MS 2021; 2: 72-75.
Czy można łuk zębowy zaplanować cyfrowo tylko na podstawie pomiaru szerokości zęba siecznego
przyśrodkowego szczęki?
Jest to bardzo dobre pytanie w dobie dynamicznego rozwoju medycyny estetycznej, a szczególnie stomatologii estetycznej. Wiele wytycznych w tej dziedzinie odnosi się właśnie do pomiarów wzajemnych relacji długości i szerokości zębów, a także proporcji występujących między poszczególnymi zębami, szczególnie przednimi. Odpowiednie proporcje zębów, ich wielkość i kształt mają istotne znaczenie w analizie uśmiechu przed leczeniem oraz w planowaniu kompleksowego leczenia stomatologicznego, obejmującego zabiegi w zakresie stomatologii zachowawczej, ortodoncji i protetyki. W ostatnich latach lekarze stomatolodzy i technicy dentystyczni korzystają dodatkowo z nowoczesnych programów komputerowych do projektowania uśmiechu. Podczas planowania ustawienia zębów, ich kształtu i wielkości analizuje się również proporcje twarzy, ekspozycję zębów podczas mowy i uśmiechu.
Uważam, że do zaprojektowania łuków zębowych nie wystarczy pomiar szerokości przyśrodkowego zęba siecznego. Utworzenie łuku zębowego wymaga analizy wielu indywidualnych danych charakterystycznych dla każdego pacjenta. Korzystanie z wiedzy na temat matematycznych proporcji zębów, na przykład wzajemnych zależności szerokości zębów siecznych górnych, nie jest jedynym parametrem, który powinien być brany pod uwagę. Trzeba również uwzględnić choćby taki detal, że na przykład ząb sieczny górny boczny charakteryzuje się bardzo dużą zmiennością anatomiczną, przez co proporcje siekaczy nie zawsze odpowiadają średnim wartościom matematycznym podawanym w literaturze. Ponadto mogą istnieć różnice dotyczące proporcji zębów w zależności od płci (1‑3). Do zbudowania łuku zębowego istotne znaczenie ma również odległość międzykłowa i pozycja kłów, ustawienie zębów trzonowych, głównie pierwszych. Przede wszystkim jednak należy brać pod uwagę bazę kostną tworzącą podstawę łuku zębowego w szczęce i żuchwie. Może się zdarzyć, że u pacjenta pomiary dotyczące szerokości zębów spełniają geometryczne kryteria proporcji zębów siecznych, ale zęby są zbyt drobne w stosunku do podstaw kostnych. Takim przykładem jest prezentowana pacjentka.
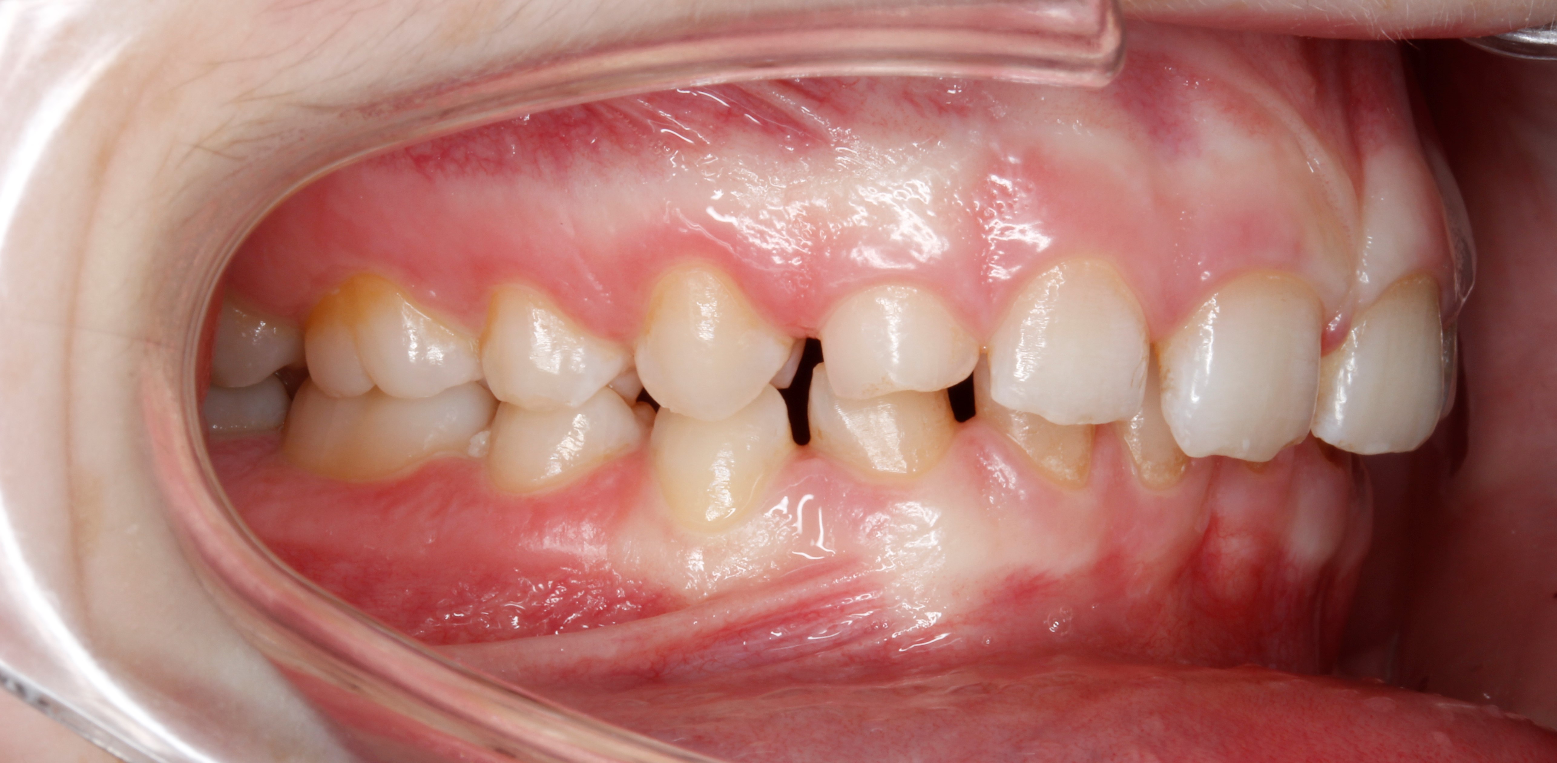
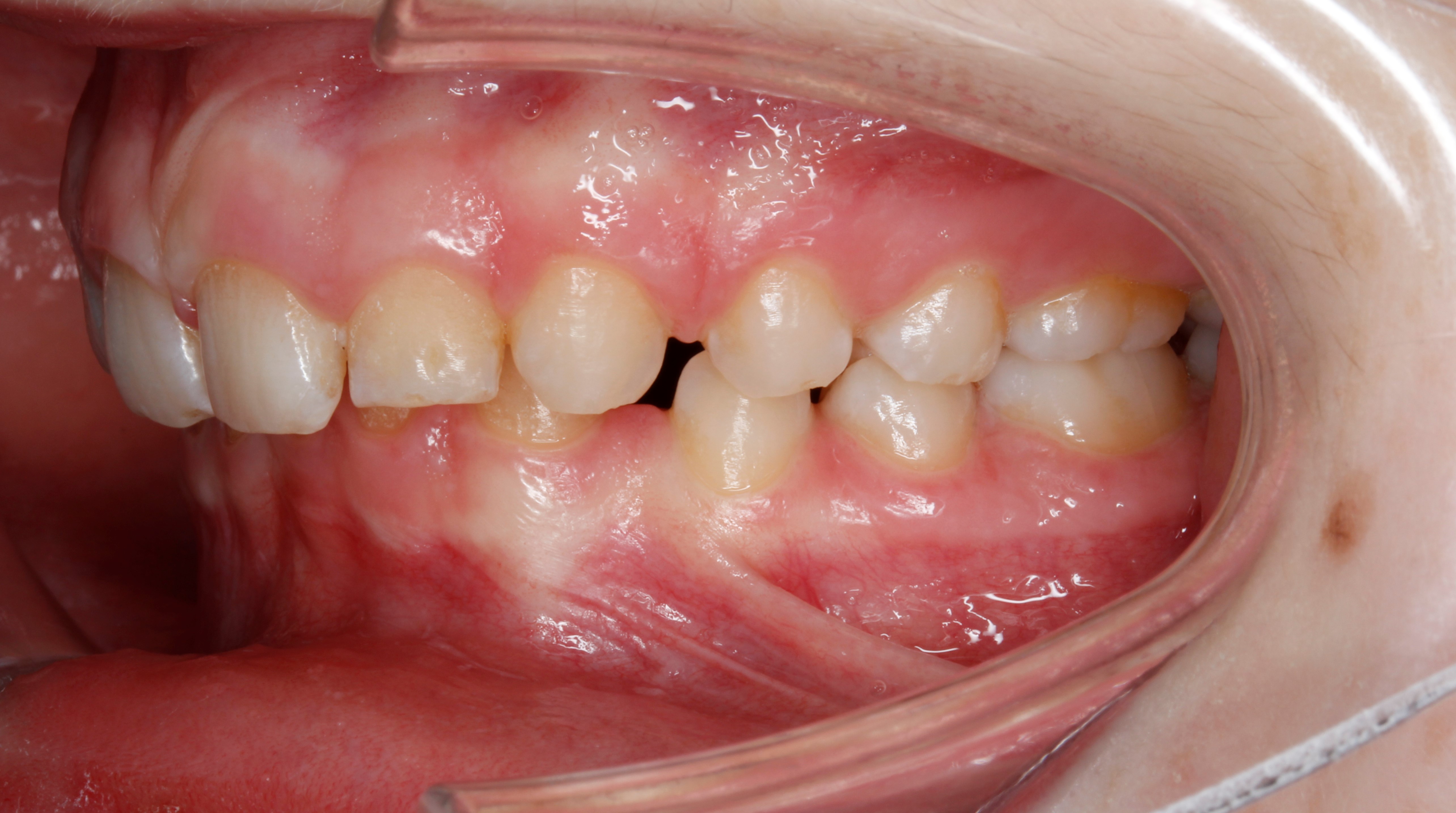
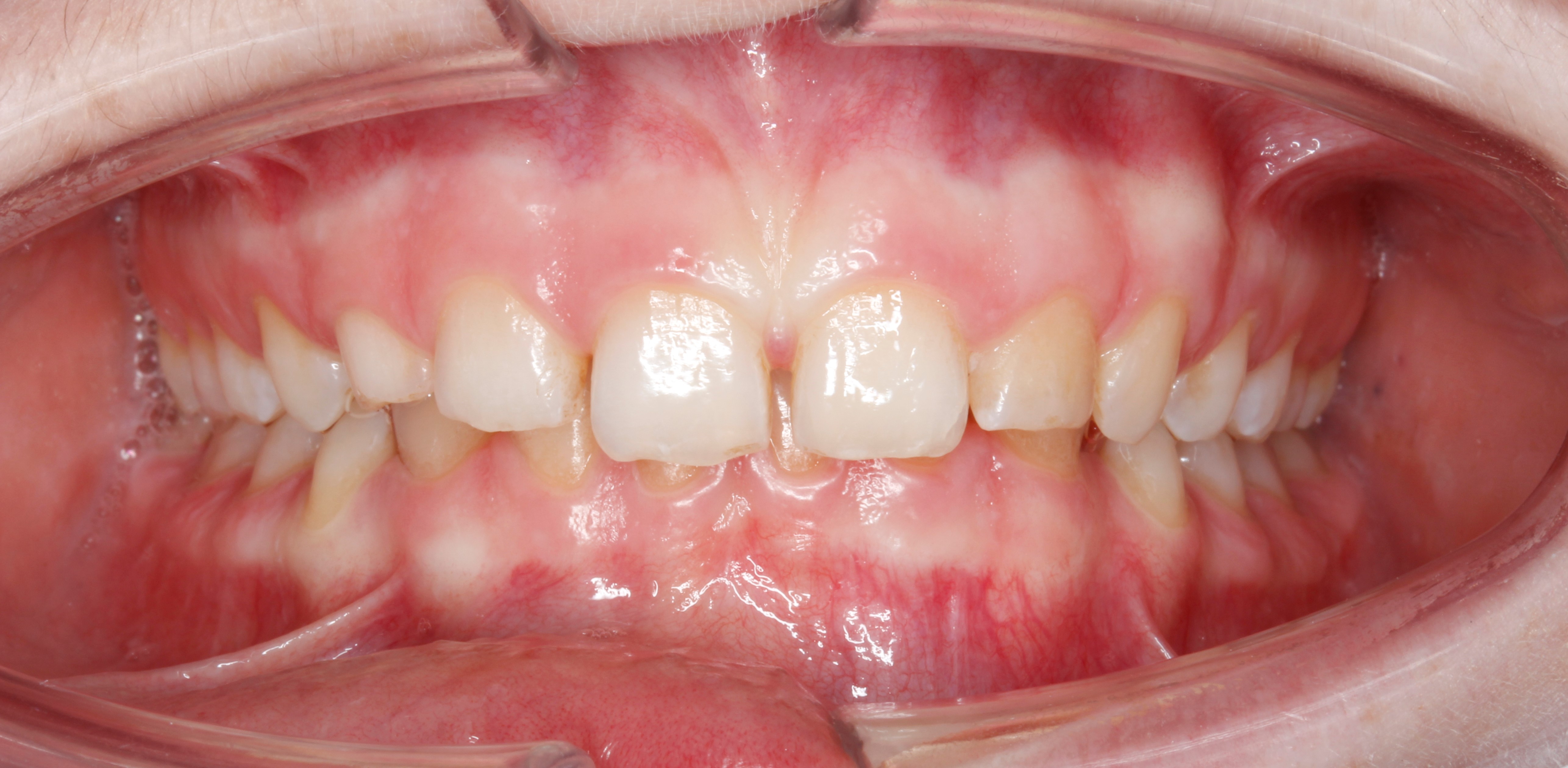
Młoda kobieta podczas uśmiechu eksponuje zęby górne, które, jak widać na rycinie 1, są bardzo drobne, choć proporcje zębów siecznych górnych są zachowane. Zęby pacjentki nie mają szerokości wystarczającej do zbudowania prawidłowego łuku zębowego na istniejących podstawach kostnych szczęki i żuchwy, dlatego pomiędzy zębami występują szpary i nie ma prawidłowych punktów stycznych. Analiza profilu i cefalometryczna tej pacjentki wykazała drugą klasę szkieletową. Wskazane jest zatem leczenie ortodontyczne, jednak nie może zostać ono zakończone zamknięciem przestrzeni międzyzębowych, ponieważ zęby są zbyt drobne i nie byłoby możliwe uzyskanie łuku zębowego górnego o odpowiedniej szerokości i kształcie, umożliwiającym prawidłowe położenie żuchwy w pierwszej klasie szkieletowej. Widać także strome ustawienie zębów siecznych, głębokie zachodzenie zębów siecznych, zatem w leczeniu ortodontycznym niezbędne będzie też uzyskanie odpowiedniego wychylenia zębów siecznych górnych. Relacja kłów również nie jest prawidłowa, w obrębie pierwszych zębów trzonowych występuje II klasa Angle’a – ryciny 2a, 2b, 2c.
Ryc. 1. Eksponowanie zębów podczas uśmiechu.
a
b
c
Ryc. 2. Łuki zębowe w maksymalnym zaguzkowaniu: a) widok z przodu; b) strona prawa; c) strona lewa.
Na modelach zamontowanych w artykulatorze można również przeprowadzić analizę kontaktów międzyzębowych w pozycji referencyjnej – ryciny 3a, 3b, 3c. Na rycinach 4a i 4b widać dokładnie, że zęby
są zbyt drobne w stosunku do podstaw kostnych. W tym przypadku leczenie ortodontyczne powinno być prowadzone bardzo rozważnie, a po jego zakończeniu trzeba będzie zaplanować zmianę szerokości i wysokości zębów pacjentki na podstawie diagnostycznego nawoskowania w artykulatorze. Po stronie prawej w górnym łuku zębowym został usunięty przetrwały mleczny kieł, ząb stały zostanie sprowadzony w toku leczenia chirurgiczno‑ortodontycznego.
a
b
c
Ryc. 3. Modele zębów w pozycji referencyjnej zamontowane w artykulatorze: a) widok z przodu; b) strona prawa; c) strona lewa.
a
b
Ryc. 4. Łuki zębowe: a) górny łuk zębowy; b) dolny łuk zębowy.
Zatem, aby zbudować prawidłowy łuk zębowy, powinno się wziąć pod uwagę również wzajemne relacje zębów w obu łukach zębowych. Ważne jest uzyskanie prawidłowego zachodzenia zębów siecznych górnych na dolne, ustawienie kłów w I klasie, podobnie uzyskanie I klasy Angle’a w obrębie pierwszych zębów trzonowych i oczywiście prawidłowe zaguzkowanie wszystkich zębów. Nie jest przypadkiem, że pierwszy ząb trzonowy górny jako największy ząb w szczęce znajduje się nieco poniżej grzebienia jarzmowo‑zębodołowego. Grzebień ten, jak słup kostny biegnie od wyrostka jarzmowego szczęki ku dołowi w kierunku pierwszego zęba trzonowego, usztywnia i wzmacnia cienką ścianę zatoki szczękowej, stanowiąc silną podporę dla przenoszenia sił żucia na kość jarzmową (4). Badając pacjenta można zlokalizować palpacyjnie tę strukturę kostną w postaci zgrubienia w sklepieniu przedsionka i traktować to miejsce jako najlepszą pozycję dla pierwszego zęba trzonowego na przykład w leczeniu ortodontycznym.
Odpowiednia wysokość zębów wpływa na pionowy wymiar dolnego odcinka twarzy. Na przykład u prezentowanej pacjentki ten wymiar jest obniżony, ponieważ wysokość zębów nie jest wystarczająca. Dlatego planując leczenie, trzeba analizować bardzo wiele indywidualnych parametrów każdego pacjenta, charakteryzujących jego proporcje twarzy, ramy szkieletowe, wielkość wszystkich zębów i ich wzajemne relacje w okluzji statycznej i dynamicznej, a nie tylko szerokość przyśrodkowego zęba siecznego górnego. Prawidłowe relacje zębów, ich kształt i wielkość korelują z proporcjami twarzy we wszystkich wymiarach przestrzennych – poprzecznym, strzałkowym i pionowym. Wymiary łuków zębowych są powiązane z morfologią twarzy i płcią (5). Dlatego w leczeniu stomatologicznym niezmiernie ważne jest uwzględnienie parametrów wpływających na harmonijne proporcje twarzy, takich jak: prawidłowa pozycja żuchwy, analiza cefalometryczna ram kostnych, determinanty okluzji statycznej i dynamicznej oraz analiza modeli uzębienia w artykulatorze. Wiedza na temat proporcji zębów jest niewątpliwie bardzo pomocna w projektowaniu mikroestetyki uzębienia, niemniej jednak szerokość zębów siecznych nie może być jedynym analizowanym parametrem w projektowaniu łuku zębowego i planowaniu leczenia stomatologicznego.
PIŚMIENNICTWO
1. Garg D, Goje SK. Evaluating the width to length ratio of maxillary anterior teeth in Class I canine relation‑An observational study. Int Clin Med. 2018; 2(4): 1‑4.
2. Khan M, Khan MA, Hussain U. Clinical crown length, width and the width/length ratio in the maxillary anterior region in a sample of mardan population. Pak Oral & Dent J. 2015; 4: 738‑741.
3. Alsulaimani FF, Batwa W. Incisors’ proportions in smile esthetics. J Orthodont Sci. 2013; 2: 109‑112.
4. Bochenek A, Reicher M. Anatomia człowieka. Tom 1. Warszawa: Wydawnictwo Lekarskie PZWL; 2010.
5. Khera AK, Singh GK, Sharma VP i wsp. Relationship between Dental Arch Dimensions and Vertical Facial Morphology in Class I Subjects. J Ind Orthod Soc. 2012; 46(4): 316‑324.