Właściwości optyczne materiałów kompozytowych – zalety niskiej transparencji

Właściwości optyczne materiałów kompozytowych – zalety niskiej transparencji
Marcin Aluchna

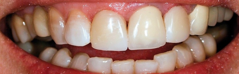
Na przykładzie jednego z dostępnych materiałów złożonych przedstawiono zastosowania kliniczne  mas kompozytowych o charakterystycznej niskiej transparencji .


Optical properties of composite materials - advantages of low transparency
This is an example of use of one of the available composite materials, illustrating the clinical uses of composite material characterised by low tranparency.


Artykuł ukazał się w nr. 2.2015 MS