Leczenie chirurgiczne izolowanych złamań dna oczodołu

Leczenie chirurgiczne izolowanych złamań dna oczodołu

Dostęp do tego artykułu jest płatny.
Zapraszamy do zakupu!

Cena: 24.00 PLN (z VAT)

Po dokonaniu zakupu artykuł w postaci pliku PDF prześlemy bezpośrednio pod twój adres e-mail.

Kup artykuł
MS 2023; 10: 8-13.

ARTYKUŁ ORYGINALNY
Leczenie chirurgiczne izolowanych złamań dna oczodołu z wykorzystaniem materiałów resorbowalnych lub nieresorbowalnych – doświadczenie ośrodka

Surgical treatment of orbital floor fractures using resorbable and nonresorbable implants – experience of our center

Angelina Papeczyc, Łukasz Stopa, Wojciech Stopa, Zygmunt Stopa

Streszczenie
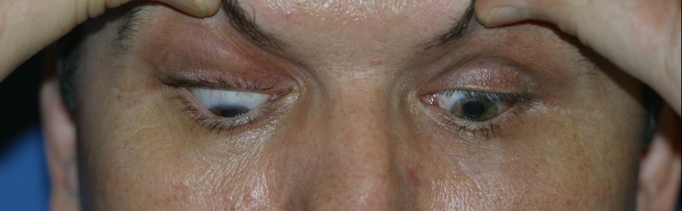
Złamania izolowane dna oczodołu (ZIDO) są konsekwencją urazów twarzy i manifestują się podwójnym widzeniem, enoftalmią i zaburzeniem czucia w zakresie unerwienia przez nerw podoczodołowy. Leczenie chirurgiczne polega na uwolnieniu tkanek miękkich uwięźniętych w szczelinie złamania, odprowadzeniu przepukliny ze światła zatoki szczękowej oraz rekonstrukcji dna oczodołu z użyciem odpowiednio dobranego materiału. Istnieje przekonanie, że przy mniej rozległych złamaniach winno się stosować materiały resorbowalne, przy rozleglejszych zaś – materiały nieresorbowalne lub przeszczep kości. Celem niniejszego badania było porównanie wyników chirurgicznego leczenia pacjentów z ZIDO, u których do rekonstrukcji dna oczodołu zastosowano materiał resorbowalny lub nieresorbowalny. Badanie miało charakter retrospektywny. Zakwalifikowano do niego 53 pacjentów. Ocenie poddano obecność podstawowych objawów ZIDO, tj.: podwójnego widzenia, ograniczenia ruchomości gałki ocznej, asymetrycznego ustawienia gałek ocznych oraz niedoczulicy w zakresie unerwienia nerwu podoczodołowego przed leczeniem operacyjnym i podczas ostatniej kontroli pooperacyjnej. U 39 pacjentów z dostępną archiwalną tomografią komputerową (TK), oceniono dodatkowo maksymalną szerokość złamania w płaszczyźnie czołowej i maksymalną długość złamania w płaszczyźnie strzałkowej, a następnie na ich podstawie wyliczono przybliżoną powierzchnię złamania. Wyniki poddano analizie statystycznej. Spośród włączonych do badania pacjentów u 34 zastosowano materiał resorbowalny, u 17 zaś siatkę tytanową. Do rekonstrukcji oczodołów u 2 chorych zastosowano kość autogenną. Spośród pacjentów operowanych z zastosowaniem materiału resorbowalnego u 27 występowało widzenie podwójne przed leczeniem operacyjnym, u 12 zaś po leczeniu operacyjnym; z kolei asymetryczne ustawienie gałek ocznych występowało u 4 pacjentów przed leczeniem, a u 2 po leczeniu; zaburzona ruchomość gałek ocznych – u 16 przed i u 2 po, natomiast niedoczulica w zakresie unerwienia nerwu podoczodołowego – u 5 przed i u 8 po. Tymczasem dla pacjentów leczonych z użyciem siatki tytanowej było to odpowiednio: u 10 przed leczeniem operacyjnym dla dwojenia i u 2 po leczeniu, u 1 przed i żaden po dla asymetrycznego ustawienia gałek ocznych, 7 przed i 1 po dla zaburzonej ruchomości gałek ocznych oraz 5 przed i 1 po leczeniu dla niedoczulicy. Opracowanie statystyczne nie wykazało istotnych statystycznie różnic pomiędzy wynikami leczenia z zastosowaniem porównywanych materiałów. Pozostaje to w zgodności z danymi dostępnymi w piśmiennictwie. Wobec tego wybór materiału powinien opierać się na indywidualnej ocenie klinicznej pacjenta i doświadczeniu operatora.

Abstract
Orbital fl oor fractures result from facial trauma. Their symptoms include diplopia, enophtalmia and infraorbital nerve paresis. Surgical treatment involves the reconstruction of the fl oor of the orbit with an appropriate material. It is widely believed that in smaller fractures resorbable materials should be used, while larger ones would require non resorbable materials or bone transplants. The study was conducted retrospectively. It included 53 patients. The presence of typical orbital fl oor fracture symptoms, that is diplopia, impaired eyeball mobility, asymmetric eyeball placement and infraorbital paresis, has been assessed before and after surgical treatment. In 39 patients for whom a CT scan was available, additionally the largest diameters of the fracture in the sagittal and coronal planes have been measured and the approximate surface of the fracture calculated. The results have been statistically evaluated. In 34 of the patients included in the study a resorbable material had been used for the orbital floor reconstruction and in 17 a titanium mesh. In 2 patients the surgeons had used an autogenous bone. In 27 of the patients treated using resorbable materials diplopia was present before surgery and in 12 of them afterwards. Asymmetric eyeball placement was present in 4 before and 2 after treatment, impaired eyeball movement in 16 before and 2 afterwards and infraorbital paresis in 5 patients before surgery and in 8 after. On the other hand, in 10 of the patients treated using a titanium mesh diplopia was present before surgery and in 2 of them afterwards. Moreover, asymmetric eyeball placement was present in 1 patient before and none after treatment, impaired eyeball movement in 7 before and 1 afterwards and infraorbital paresis in 5 patients before surgery and in 1 after. The statistical evaluation has failed to prove any significant differences in the outcome of treatment in patients treated using resorbable materials and those treated using a titanium mesh. This result stays in line with available literature. In the light of that, the material used for reconstruction in orbital floor fractures should be based on individual assessment of the patient and the experience of the surgeon.

Hasła indeksowe: złamanie oczodołu, leczenie, leczenie operacyjne, materiały

Key words: orbital fractures, treatment, surgical treatment, implants

Piśmiennictwo

  1. Złamanie oczodołu. W: Kryst L (red. nauk.). Chirurgia szczękowo-twarzowa. Podręcznik dla studentów. Wyd. 2 unowocześnione. Warszawa: Wydawnictwo Lekarskie PZWL; 1993: 267-274.
  2. Ahmad F, Kirkpatrick NA, Lyne J i wsp. Buckling and hydraulic mechanisms in orbital blowout fractures: fact or fiction? J Craniofac Surg. 2006; 17(3): 438-441.
  3. Manolidis S, Weeks BH, Kirby M i wsp. Classification and surgical management of orbital fractures. Experience with 111 orbital reconstructions. J Craniofac Surg. 2002; 13(6): 726-737.
  4. Miller AF, Elman DM, Aronson PL i wsp. Epidemiology and predictors of orbital fractures in children. Pediatr Emerg Care. 2018; 34(1): 21-24.
  5. Patel S, Shokri T, Ziai K i wsp. Controversies and contemporary management of orbital floor fractures. Craniomaxillofac Trauma Reconstr. 2022; 15(3): 237-245.
  6. Harris GJ. Orbital blow-out fractures. Surgical timing and technique. Eye (Lond). 2006; 20(10): 1207-1212.
  7. Young SM, Sundar G, Lim TC i wsp. Use of bioresorbable implants for orbital fracture reconstruction. Br J Ophthalmol. 2017; 101(8): 1080-1085.
  8. Seen S, Young SM, Teo SJ i wsp. Permanent versus bioresorbable implants in orbital floor blowout fractures. Ophthalmic Plast Reconstr Surg. 2018; 34(6): 536-543.
  9. Ramesh S, Goldberg R. Re: “Permanent versus bioresorbable implants in orbital floor blowout fractures”. Ophthalmic Plast Reconstr Surg. 2019; 35(2): 202.
  10. Young SM, Sundar G. Reply re: “Permanent versus bioresorbable implants in orbital floor blowout fractures”. Ophthalmic Plast Reconstr Surg. 2019; 35(2): 202-203.