1Katedra i Klinika Chirurgii Szczękowo-Twarzowej Uniwersytetu Medycznego we Wrocławiu
2Zakład Chirurgii Stomatologicznej Pomorskiego Uniwersytetu Medycznego w Szczecinie
ARTYKUŁ UKAZAŁ SIĘ W MS 9/2019
Czym jest chirurgia ortognatyczna?
Chirurgia ortognatyczna (gr. orthos – prostować, gnathos – kość) jest dziedziną chirurgii szczękowo-twarzowej, która zajmuje się leczeniem wad zgryzu, będących efektem nieprawidłowej budowy lub rozwoju kości części twarzowej czaszki (1-4). Ortognatyka jest zasadna w momencie, gdy istnieje komponenta szkieletowa wady, a lekarz ortodonta za pomocą konwencjonalnego leczenia nie jest w stanie osiągnąć optymalnego wyniku, jakim jest prawidłowy zgryz. Chirurgia ortognatyczna nie tylko poprawia zgryz i funkcje układu stomatognatycznego, lecz także wpływa korzystnie na estetykę twarzy i fizjologię górnych dróg oddechowych.
Co jest powodem powstawania wad gnatycznych (szkieletowych)?
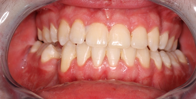
Wady szkieletowe należą do grupy zaburzeń rozwojowych o charakterze zarówno dziedzicznym, jak i nabytym. Ujawniają się najczęściej w okresie dojrzewania, kiedy następuje intensywny skok wzrostowy. Czasami jednak już od najmłodszych lat życia rodzice obserwują, że dziecko ma problemy na przykład z odgryzaniem pokarmu, ponieważ zęby górne i dolne są ustawione w nieprawidłowych relacjach wobec siebie. Jedna z częściej występujących wad gnatycznych, w polskiej nomenklaturze określana jako progenia, manifestuje się tym, że zęby żuchwy są ustawione doprzednio w stosunku do zębów szczęki (ryc. 1, 2). Wada ta może być wyleczona tylko operacyjnie (ryc. 3, 4). Zaburzenia szkieletowe mogą być związane zarówno z nadmiernym rozwojem, jak i niedoborem rozwoju odpowiednich kości. W takich wypadkach najczęściej manifestują się nieprawidłowym zgryzem lub brakiem kontaktu pomiędzy zębami szczęki i żuchwy, co utrudnia funkcjonowanie i skłania pacjentów do poszukiwania pomocy.
Ryc. 1. Profil pacjenta przed leczeniem.
Ryc. 2. Profil pacjenta po leczeniu.
Ryc. 3. Zgryz przed leczeniem chirurgicznym.
Ryc. 4. Zgryz po zakończeniu leczenia.
Dlaczego warto podejmować leczenie?
Głównym założeniem jest uzyskanie podczas leczenia nie tylko właściwych relacji okluzyjnych (prawidłowy zgryz), lecz także poprawa morfologii i estetyki twarzy oraz zachowanie prawidłowych warunków objętościowych w górnych drogach oddechowych.
Prawidłowe odgryzanie i przeżuwanie pokarmu jest pierwszym etapem trawienia i jeśli na tym etapie występują zaburzenia, to można spodziewać się pojawienia dolegliwości w innych odcinkach przewodu pokarmowego.
Zaburzeniom szkieletowym w obrębie twarzy towarzyszą również znacznego stopnia defekty estetyczne i to właśnie one coraz częściej są główną przyczyną poszukiwania pomocy specjalistów. Wiele badań psychologicznych dowiodło, że zaburzona estetyka twarzy wpływa negatywnie zarówno na samoocenę człowieka, jak i na jego odbiór społeczny (5, 6). Dzięki leczeniu operacyjnemu w wielu przypadkach udaje się odtworzyć harmonię i estetykę twarzy, co powoduje, że pacjenci po leczeniu wracają do pełnego funkcjonowania społecznego. Nie bez znaczenia są również aspekty fizjologiczne dotyczące oddychania – wiadomo, że nieprawidłowa budowa kości twarzy lub ich nieprawidłowe położenie negatywnie wpływa na proces oddychania i może być przyczyną chrapania czy bezdechu śródsennego. Po zabiegach z zakresu chirurgii ortognatycznej oprócz wyglądu poprawie ulegają także: funkcjonowanie mięśni żwaczy, funkcja połykania oraz artykulacja dźwięków. Korzystne aspekty zabiegów z zakresu chirurgii ortognatycznej zostały zebrane w tabeli I.
TABELA I. Zalety zabiegów z zakresu chirurgii ortiognatycznej (6)
| Poprawa morfologii, estetyki i proporcji twarzy |
| Symetryczna praca stawów skroniowo-żuchwowych |
| Poprawa warunków okluzyjnych |
| Prawidłowe żucie pokarmów |
| Poprawa oddychania |
| Pozytywny wpływ na aspekty socjalne |
Co powinien zrobić pacjent, który podejrzewa, że ma wadę zgryzu mogącą wymagać leczenia operacyjnego?
Leczenie wad szkieletowych jest leczeniem interdyscyplinarnym, w którym uczestniczy zarówno lekarz ortodonta, jak i specjalista chirurgii szczękowo-twarzowej (7, 8). W przypadku niektórych wad konieczna jest również pomoc lekarzy innych specjalności, takich jak implantologia, protetyka, laryngologia czy chirurgia plastyczna.
Najczęściej po ustaleniu planu leczenia w pierwszym etapie ortodonta zajmuje się właściwym ustawieniem zębów, co zazwyczaj trwa kilka do kilkunastu miesięcy. Następny etap leczenia przeprowadza chirurg, którego zadaniem jest prawidłowe ustawienie kości w układzie przestrzennym twarzy.
Pierwsze kroki pacjent zwykle kieruje do gabinetu ortodontycznego, gdzie lekarz ortodonta przeprowadza podstawową diagnostykę, na którą oprócz badania pacjenta składa się wykonanie odpowiednich badań radiologicznych: zdjęć panoramicznych, tomografii wiązki stożkowej (cone-beam computed tomography – CBCT), zdjęć cefalometrycznych oraz modeli diagnostycznych (8). Dopiero po wykonaniu diagnostyki lekarz określa rodzaj wady zgryzu i wyjaśnia pacjentowi plan leczenia.
W przypadku wad zgryzu, które mogą być wyleczone za pomocą aparatów ortodontycznych, leczenie prowadzi sam ortodonta, jako że nie istnieje konieczność interwencji chirurgicznej. Natomiast jeżeli ortodonta podejrzewa wadę zlokalizowaną w obrębie układu kostnego, wówczas kieruje pacjenta do chirurga szczękowo-twarzowego. Następnie po uzupełnieniu podstawowej diagnostyki chirurg proponuje dalsze postępowanie.
Zdarza się również, że pacjent w pierwszej kolejności odwiedza chirurga, który po zdiagnozowaniu proponuje odpowiednie postępowanie i kieruje pacjenta do lekarza ortodonty w celu przygotowania do zabiegu.
Prawidłowy proces leczenia interdyscyplinarnego składa się z następujących etapów:
- konsultacja wstępna – najlepiej, żeby przed leczeniem pacjent skonsultował się zarówno z lekarzem ortodontą, jak i chirurgiem;
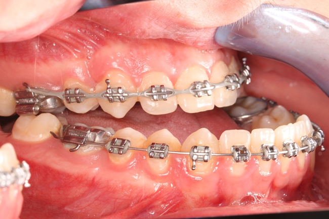
- plan leczenia – powinien być stworzony wspólnie przez zespół zaangażowany w leczenie; ortodonta powinien wiedzieć, jaki rodzaj zabiegu chirurgicznego jest planowany u pacjenta, co pozwoli mu na prawidłowe postępowanie ortodontyczne (ryc. 5-7);
- przygotowanie ortodontyczne – proces prawidłowego ustawiania zębów;
- przygotowanie przedoperacyjne, plan przesunięć kostnych, szablony operacyjne – ten etap wykonuje chirurg;
- zabieg operacyjny, pobyt w szpitalu, opieka okołozabiegowa;
- rehabilitacja;
- leczenie ortodontyczne pozabiegowe;
- podsumowanie procesu leczenia i ocena osiągniętych wyników.

Ryc. 5. Wstępny plan leczenia interdyscyplinarnego.
Ryc. 6. Trójwymiarowa analiza zębowo-szkieletowa twarzy.
Ryc. 7. Plan 3D leczenia chirurgicznego.
Ważne jest, żeby pomiędzy chirurgiem i ortodontą biorącymi udział w leczeniu interdyscyplinarnym istniała odpowiednia komunikacja, gdyż cały zespół jest odpowiedzialny za proces leczenia.
Na czym polega leczenie ortodontyczne przed zabiegiem?
Celem przygotowania ortodontycznego przed leczeniem operacyjnym jest prawidłowe ustawienie zębów w ich podstawach kostnych. Często może to nasilić problem nieprawidłowego ustawienia łuków zębowych wobec siebie, ale jest to proces przejściowy, gdyż podczas zabiegu chirurg stworzy właściwe relacje zgryzowe. Dzięki odpowiedniemu przygotowaniu ortodontycznemu możliwe jest uzyskanie prawidłowych i stabilnych efektów leczenia.
Czy chirurg szczękowo-twarzowy od razu zaleci operację?
W przypadku wad szkieletowych postępowanie chirurgiczno-ortodontyczne jest podstawowym sposobem leczenia. W zależności od nasilenia wady i stopnia jej rozwoju możliwe jest leczenie alternatywne – w takim wypadku konieczne jest zaakceptowanie kompromisu, ze świadomością, że nie wszystkie cele zostaną osiągnięte. Takie leczenie określa się mianem kamuflażu ortodontycznego wady szkieletowej.
PIŚMIENNICTWO
1. Posnick J.C.: Principles and practice of orthognathic surgery. Elsevier, 2013.
2. Nowak R.M.: Rys historyczny chirurgii ortognatycznej. Dent. Med. Probl., 2014, 51, 1, 131-135.
3. Reyneke J.: Essentials of orthognathic surgery. Quintessence, 2003.
4. Perez D.E., Liddell A.: Controversies in orthognathic surgery. Oral Maxillofac. Surg. Clin. North Am., 2017, 29, 4, 425-440.
5. Huang C.S., Hsu S.S., Chen Y.R.: Systematic review of the surgery-first approach in orthognathic surgery. Biomed. J., 2014, 37, 4, 184-190.
6. Sroczyk Ł., Kawala B.: Rozwój chirurgii ortognatycznej – przegląd piśmiennictwa. Zdrowie i Dobrostan, 2015, 1, 1-8.
7. Solano-Hernández B. i wsp.: Combined orthodontic and orthognathic surgical treatment for the correction of skeletal anterior open-bite malocclusion: a systematic review on vertical stability. J. Oral Maxillofac. Surg., 2013, 71, 1, 98-109.
8. Kanwal B. i wsp.: Esthetic outcome and airway evaluation following bi-jaw durgery v/s mandibular setback surgery in skeletal class III malocclusion using surgery first approach. Ann. Maxillofac. Surg., 2018, 8, 2, 270-275.