Beata Śmielak
Korekta uśmiechu za pomocą porcelany pozwala uzyskać poprawę estetyki z doskonałą stabilnością koloru, dobrymi właściwościami optycznymi i trwałością uzupełnienia.
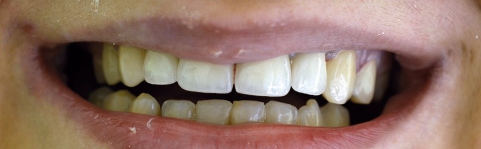
W pracy przedstawiono wybrane przypadki kliniczne stosowania licówek tradycyjnych, licówek no-preparation oraz koron protetycznych na podbudowie z cyrkonu. Szczególną uwagę zwrócono na przygotowanie pacjentów do leczenia protetycznego, diagnostykę, dobór odpowiednich uzupełnień z zachowaniem oszczędności tkanek, aspekty estetyczne wykonywanych uzupełnień, rodzaj wykonywanych wycisków i cementowanie.


Aesthetic treatment of patients using all ceramic crowns and veneers
The correction of a smile with the help of porcelain allows the achievement of correct aesthetics with excellent stability of colour, good optic results and a long-lasting restoration.
The study describes selected clinical cases using traditional veneers, no-preparation veneers and laboratory made crowns on a substructure of zirconia. Particular attention is drawn to patient preparation for prosthetic treatment, diagnostics, the appropriate matching, saving tissue, aesthetic aspects, the type of impressions used and cementation.
Artykuł ukazał się w nr. 9/2015 MS
KUP ARTYKUŁ
Artykuł ukazał się w nr. 9/2015 MS
KUP ARTYKUŁ