REPORTAŻ KLINICZNY
Flowable Injection Technique – kompozytowa alternatywa dla licówek porcelanowych
Flowable Injection Technique – composite alternative to porcelain veneers
Michał Jaczewski
Streszczenie
Dynamiczny rozwój materiałów kompozytowych pozwala na coraz większe ich zastosowanie w praktyce klinicznej. Dodatkowo rozwój nowych technologii takich jak projektowanie 3D i druk pozwala przyśpieszyć procedury i skrócić czas leczenia. Idealnym przykładem połączenia tych dwóch światów jest technika Flowable Injection Technique, która pozwala w prosty, przewidywalny i powtarzalny sposób odbudować zęby z wykorzystaniem kompozytów typu flow. Odpowiednie właściwości tych nowych kompozytów pozwalają na uzyskanie bardzo dobrych efektów morfologicznych i estetycznych, których trwałość jest porównywalna z konwencjonalnymi kompozytami. Dodatkowo wchodzi ona w zakres stomatologii minimalnie inwazyjnej, addycyjnej, bezinwazyjnej, co jest dodatkowym argumentem dla pacjentów, chcących poprawić estetykę uśmiechu bez szlifowania zębów. Technika ta jest traktowana jako alternatywne rozwiązanie dla licówek porcelanowych, na które ze względu na swoją cenę, nie każdy może sobie pozwolić.
Abstract
The dynamic development of composite materials allows for their increasing use in clinical practice. In addition, the development of new technologies such as 3D design and printing allows you to speed up procedures and shorten treatment time. A perfect example of combining these two worlds is the Flowable Injection Technique, which allows you to rebuild teeth in a simple, predictable and repeatable way using Flow composites. Appropriate properties of these new composites allow for obtaining very good morphological and aesthetic effects, the durability of which is comparable to that of conventional composites. In addition, it is a part of the canon of minimally invasive, additive, non-invasive dentistry, which is an additional argument for patients who want to improve the aesthetics of their smile without grinding their teeth. This technique is treated as an alternative solution to porcelain veneers which due to its price cannot be afforded by everyone.
Hasła indeksowe: Flowable Injection Technique, Clearfill Majesty ES Flow Low, stomatologia estetyczna, stomatologia minimalnie inwazyjna
Key words: Flowable Injection Technique, Clearfil Majesty ES Flow Low, aesthetic dentistry, minimally invasive dentistry
Wprowadzenie
Poprawa estetyki uśmiechu jest coraz większą potrzebą w społeczeństwie. Tak rozpowszechniony już w mediach społecznościowych bonding wkroczył na stałe do języka polskiego. Lekarz dentysta ma kilka możliwości poprawy estetyki uśmiechu u pacjenta: od licówek kompozytowych wykonanych bezpośrednio, do licówek porcelanowych wykonanych pośrednio. Z jednej strony wykonanie odbudowy górnych zębów tradycyjnym materiałem kompozytowym techniką bezpośrednią jest czasochłonne i wymaga od lekarza dużych umiejętności i zdolności artystycznych. Z drugiej strony metoda pośrednia wykonania licówek porcelanowych przez technika wydłuża czas wykonania pracy i zwiększa koszty, które są dla wielu pacjentów nie do zaakceptowania. Flowable Injection Technique jest alternatywną metodą odbudowy zębów z wykorzystaniem materiałów typu flow, która umożliwia w prosty, przewidywalny i powtarzalny sposób poprawę estetyki uśmiechu pacjenta. Jest to technika addycyjna zaliczana do stomatologii minimalnie inwazyjnej, często nie wymagająca preparacji zębów. Jednocześnie dzięki specjalnym protokołom polerowania można uzyskać bardzo dobre efekty optyczne i morfologiczne wypełnień w znacznie krótszym czasie. Należy jednak zaznaczyć, że ze względu na zastosowany materiał, odbudowa ma ograniczoną trwałość, która w zależności od higieny pacjenta, wynosi ok. 5 lat.
Cyfryzacja stomatologii odbywa się na naszych oczach. Lekarze mają coraz więcej narzędzi, dzięki którym planowanie leczenia przebiega szybciej i bardziej przewidywalnie. Dzięki zastosowaniu programów do projektowania uśmiechu, jesteśmy w stanie już na wstępnym etapie ocenić możliwości leczenia i dopasować uśmiech do potrzeb pacjenta. Jednocześnie zastosowanie technik CAD pozwala na przeniesienie projektu z 2D do wymiaru 3D w postaci cyfrowego wax-up’u.
Zazwyczaj odbudowę bezpośrednią wykonuje się przy użyciu konwencjonalnych materiałów kompozytowych ze względu na ich właściwości mechaniczne, stabilność koloru, a także ich skład.
Zastosowanie kompozytów typu flow nie jest już takie oczywiste, ze względu na stereotypy ich zastosowania. Pierwsze materiały typu flow nie miały zbyt dużego zastosowania klinicznego ze względu na ich słabe właściwości (1, 2). W ostatnich latach nastąpił jednak dość szybki rozwój tych materiałów (3, 5), a ich nowa generacja ma podobne lub nawet lepsze właściwości w porównaniu z konwencjonalnymi materiałami kompozytowymi. Zastosowanie kliniczne tych materiałów nie ogranicza się tylko do odbudowy ubytków klasy V, ale można je z powodzeniem stosować w ubytkach klas I, II, III, IV, a także w wielu innych procedurach stomatologicznych (12). Badania przeprowadzone przez Sumino i wsp. (4) wykazały, że płynne materiały Clearfil Majesty Flo (Kuraray Noritake) miały znacznie większą wytrzymałość na zginanie i wyższy moduł sprężystości niż odpowiedni konwencjonalny nanohybrydowy materiał kompozytowy Clearfil Majesty Esthetic (Kuraray Noritake). Dodatkowo wykazano, że materiały te posiadają doskonałą trwałość połysku i podobną odporność na zużycie w porównaniu z konwencjonalnymi nanokompozytami. Takie właściwości udało się uzyskać dzięki zastosowaniu w nowych płynnych kompozytach Clearfil Majesty ES Flow (Kuraray Noritake) specjalnie przygotowanych cząsteczek wypełniacza oraz wzrostu rozkładu ich wielkości. Dzięki unikalnej matrycy udało się umieścić cząsteczki bardzo blisko siebie, co zmniejsza odstępy międzycząsteczkowe i ich jednorodność, a tym samym wzmacnia matrycę. Dodatkowo zastrzeżona obróbka chemiczna cząstek wypełniacza umożliwia lepsze zwilżanie ich powierzchni przez monomer, a tym samym stabilniejsze i silniejsze wiązanie między wypełniaczem a żywicą (6, 7). Te działania spowodowały, że wzrosły ich wytrzymałość i odporność na zużycie (8), jednocześnie sprawiając, że skurcz polimeryzacyjny tych materiałów stał się porównywalny z konwencjonalnymi kompozytami (8). Nowoczesne materiały kompozytowe typu flow mają porównywalne lub lepsze właściwości mechaniczne, fizyczne i estetyczne w porównaniu z wieloma uniwersalnymi kompozytami (11).
Opis przypadku
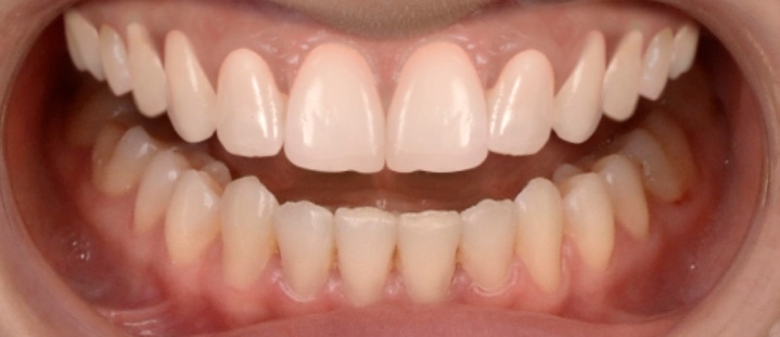
Pacjentka zgłosiła się do mojego gabinetu w celu poprawy estetyki uśmiechu i zamknięcia szpar między zębami. Pacjentka zakończyła leczenie ortodontyczne i nie chciała szlifować zębów, a jedynie poprawić ich kształt i wielkość. Przeprowadzono analizę estetyczną i funkcjonalną. Wykonano projekt uśmiechu, w tworzeniu którego czynnie uczestniczyła pacjentka, aby maksymalnie dopasować projekt do jej oczekiwań. Wykonany cyfrowy wax-up przymierzono w ustach w postaci mock-up’u i przetestowano pod względem estetycznym i funkcjonalnym. Po akceptacji przez pacjentkę nowego uśmiechu wykonano bezinwazyjną odbudowę kompozytową techniką Flowable Injection.
Ryc. 1a, b. Sytuacja początkowa, stan po leczeniu ortodontycznym.

Ryc. 2a, b. Wykonanie symulacji leczenia w programie Smilecloud.
Ryc. 3. Wykonanie projektu uśmiechu 3D z wykorzystaniem bezpłatnego oprogramowania Meshmixer.
Ryc. 4. Wydrukowanie modelu na drukarce Prozen Mini 4K.
Ryc. 5a, b. Wykonanie przezroczystej szyny z materiału silikonowego.
Ryc. 6. Przymiarka mock-up’u do akceptacji pacjentki.


Ryc. 7a-c. Przygotowanie zęba, usunięcie warstwy szkliwa apryzmatycznego.
Ryc. 8. Izolacja sąsiednich zębów taśmą teflonową.



Ryc. 9a-d. Wytrawianie 37% kwasem ortofosforowym, spłukiwanie, nakładanie materiału wiążącego (Clearfill Universal Quick Bond), naświetlenie.
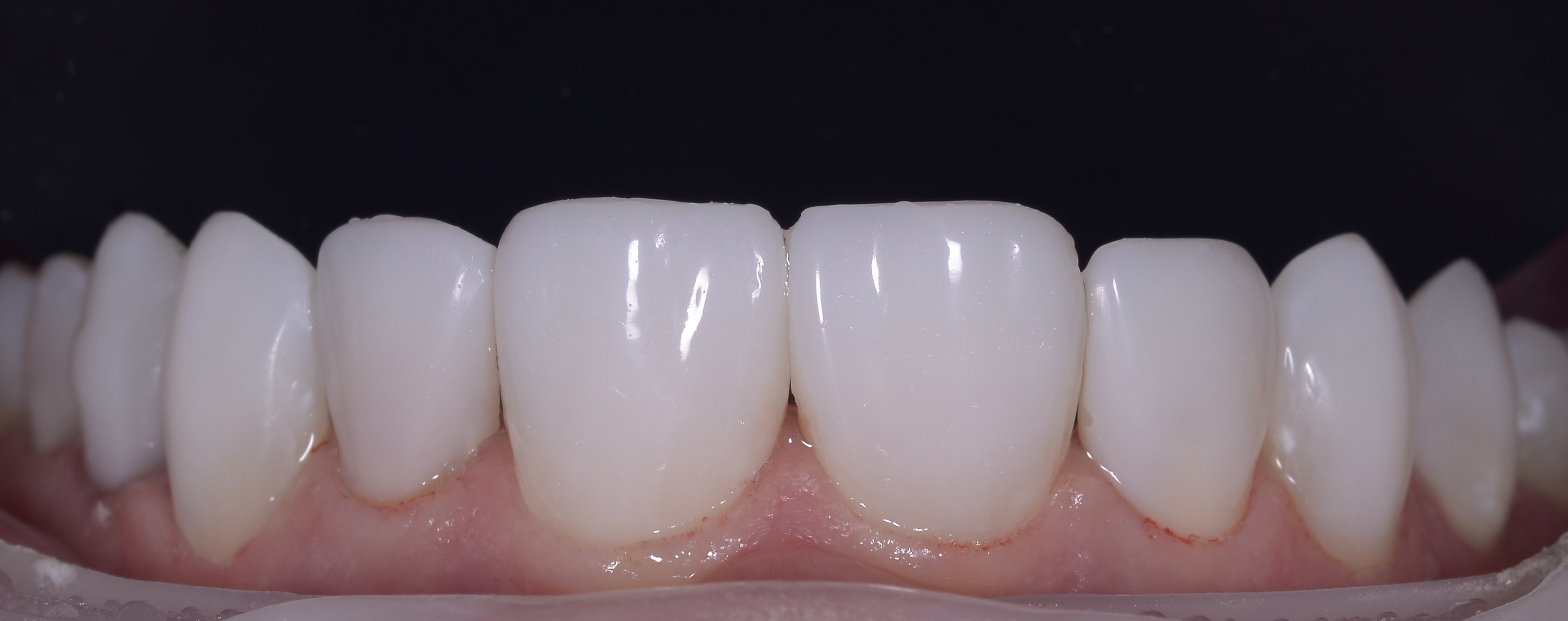
Ryc. 10a, b. Wstrzyknięcie materiału kompozytowego ClearFill Majesty ES Flow LOW XW.
Ryc. 11a, b. Usunięcie nadmiarów materiału kompozytowego skalpelem nr 12 i paskiem ściernym z piłą.


Ryc. 12a-c. Końcowe opracowanie powierzchni wypełnienia wiertłami diamentowymi i finirami oraz soflexami.
Ryc. 13a. Polerowanie gumkami.
Ryc. 13b. Polerowanie szczoteczką z włosia koziego i pastą diamentową.
Ryc. 13c. Polerowanie barankiem i pastą z tlenku glinu.
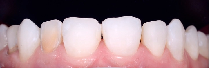
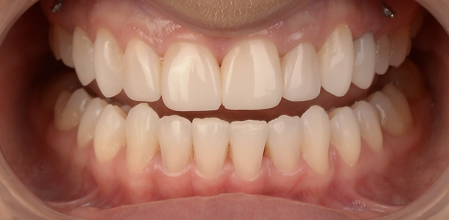
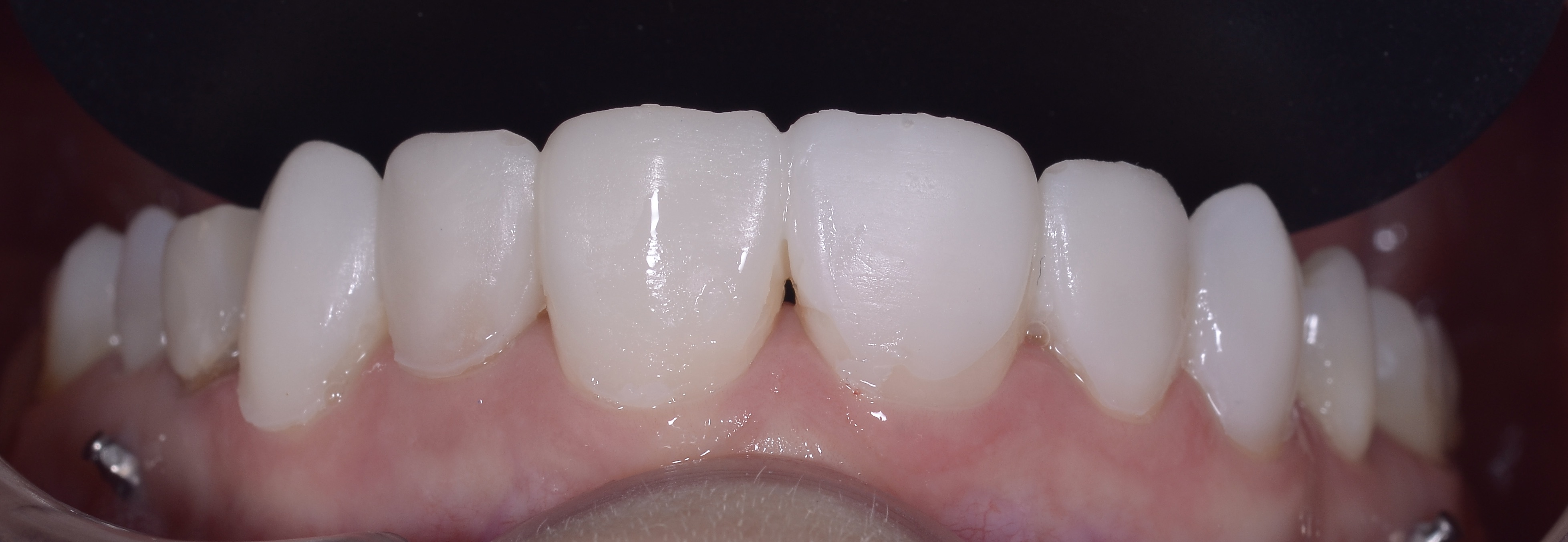
Ryc. 14a, b. Efekt końcowy.
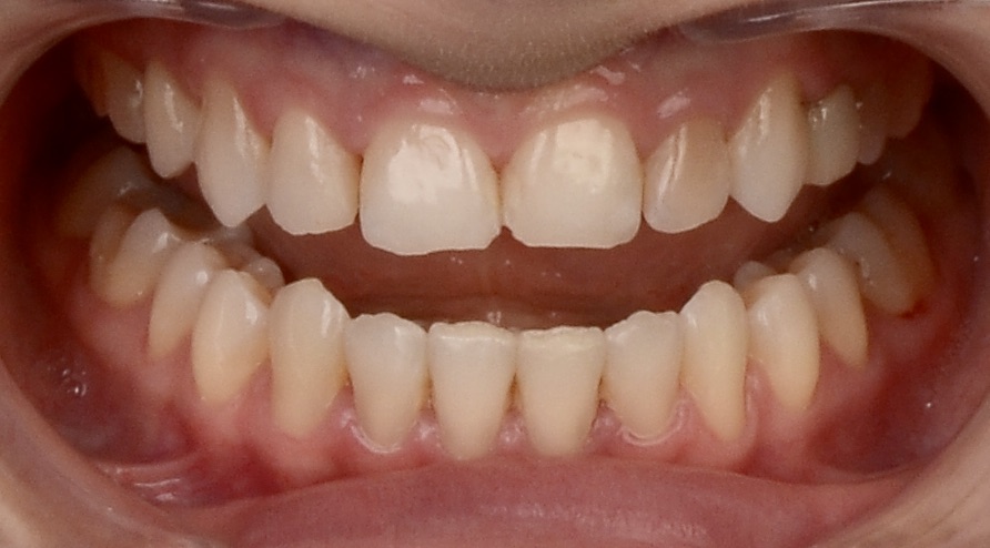
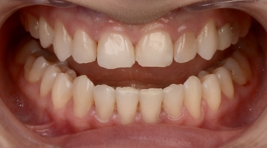
Ryc. 15a. Stan przed leczeniem.
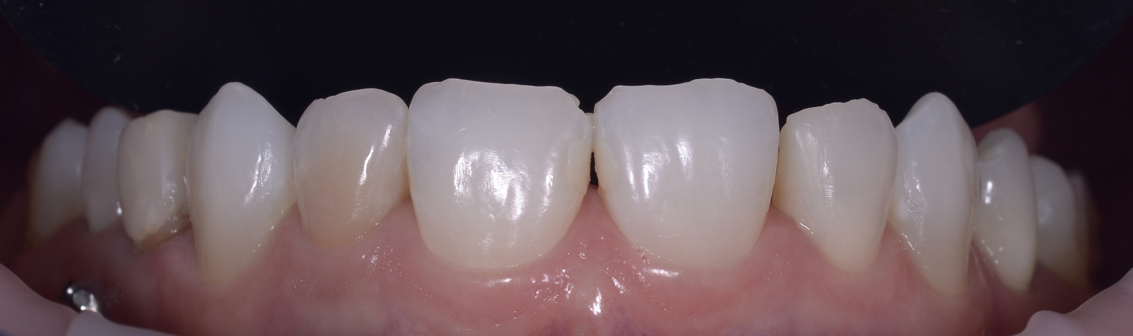
Ryc. 15b. Stan po leczeniu.
Podsumowanie
Powyższy przypadek pokazuje, jak na jednej wizycie w sposób przewidywalny i zgodny z przygotowanym wcześniej projektem estetycznym i funkcjonalnym poprawić estetykę uśmiechu. Omawianą technikę najlepiej stosować u osób, u których przeprowadzono leczenie ortodontyczne, w celu poprawy kształtu, proporcji i koloru zębów oraz relacji między łukiem dolnym i górnym. Dodatkowym zastosowaniem dla tej techniki są przypadki, w których wykonuje się kompleksową rekonstrukcję funkcjonalną i estetyczną łuku górnego i dolnego. Możemy wtedy traktować taką odbudowę jako etap pośredni w leczeniu, tymczasowy lub długoczasowy. Metoda jest bezpieczna, łatwa w wykonaniu i możliwa do zastosowania przez każdego lekarza, zarówno doświadczonego, jak i stawiającego swoje pierwsze kroki w zawodzie.
Piśmiennictwo
- Terry DA. Restoring with Flowables. Chicago, IL: Quintessence Publishing; 2017.
- Bayne SC, Thompson JY, Swift EJ Jr i wsp. A characterization of first-generation flowable composites. J Am Dent Assoc. 1998;129:567-577.
- Karaman E, Yazici AR, Ozgunaltay G i wsp. Clinical evaluation of a nanohybrid and a flowable resin composite in non- carious cervical lesions: 24-month results. J Adhes Dent. 2012;14:485- 492.
- Sumino N, Tsubota K, Toshiki T i wsp. Comparison of the wear and flexural characteristics of flowable resin composite for posterior lesions. Act Odont Scand. 2013;71:820- 827.
- Rocha Gomes Torres C, Rego HMC, Costa Perote LC i wsp. A split-mouth randomized clinical trial of conventional and heavy flowable composites in Class II restorations. J Dent. 2014;42:793-799.
- Beatty MW, Swartz ML, Moore BK i wsp. Effect of microfiller fraction and silane treatment on resin composite properties. J Biomed Mater Res. 1998;40:12-23.
- Turssi CP, Ferracane JL, Vogel K. Filler features and their effects on wear and degree of conversion of particulate dental resin composites. Biomaterials. 2005;26:4932-4937.
- Lim BS, Ferracane JL, Condon JR i wsp. Effect of filler fraction and filler surface treatment on wear of microfilled composites. Dent Mater. 2002;18:1-11.
- Baroudi K, Silikas N, Watts DC. Edge-strength of flowable resin-composites. J Dent. 2008;36:63-68.
- Gallo JR, Burgess JO, Ripps AH i wsp. Three-year clinical evaluation of two flowable composites. Quintessence Int. 2010;41:497-503.
- Yamase M, Maseki T, Nitta T i wsp. Mechanical properties of various latest resin composite restoratives [abstract 464]. J Dent Res. 2010; 89(special issue A).
- Terry DA. What other restorative material has so many uses: Flowables: Int Dent. (Africa Ed) 2012;3:42-58.