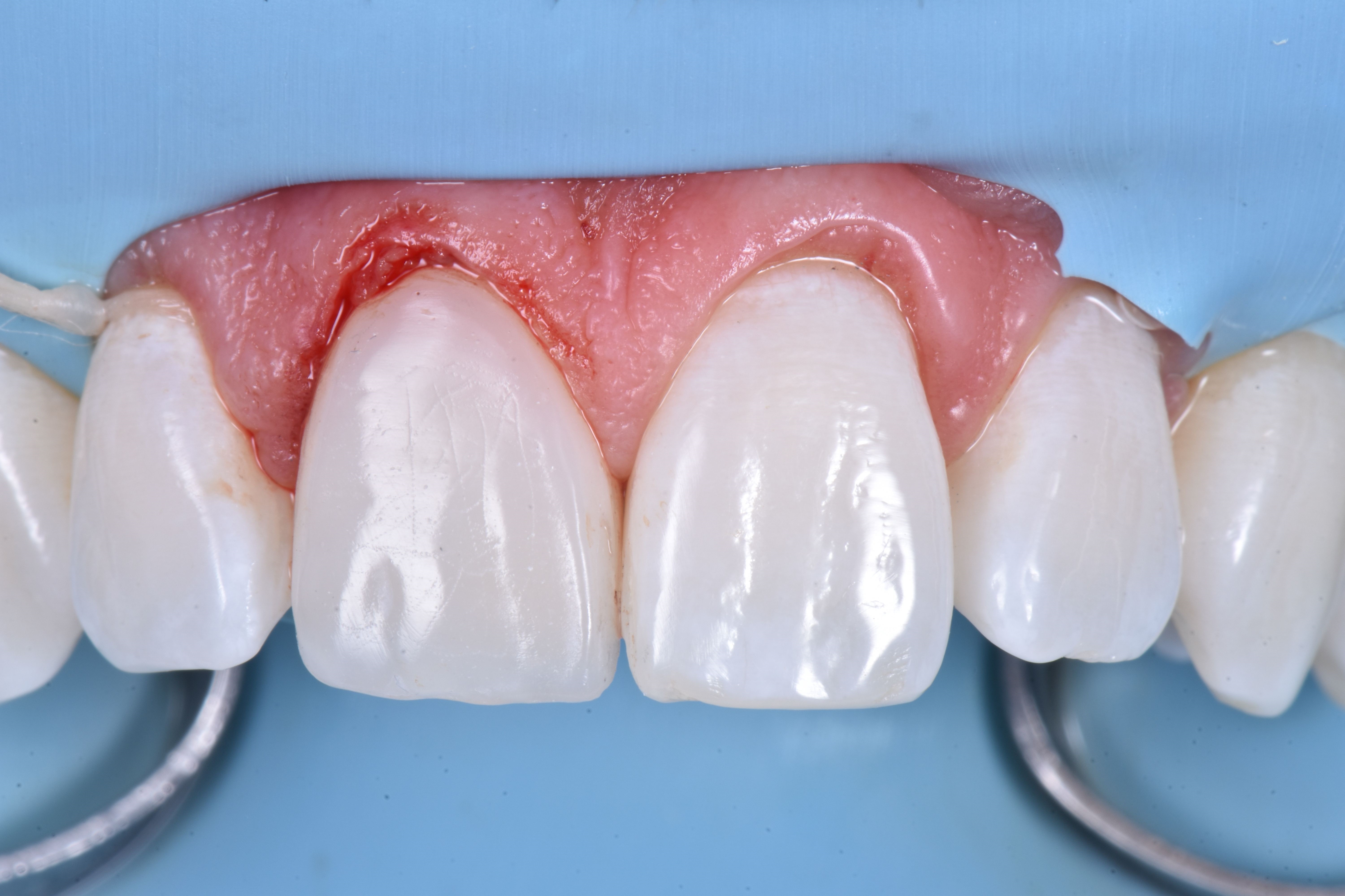
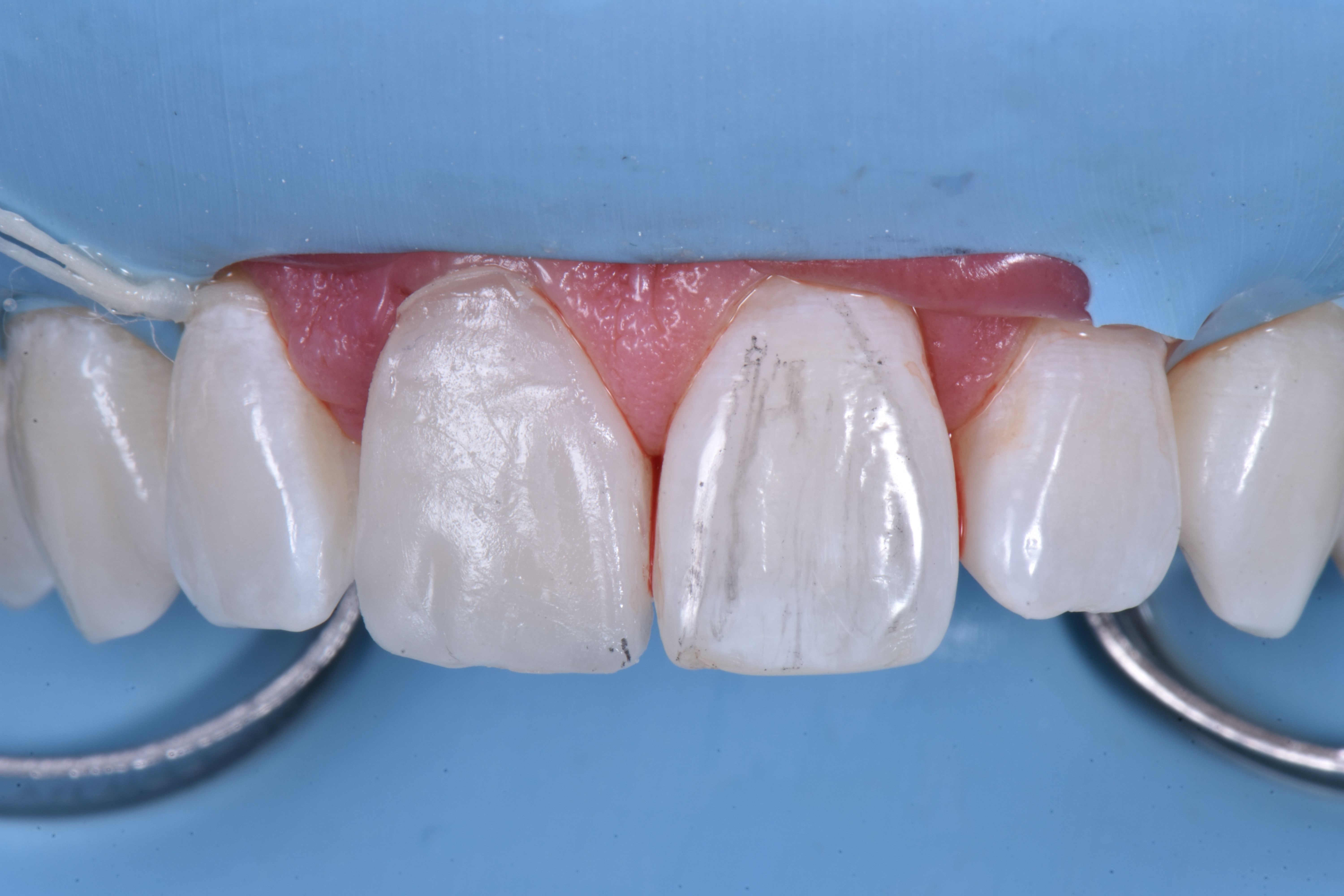
W dniu zabiegu, po wykonaniu miejscowego znieczulenia, ząb 11 odizolowano za pomocą koferdamu, rozszerzając izolację na pierwsze zęby przedtrzonowe (ryc. 4).

Następnie usunięto pękniętą rekonstrukcję kompozytową i wykonano niewielkie zukośnienie, a całą powierzchnię zęba 11 wypiaskowano tlenkiem glinu w proszku 27 μm (ryc. 5).

W celu skorygowania zaburzonego biernego wyrzynania zdecydowano się odtworzyć profil wyłaniania poprzez zaakcentowanie wypukłości przedsionkowej, dążąc do upodobnienia go do zęba sąsiedniego.
W tym celu zastosowano wstępnie uformowaną metalową formówkę, którą ufiksowano dwoma klinami.

Przedsionkowy profil wyłaniania odtworzono kompozytem w odcieniu szkliwa (ESTELITE ASTERIA WE firmy TOKUYAMA DENTAL) (ryc. 7).
Z użyciem silikonowego indeksu diagnostycznego wykonanego na podstawie modelu wax-upu rekonstrukcję ściany od strony podniebiennej kompozytem w odcieniu szkliwa (ESTELITE ASTERIA WE firmy TOKUYAMA DENTAL) (ryc. 8).

Następnie zrekonstruowano anatomię zębiny poprzez odtworzenie mamelonów przy użyciu opakerowego odcienia kompozytu do zębiny (ESTELITE SIGMA QUICK OA2 firmy TOKUYAMA DENTAL); odcień ten miał również zasadnicze znaczenie dla skorygowania odcienia przebarwionej korony (ryc. 9).

Jasnoniebieskie i białe odcienie (ESTELITE COLOR firmy TOKUYAMA DENTAL) zastosowano w celu odtworzenia opalescencji w obszarze siecznym (ryc. 10).

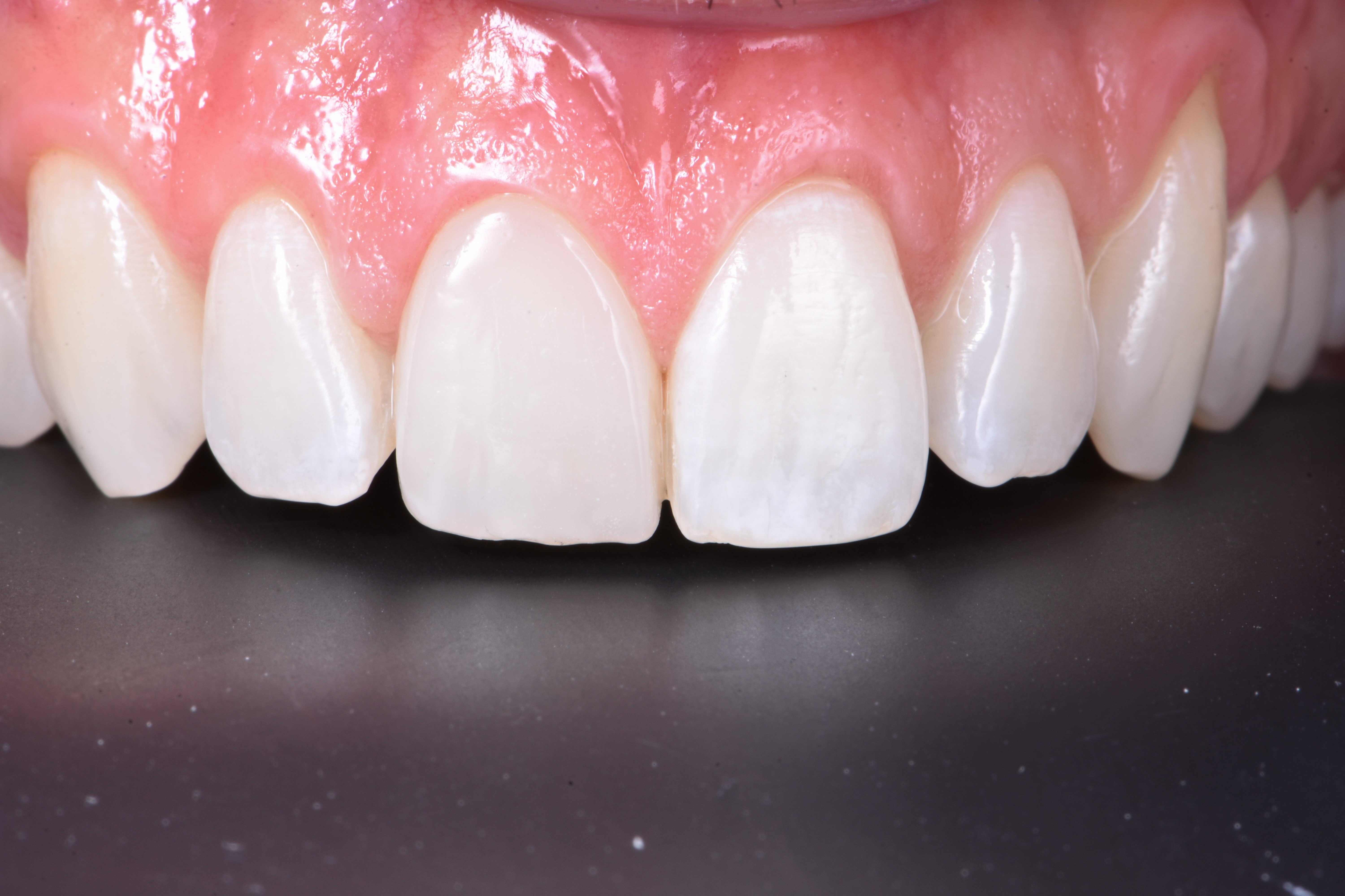
Odbudowę uzupełniono poprzez zastosowanie odcienia szkliwnego (ESTELITE ASTERIA WE firmy TOKUYAMA DENTAL) w postaci jednej warstwy. Powierzchnię przedsionkową wymodelowano i skontrolowano w każdym wymiarze, aby jak najmniej trzeba było ostatecznie korygować. Następnie spolimeryzowano w ciągu 20 sekund, a potem przez 40 sekund od strony przedsionkowej i podniebiennej po pokryciu żelem glicerynowym w celu uniknięcia powstania warstwy inhibicji tlenowej kompozytu (ryc. 11).



Dr Nicolò Barbera
Adiunkt na Wydziale Kariologii i Endodoncji Uniwersytetu Genewskiego
Prywatna praktyka kliniczna w Lozannie
Piśmiennictwo:
- Coslet JG, Vanarsdall R, Weisgold A. Diagnosis and classification of delayed passive eruption of the dentogingival junction in the adult. Alpha Omegan 1977 Dec;70(3):24-8.