Dostęp do tego artykułu jest płatny.
Zapraszamy do zakupu!
Cena: 12.50 PLN (z VAT)
Kup artykuł
Po dokonaniu zakupu artykuł w postaci pliku PDF prześlemy bezpośrednio pod twój adres e-mail.
Dentin dysplasia type I – case report
Judyta Telęga-Kolasińska, Katarzyna Olczak
Streszczenie
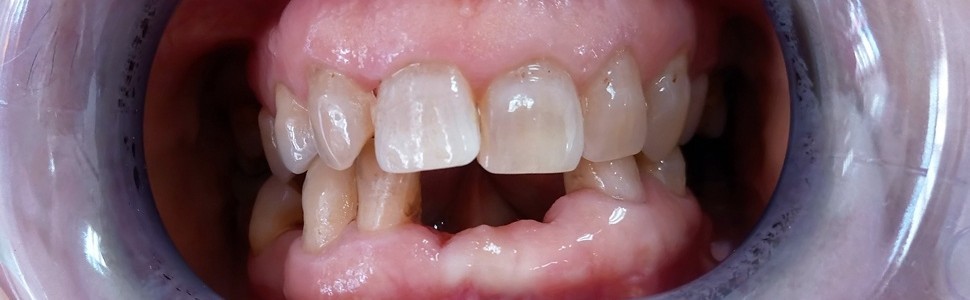
W pracy przedstawiono definicję, charakterystykę i podział rzadkiej choroby genetycznej – dysplazji zębiny. Pośród dysplazji zębiny wyróżnia się niecałkowity rozwój zębiny typu II, dysplazję zębiny typu I, dysplazję zębiny typu II oraz włóknistą dysplazję zębiny. Opisano rozpoznanie i leczenie choroby u 49-letniej pacjentki.
Abstract
The study presents definition, characterization and classification of a rare genetic disorder – dentin dysplasia.
Researchers distinguish several forms of dental dysplasia, such as dentinogenesis imperfecta type II, dentin dysplasia type I, dentin dysplasia type II and fibrous dentin dysplasia. In the article we describe diagnosis and treatment of the disease in a 49‑year-old female patient.
Hasła indeksowe: niedorozwój zębiny, dysplazja zębiny, skrócone korzenie, obliteracja komory i kanałów
Key words: dentin underdevelopment, dentin dysplasia, root shortening, pulp and canals obliteration
PIŚMIENNICTWO
1. Jańczuk Z.: Stomatologia zachowawcza Zarys kliniczny, nieprawidłowości zębów. Wyd. Lek. PZWL, Warszawa 2010, 118-121.
2. Różyło K., Różyło-Kalinowska I.: Radiologia stomatologiczna. Zaburzenia rozwojowe zębów. Wyd. Lek. PZWL, Warszawa 2007, 147-148.
3. Toomarian L. i wsp.: Dentin dysplasia type I: a case report and review of the literature. J. Med. Case Rep., 2010, 4, 1.
4. Kim J.W., Simmer J.P.: Hereditary dentin defects. J. Dent. Res., 2007, 86, 392-399.
5. Rushton M.A.: A case of dentin dysplasia. Guys Hosp. Rep., 1939, 89, 367-373.
Judyta Telęga-Kolasińska, Katarzyna Olczak
Streszczenie
W pracy przedstawiono definicję, charakterystykę i podział rzadkiej choroby genetycznej – dysplazji zębiny. Pośród dysplazji zębiny wyróżnia się niecałkowity rozwój zębiny typu II, dysplazję zębiny typu I, dysplazję zębiny typu II oraz włóknistą dysplazję zębiny. Opisano rozpoznanie i leczenie choroby u 49-letniej pacjentki.
Abstract
The study presents definition, characterization and classification of a rare genetic disorder – dentin dysplasia.
Researchers distinguish several forms of dental dysplasia, such as dentinogenesis imperfecta type II, dentin dysplasia type I, dentin dysplasia type II and fibrous dentin dysplasia. In the article we describe diagnosis and treatment of the disease in a 49‑year-old female patient.
Hasła indeksowe: niedorozwój zębiny, dysplazja zębiny, skrócone korzenie, obliteracja komory i kanałów
Key words: dentin underdevelopment, dentin dysplasia, root shortening, pulp and canals obliteration
PIŚMIENNICTWO
1. Jańczuk Z.: Stomatologia zachowawcza Zarys kliniczny, nieprawidłowości zębów. Wyd. Lek. PZWL, Warszawa 2010, 118-121.
2. Różyło K., Różyło-Kalinowska I.: Radiologia stomatologiczna. Zaburzenia rozwojowe zębów. Wyd. Lek. PZWL, Warszawa 2007, 147-148.
3. Toomarian L. i wsp.: Dentin dysplasia type I: a case report and review of the literature. J. Med. Case Rep., 2010, 4, 1.
4. Kim J.W., Simmer J.P.: Hereditary dentin defects. J. Dent. Res., 2007, 86, 392-399.
5. Rushton M.A.: A case of dentin dysplasia. Guys Hosp. Rep., 1939, 89, 367-373.