Diagnostyka resorpcji zewnętrznej drugiego zęba trzonowego

Diagnostyka resorpcji zewnętrznej  drugiego zęba trzonowego

Dostęp do tego artykułu jest płatny.
Zapraszamy do zakupu!

Cena: 24.00 PLN (z VAT)

Po dokonaniu zakupu artykuł w postaci pliku PDF prześlemy bezpośrednio pod twój adres e-mail.

Kup artykuł
MS 2024; 4: 8-19.

STUDIA PRZYPADKÓW
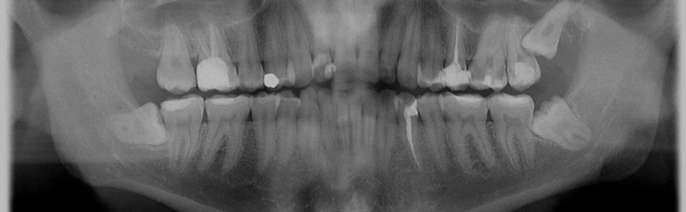
Diagnostyka resorpcji zewnętrznej drugiego zęba trzonowego wywołanej mezjalnokątowo zatrzymanym trzecim zębem trzonowym

Diagnosis of external resorption of the second molars caused by amesiangular impacted third molar

Bartosz Kuczko, Sabina Wojciechowska, Marzena Dominiak, Jakub Hadzik

Streszczenie
Dolne, jak i górne trzecie zęby trzonowe są zębami, które najczęściej ulegają zatrzymaniu. Podjęcie decyzji o ekstrakcji bezobjawowego trzeciego zęba trzonowego może sprawiać trudności. Powszechnie wykonywane zdjęcie pantomograficzne może nie ujawniać toczącej się resorpcji zewnętrznej korzenia zęba siódmego. Celem pracy jest przedstawienie na podstawie piśmiennictwa i opisów przypadków diagnostyki radiologicznej resorpcji zewnętrznej zęba trzonowego, spowodowanej przez zatrzymanego bezobjawowego zęba trzeciego trzonowego.

Abstract
Maxillar and mandibular third molars are the teeth that are the most often impacted. Decision regarding extraction of asymptomatic impacted third molar is sometimes difficult. Acommon pantomographic radiograph may not reveal the ongoing external root resorption of the second molar. The aim of the present study was to assess the incidence and risk factors of external root resorption in second molars with mesially and horizontally impacted mandibular third molars, determining treatment procedure and showing our own cases.

Hasła indeksowe: trzeci ząb trzonowy, zęby zatrzymane, resorpcja zewnętrzna korzenia, analiza radiologiczna

Key words: third molar, impacted teeth, external root resorption, radiographic analysis

Piśmiennictwo

  1. Matzen LH, Schropp L, Spin-Neto R i wsp. Radiographic signs of pathology determining removal of an impacted mandibular third molar assessed in a panoramic image or CBCT. Dentomaxillofac Radiol. 2017;46(1):20160330.

  2. Santosh P. Impacted Mandibular Third Molars: Review of Literature and a Proposal of a Combined Clinical and Radiological Classification. Ann Med Health Sci Res. 2015;5(4): 229-234.

  3. Ghaeminia H, Nienhuijs ME, Toedtling V i wsp. Surgical removal versus retention for the management of asymptomatic disease-free impacted wisdom teeth. Cochrane Database Syst Rev. 2020;5(5): CD003879.

  4. Synan W, Stein K. Management of Impacted Third Molars. Oral Maxillofac Surg Clin North Am. 2020;32(4):519-559.

  5. Moreira-Souza L, Butini Oliveira L, Gaêta-Araujo H i wsp. Comparison of CBCT and panoramic radiography for the assessment of bone loss and root resorption on the second molar associated with third molar impaction: a systematic review. Dentomaxillofac Radiol. 2022;51(3):20210217.

  6. Kowalczyk K, Wójcicka A, Iwanicka-Grzegorek E. Resorpcja zewnętrzna twardych tkanek zęba i kości wyrostka zębodołowego – patomechanizm powstawania. Nowa Stomatol. 2011; 4:170-174.

  7. Hermann L, Nørholt SE, Wenzel A i wsp. Does cone beam CT change the treatment decision for maxillary second and third molars? A prospective study. Dentomaxillofacial Radiol. 2022; 52(7): 20230128.

  8. Gürses G, Akçakaya A, Aktı A i wsp. The effect of impacted third molars on second molar external root resorption, a cross-sectional cone beam computed tomography study. Med Oral Patol Oral Cir Bucal. 2023; 28(6):e504-e511.

  9. Hnitecka S, Dominiak M. Autotransplantacja vs. ekstrakcja z augmentacją – możliwości, wskazania i przeciwwskazania u młodocianych pacjentów.  PTS Case Study Club. Online: https://pts.net.pl/autotransplantacja-vs-ekstrakcja-z-augmentacja-mozliwosci-wskazania-i-przeciwwskazania-u-mlodocianych-pacjentow/ [dostęp: 18.03.2024].

  10. Machado LA, Nascimento RR, Ferreira DMTP i wsp. Long-term prognosis of tooth autotransplantation: a systematic review and meta-analysis. Int J Oral Maxillofac Surg. 2016; 45(5): 610-617.

  11. Wang D, He X, Wang Y i wsp. External root resorption of the second molar associated with mesially and horizontally impacted mandibular third molar: evidence from cone beam computed tomography. Clin Oral Investig. 2017;21(4):1335-1342.

poprzedni artykuł