Postępowanie u pacjentów z urazowymi złamaniami korzeni zębów stałych

Postępowanie u pacjentów z urazowymi złamaniami korzeni zębów stałych
Przegląd metod leczenia z opisem przypadków

Michał Sobczak, Agnieszka Wal-Adamczak, Joanna Szydłowska

Urazowe złamania korzeni zębów stałych nie są częste. Stanowią od 0,5 do 7% wszystkich urazów tych zębów. Wciąż  jednak są źródłem wątpliwości zarówno diagnostycznych,  jak i terapeutycznych dla lekarzy, co nierzadko skutkuje podjęciem niewłaściwego leczenia.
 
Autorzy pracy, uwzględniając doświadczenia własne, aktualnie obowiązujące standardy International Association of Dental Traumatology (IADT) oraz przegląd aktualnych publikacji dotyczących złamań korzeni zębów, omówią postępowanie u pacjentów z urazowymi złamaniami korzeni zębów stałych. Przedstawią również opisy przypadków dwóch pacjentów, na przykładzie których zostaną zilustrowane najczęściej popełniane błędy w leczeniu pourazowych złamań korzeni zębów.

Sobczak
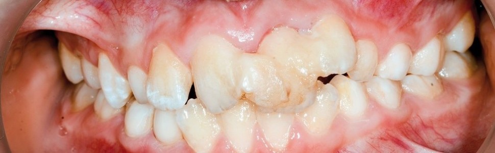
Fotografia wewnątrzustna – obraz kliniczny zębów i tkanek miękkich u 8-letniego pacjenta 1 godzinę po urazie. Ząb 11 uległ nadwichnięciu, w zębie 21 poprzeczne złamanie korony zęba dotyczące szkliwa brzegu siecznego oraz złamanie korzenia zęba w okolicy wierzchołkowej.



Procedure in patients with traumatic fractures of roots in permanent teeth – review of treatment methods and case reports

Traumatic fractures of roots in permanent teeth are not frequent injuries. They make up from 0.5 to 7% of all injuries in these teeth. Still, however, they are a source of doubt for doctors, both as regards diagnosis as well as therapeutic, which, not infrequently, results in  the undertaking of inappropriate treatment.
The authors of the study, taking into account their personal experience and the currently binding rules set by the standards of the International Association of Dental Traumatology (IADT). There is also a review of current publications about fractures of tooth roots which discusses procedures in patients with injuries in permanent tooth roots. Also illustrated are cases of two patients, in which cases of the most frequent mistakes are made.

 
Artykuł ukazał się w nr. 2/2016 MS
KUP ARTYKUŁ